
Em seguida, você aprenderá:
- o que pode ser feito em casa se o dente de repente começar a doer muito (inclusive sob um recheio ou coroa);
- quais agentes geralmente são usados para aliviar a dor de dente aguda e quais são mais eficazes;
- o que pode ameaçar o tratamento domiciliar prolongado e atrasar a visita ao médico;
- métodos úteis e inúteis para aliviar a dor de dente - quais são as melhores opções para nem tentar aplicar ...
Existem muitas situações em que um dente dói e é urgente fazer algo para aliviar a dor em casa. E, talvez, o caso mais típico seja quando o paciente tenta, de todas as formas possíveis, atrasar uma visita ao médico com a esperança de que a dor passe gradualmente por si mesma e, no futuro, talvez, nem apareça.
Falaremos um pouco mais sobre a perniciosidade dessa atitude em relação à nossa própria saúde. Enquanto isso, observamos apenas que, se o dente doer, sempre haverá uma razão para isso; se você não o eliminar a tempo, na maioria dos casos, a situação só piorará com o tempo. Assim, o primeiro o que fazer com dor de dente severa - Chame um médico e marque uma consulta.

No entanto, também existem situações em que um dente ou gengiva pode doer, mas não é necessário tratamento urgente. Por exemplo:
- Após algumas operações, por exemplo, imediatamente após a extração dentária (na linguagem dos cirurgiões-dentistas, as extrações dentárias são simples e complexas e, às vezes, a remoção simples causa dor no primeiro dia ainda mais complexa. Tudo individualmente. Os analgésicos são prescritos pelo médico no primeiro dia após extração dentária necessária);

- Quando um dente do siso ou outro dente é cortado em uma criança (no entanto, os dentes do siso também não são tão simples - geralmente os dentes do siso inferiores, sem tratamento oportuno, começam a surgir com patologias que requerem intervenção cirúrgica. Não é por acaso que uma erupção dolorosa tenha um nome especial - pericoronite);

- Imediatamente após a instalação da coroa, antes de sua adaptação à gengiva (as coroas podem causar desconforto após a fixação, especialmente aquelas que são fixadas levemente abaixo da margem gengival, embora a dor aguda seja praticamente excluída).

Nesses casos, a dor geralmente pode ser removida em casa, sem medo das graves consequências da "paciência".
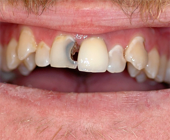
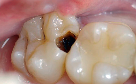
Mas na maioria das vezes os dentes doem devido a várias patologias: devido a cárie profunda, pulpite ou periodontite, e nesses casos a dor pode variar de leve e rápida a muito aguda e constante. Além disso, também pode ser observado inchaço das gengivas e bochechas (edema), febre, dor de cabeça e outros sintomas desagradáveis.
Vamos ver o que pode ser feito em casa para aliviar o sofrimento quando um dente dói muito, e imediatamente não é possível consultar um médico por um motivo ou outro.
Produtos farmacêuticos para alívio de dor de dente
Os analgésicos modernos na forma de comprimidos, pós e gotas solúveis em água são os meios mais eficazes para aliviar a dor de dente aguda, superando em muito todos os tipos de métodos alternativos em termos de eficácia. Os analgésicos fornecem um resultado rápido, proporcionam um efeito bastante duradouro e hoje estão disponíveis para uso doméstico em quase todos.

Os seguintes medicamentos são usados com mais freqüência para aliviar a dor de dente:
- Analgin - anteriormente um dos meios mais populares e acessíveis, que, no entanto, hoje está muito desatualizado. Geralmente ajuda bem com dor de dente com dor leve, mas com pulpite, quando é sentida dor aguda, sua eficácia pode ser insuficiente.Analgin também tem um efeito antipirético pronunciado. Deve-se ter em mente que esta droga há muito tempo é proibida para uso em muitos países do mundo devido a efeitos colaterais perigosos.
- Aspirina - muitos o conhecem como antipirético, mas também lida bem com dor de dente não muito grave. No entanto, com dor aguda, a aspirina não ajuda.
- Nimesil - uma ferramenta significativamente mais forte que as duas anteriores. Com sua ajuda, a dor de dente severa é quase completamente eliminada, independentemente da etiologia. Sua duração é de 4-5 horas. A principal desvantagem do Nimesil é a liberação apenas mediante receita médica, o que limita significativamente o uso do medicamento em casa.
- Ketanov é uma das drogas mais poderosas que ajuda a aliviar até a dor de dente muito grave. Começa a agir cerca de meia hora depois de tomar a pílula, e a dor desaparece completamente após uma hora e meia. A duração total do medicamento é de 5-6 horas. Ketanov também se refere a medicamentos prescritos e, para comprá-lo, você precisará primeiro consultar um médico (embora, na prática, muitas farmácias, afastando-se da lei, o vendam livremente sem receita médica).
Por força da ação, os análogos mais próximos da droga Ketanov são Ketorol, Ketorolac, Dolak e Ketalgin. Destes, o Dolak pode ser comprado em uma farmácia sem receita médica. Todos esses produtos estão disponíveis em forma de comprimido. Eles são tomados estritamente de acordo com as instruções ou de acordo com as instruções especiais do médico (geralmente 1 comprimido 2-3 vezes ao dia).

Se um dente dói em uma criança, você precisa ler atentamente as instruções sobre a admissibilidade do uso do medicamento apropriado na infância e seguir rigorosamente as dosagens recomendadas para crianças.
Também em casa, às vezes é possível usar soluções de lidocaína e novocaína. São analgésicos locais bastante eficazes, usados de maneira bem diferente dos comprimidos: as soluções simplesmente pingam diretamente em um dente doente com uma cavidade profunda de cárie (ou colocam um algodão umedecido com o medicamento na cavidade de cárie). Desde que a cavidade esteja em comunicação com a câmara pulpar, após um curto período de tempo, haverá perda da sensibilidade do dente - uma espécie de efeito de "congelamento". Geralmente não dura mais de uma hora.

Importante!
Deve-se ter em mente que a novocaína (em particular) é um dos anestésicos mais alergênicos hoje em dia, portanto, é preciso tomar cuidado.
Além disso, não importa a gravidade da dor de dente, ao usar qualquer medicamento em casa, é muito importante não exceder a dose. Normalmente, 1-2 comprimidos são suficientes para que o medicamento tenha o efeito máximo possível. Não é necessário engolir muitos comprimidos de uma só vez, já que exceder as doses recomendadas está repleto de efeitos colaterais graves e envenenamento.
Antes de tomar qualquer medicamento, é aconselhável consultar um médico - pelo menos por telefone.
Comentários
"Ontem ainda subi nas paredes, não sabia o que fazer, meu dente doía tanto. Não posso beber Analgin por causa dos rins. Como resultado, passei a noite inteira no banheiro, lavando a boca. Na clínica, eu pensei que viria, eles encheriam meu dente rapidamente e é isso. Mas não! Eu tenho um fluxo lá com pus. O médico disse que, em geral, os tecidos são normais, o dente pode ser tratado, mas somente quando a inflamação purulenta tiver passado. Ela receitou medicamentos especiais e deu uma receita para dor de Ketorol. Com essas pílulas, é muito bom, elas aliviam completamente a dor, mas você não pode tomá-las por um longo tempo ... "
Katya, Tver
O que ameaça o hábito de aliviar a dor de dente com pílulas
É importante entender que a dor é um sintoma de uma patologia, e quanto mais forte for, mais fortes serão os danos no próprio dente ou nos tecidos ao seu redor. Se o dente dói muito, esse é um sinal direto de que precisa ser tratado com urgência e certamente não funcionará em casa.

Na prática, em muitos desses casos, as pessoas simplesmente têm medo de ir ao dentista ou não querem gastar dinheiro com tratamento, esperando que o dente doa e desapareça por conta própria. Então eles sofrem dor de dente até o último, até que se torne insuportável. Mas mesmo neste caso, quando o organismo exausto está tentando dizer ao proprietário que não é mais possível se arrastar, porque as consequências serão completamente tristes, uma pessoa geralmente não foge para a clínica odontológica, mas compra pílulas poderosas na farmácia para aliviar a dor.
O resultado dessa abordagem é uma variedade de doenças dentárias e suas complicações:
- Cárie, que em diferentes estágios pode se manifestar como dor fraca e que passa rapidamente, e dor bastante forte. Se você suprimir essa dor de dente em casa com pílulas, o processo de cárie inevitavelmente chegará à polpa, resultando em pulpite - e essa é uma dor muito mais intensa, e o tratamento desse dente estará associado à necessidade de remover o "nervo" dele. Geralmente, esse é um procedimento longo e caro, especialmente no caso de dentes multicanais.
- A pulpite, que se manifesta com dor de dente grave, geralmente piora à noite. Se, neste caso, você tentar ser tratado em casa, apenas aliviando a dor com a ajuda de comprimidos, poderá praticar periodontite, fluxo e fístulas purulentas nas gengivas. Além disso, em alguns casos, a extração dentária está longe de ser a conseqüência mais triste.
- Osteomielite odontogênica, fleuma, sepse - todas essas complicações já podem ameaçar a vida de uma pessoa.
Também é perigoso suportar dor de dente sob a coroa (especialmente se a dor aparecer repentinamente sob uma coroa instalada há muito tempo). A presença de sensações desagradáveis aqui indica o desenvolvimento de um processo patológico oculto, cuja escala só pode ser avaliada na imagem da clínica. A situação é semelhante quando um dente dói sob um recheio (estabelecido há muito tempo) - nesses casos, o problema não pode ser resolvido em casa, é necessária uma visita obrigatória ao médico.

Nota
Mesmo uma vedação recentemente instalada normalmente não deve causar dor espontânea aguda e prolongada. A dor prolongada causada por substâncias irritantes (frio, quente, etc.), bem como a dor ao morder um dente selado, também não é motivo para perseverar, pois muitas vezes mais cedo ou mais tarde isso leva a pulpite e (ou) periodontite.
Muitas vezes acontece que não há alterações orgânicas na polpa, mas é impossível mastigar o lado de um dente que está cheio. Motivo: a técnica de colocação do material de enchimento é violada ou esse material não é adequado para uma pessoa em particular. Não é aconselhável esperar meses e perseverar em tal situação, pois basta alterar o selo sob a garantia e (ou) colocá-lo de maneira diferente.
Assim, os meios para aliviar a dor de dente devem ser utilizados apenas por um curto período de tempo - durante o período de espera por atendimento odontológico qualificado. Uma tentativa dos analgésicos de evitar tratamento nada mais é do que uma destruição independente da saúde de uma pessoa em geral, e dos dentes em particular.
Comentários
“Comecei isso há duas semanas ... Antes disso, o dente doía periodicamente, mas não havia nada de extraordinário. E então eu sinto que começa a doer muito, então minha bochecha ainda está inchada. Eu estou ligando para o médico, ele me escreve no dia seguinte e eu já tenho um rosto, como se tivesse levado nozes na minha bochecha! O médico disse para lavar a boca com água morna e passou o dia todo com chá quente na boca. Então ela descobriu que era periostite contra um fundo de inflamação do nervo no dente. Até agora, não me recuperei completamente, espero que na próxima semana seja a última visita ao médico ".
Olga, Moscou
Lavagens quentes: por que são necessárias e como fazê-las corretamente
Curiosamente, enxaguantes bucais quentes ajudam com muitas doenças dos dentes e gengivas.Eles, é claro, não substituem o tratamento e a doença em si não elimina, mas muitas vezes podem realmente reduzir significativamente a síndrome da dor e, além disso, enxaguar as áreas inflamadas dos tecidos, removendo parte do pus, se houver.

Além disso, em geral, não é tão importante o que é enxaguado exatamente. Outra coisa é importante:
- Lave a boca com um líquido a uma temperatura de aproximadamente 45 ° C. Acima é impossível - você pode se queimar. Se a temperatura estiver próxima da temperatura ambiente, o efeito será muito menor.
- Enxágue frequentemente - pelo menos uma vez por hora e, de preferência, uma vez a cada 30 minutos. Nesse caso, você precisa enxaguar a boca, não a garganta.
Para tais lavagens domésticas, você pode usar água pura, solução salina (uma colher de chá de sal por litro de água), água com bicarbonato de sódio, decocções de ervas com atividade anti-inflamatória - camomila, hortelã, barbante, immortelle, sálvia. Você também pode usar uma decocção de casca de carvalho.

É aconselhável enxaguar a boca, mesmo quando a dor diminuir ou diminuir - antes da visita ao médico.
Outra dica sobre o alívio da dor em casa:
“Quero compartilhar minha experiência, pois tentei ser tratado por dor de dente. No verão passado, meu dente doía muito, então tomei um copo de água morna, adicionei um quarto de colher de refrigerante e enxaguei a boca com esta solução a cada meia hora. Ao mesmo tempo em que ela bebia chá de menta, isso acalma. No dia seguinte, a dor diminuiu um pouco, mas um inchaço na bochecha apareceu. Ela continuou a enxaguar, mas ainda preparou uma decocção de casca de carvalho e a acrescentou. A dor já era tão forte, desagradável, mas não aguda. Mas o tumor não passou por muito tempo. Depois de uma semana eu não aguentei mais e fui ao médico. E aí tudo acabou sendo sério, eu até tive que fazer uma operação ... "
Ksenia, Moscow
Mas é absolutamente impossível aquecer a bochecha fora do dente doente - isso só levará a um forte aumento no edema sem nenhum efeito positivo (aqueles que tentarem aquecer a bochecha inchada do lado de fora com uma almofada de aquecimento ou se agarrar à bateria de aquecimento, sempre estarão convencidos da inadequação dessa abordagem).
Remédios populares inúteis e até prejudiciais para aliviar a dor de dente em casa
As pessoas continuam teimosamente a "circular" vários métodos alternativos, supostamente capazes de aliviar até mesmo dores de dente severas, que, no entanto, não podem ser recomendadas para uso em casa. Além disso, alguns desses métodos são francamente prejudiciais.
Por exemplo:
- Beber álcool dentro ou enxaguar a boca com álcool. Beber regularmente com dor de dente é talvez ainda pior do que suprimir a dor com pílulas. Quanto às lavagens, na maioria dos casos, o álcool não afeta a intensidade da dor de dente, a menos que seja anti-séptico da cavidade oral, mas para esse efeito, é melhor usar infusões de ervas ou casca de carvalho.

- Alguns métodos populares para aliviar a dor de dente envolvem tratamento frequente dos dentes com mel. No entanto, deve-se ter em mente que o mel e suas soluções são excelentes alimentos para bactérias cariogênicas, enquanto a glicose e a frutose, das quais o mel consiste, não têm efeito analgésico em um dente doente.
- Alho e rábano, recomendados para serem colocados na cavidade cariosa de um dente doente ou para comprimir gaze com base neles. Se a cavidade cariosa tiver uma mensagem com a câmara pulpar, na maioria dos casos isso só causará um aumento significativo da dor devido à irritação da polpa inflamada.
By the way
Se você segurar a polpa do alho por um longo tempo em uma cavidade profunda, então, tendo sofrido uma dor incrível, poderá matar o "nervo", e a dor realmente quase desaparecerá. No entanto, a polpa morta nos dias seguintes começará a decompor-se gradualmente (apodrecer) diretamente no interior do dente, portanto, uma visita ao médico ainda não será evitada.

Se o dente dói sob a coroa, pouco pode ser feito em casa - nenhuma loção e receita folclórica costuma ajudar. Na melhor das hipóteses, a inflamação da gengiva pode ser aliviada.
Se uma criança tem dor de dente ...
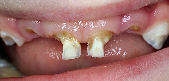
A destruição de até mesmo dentes de leite em uma criança pode levar a conseqüências não menos perigosas do que em adultos, e a dor de dente na infância geralmente é acompanhada de gritos e choro. Tentativas de alguma forma suportam uma dor de dente em casa, na esperança de que os dentes de leite caiam logo - esse é um grande erro dos pais e até, pode-se dizer, zombaria do bebê. Em alguns casos, atrasar uma visita ao dentista pode acabar com os dentes saudáveis da criança no futuro.

Portanto, a primeira coisa que um pai de boa-fé deve fazer nesse caso é tentar levar seu filho ao médico o mais rápido possível. E somente se uma visita imediata for impossível, você terá que combater a dor de dente por um tempo em casa. Listadas abaixo estão algumas ferramentas que podem ajudar, mas consultar um médico antes de usá-las ainda não fará mal.
- Nurofen para crianças - pode ser usado para crianças a partir de 3 meses, permite aliviar bastante a dor mesmo intensa. Adequado para crianças mais velhas.
- Nurofen em comprimidos ou cápsulas - pode ser utilizado para aliviar a dor de dente em crianças com mais de 12 anos de idade (em uma dose de 200 mg, 3-4 vezes ao dia). Para aliviar a dor o mais rápido possível, você pode usar 400 mg 3 vezes ao dia. Recomenda-se a crianças de 6 a 12 anos 200 mg, mas não mais de 4 vezes ao dia. Em qualquer caso, a dosagem máxima é de 800 mg por dia, não pode ser excedida. As variedades "adultas" de Nurofen devem ser administradas a crianças cujo peso corporal seja superior a 20 kg. Para crianças com peso inferior a 20 kg, é melhor dar Nurofen para crianças. O intervalo de tempo seguro recomendado entre as doses do medicamento é de pelo menos 6 horas e, para comprimidos de liberação prolongada, de 12 horas.
- Nimesil - administre meio pacote (para crianças acima de 12 anos) uma ou duas vezes por dia, dependendo da idade e da força da dor de dente.
- Ou você pode enxaguar com água morna com medicamentos anti-inflamatórios - talvez essa opção seja muitas vezes melhor para a saúde do que qualquer pílula. É aconselhável escolher decocções de ervas (camomila, sálvia), mas você também pode enxaguar com soluções de sal com soda em concentrações fracas, se a criança não se opuser a esse "biaka". Se o enxágüe não ajudar, somente nessa situação será possível recuperar os comprimidos.
Nota
Nem pense em dar ao seu filho Analgin. Está na hora de todos os pais se lembrarem que Analgin é um medicamento perigoso, embora extremamente barato. Freqüentemente causa agranulocitose.

É importante lembrar que, em crianças pequenas, as gengivas doem durante a dentição. Talvez este seja o único caso em que não é necessária uma visita ao dentista. Mas será útil mostrar a criança ao pediatra - o médico poderá confirmar com precisão que a dor na criança ocorreu precisamente por causa da dentição.
Medicamentos para aliviar a dor de dentição:
- Géis à base de lidocaína e mentol: Kamistad, Dentinox, Dr. Baby, etc.
- Supositórios e xaropes anti-inflamatórios e analgésicos: xarope de ibuprofeno, velas Viburkol, etc.
Antes de usar esses produtos, também é recomendável que você consulte seu médico.
E, para concluir, digamos algumas palavras sobre a fé de algumas pessoas em todos os tipos de conspirações e orações para dor de dente, em vários remédios homeopáticos e auto-hipnose. Mesmo se assumirmos que as pessoas que possuem a técnica da auto-hipnose podem realmente controlar sua própria dor, incluindo dor de dente, mesmo um guru de meditação dificilmente pode "reparar" uma cavidade cariosa ou restaurar uma podridão podre nos canais radiculares. E, no caso de dor de dente aguda, é melhor não correr para o médico antigo, mas ainda para a consulta do dentista, mesmo que ele receba mais dinheiro de você para o tratamento.
Comentários
"Vou contar uma história exatamente uma semana atrás. Tudo é muito comum: meu dente ficou doente. E ele ficou muito doente, e não apenas doeu. Tenho um histórico de seminários com Milton Erickson, sua filha, e cerca de 10 outros especialistas no campo da PNL e auto-hipnose entre os vinte melhores do mundo. É claro que a primeira coisa que fiz foi sentar, entrar em transe e diminuir a dor. Ela passou comigo e meu dente não doeu enquanto eu fazia coisas importantes. Você sabe o que eu fiz quando estava livre? Liguei para o meu dentista. Ele é um profissional e seu trabalho é mais caro que o trabalho de 95% de outros dentistas em São Petersburgo. E tudo porque eu sei que se um dente se deteriorar, então nenhuma auto-hipnose me ajudará a restaurá-lo. ”
Oleg, São Petersburgo
Um vídeo interessante sobre como aliviar rapidamente a dor de dente em casa sem o uso de comprimidos
Sobre a remoção da dor de dente com alho (esta ferramenta é apenas para o caso mais extremo - para pessoas extremas)





Meu dente dói, como se estivesse entorpecido. Eu tenho uma cárie no dente. O que fazer ?!
Olá A automedicação definitivamente não é boa: no melhor dos casos, basta remover os sintomas (dor, por exemplo), e o dente apodrecerá até a raiz e viverá seus dias curtos, provocando frequentemente um odor podre na boca. Quantos dentes podres eu já vi em meninos e meninas jovens - você não invejará os donos deles.
Quanto mais cedo você começar a tratar um dente para cárie (pulpite, periodontite), mais indolor será e mais cedo você se livrará da perspectiva de extração dentária. No contexto de um edema próximo às raízes podres do dente, até a anestesia pode ser dolorosa, pois perto dessas raízes tudo fica "inchado" pelo pus.
Quanto à escolha de um bom dentista: isso não é um problema. Tenho certeza de que seus parentes e amigos têm vários dentistas que tratam os dentes com eficiência. É melhor recorrer a esses médicos.
Olá, já com 2 dias de dor de dente. Eu não sei o que fazer, me diga, por favor ...
Olá É urgente ir à clínica ao dentista e curar o dente: selar em caso de cárie ou remover o "nervo" em caso de pulpite ou processar os canais em caso de periodontite. Tudo depende do diagnóstico, que é difícil de colocar em sua curta história. Não há absolutamente nenhum sentido em colocar alho, dipirona etc. na cavidade de um dente doente ou enxaguar com infusões, decocções e outros meios, absolutamente. Isso pode ajudar a remover o sintoma (dor) por um tempo, mas após um curto período de tempo, tudo se intensifica às vezes, pode levar a um grande inchaço e até à extração do dente. Portanto, é melhor não brincar com isso e tratar imediatamente.
Um dente terrivelmente doloroso
O dente é terrivelmente doloroso, não me deixou dormir a noite toda e agora dói. Ajuda!
Olá Entre em contato com seu dentista para preservar o dente usando tratamento intracanal.Se o "nervo" ainda não morreu, o médico sob anestesia o removerá sem dor e depois encherá os canais. Se o "nervo" já começou a se decompor, a periodontite deverá ser tratada. Não aguente e aguarde o tempo à beira-mar. É especialmente prejudicial usar constantemente a "química" e suprimir os sintomas: isso não eliminará a causa e você perderá o dente mais cedo ou mais tarde com essa abordagem.
Eu tenho 5 dentes dói, 3 deles eu tratei em odontologia e dei 15.000 rublos alguns meses atrás. E você ainda diz: vá ao dentista. Eles só sabem como tirar dinheiro de nós, mas não sabem como tratar.
Diga-me, por favor. Recentemente, removi uma mancha preta no dente da frente e fiz uma vedação a laser. Depois de um tempo, esse dente ficou muito doente de frio e calor. O que fazer Agradecemos antecipadamente.
É possível remover todos os dentes e inserir coroas nos implantes?
Olá Nikolai! A extração dentária é realizada apenas de acordo com as indicações relevantes, se necessário. Portanto, é necessário consultar um médico para exame, diagnóstico e consulta.