
Às vezes, após a instalação de uma coroa em um dente, a pessoa começa a sentir dor: isso pode ser observado imediatamente após o tratamento e após muito tempo, até vários anos. Ao mesmo tempo, muitos não sabem o que fazer e tentam eliminar essa dor no dente sob a coroa em casa, recorrendo a várias receitas folclóricas, enxaguatórios bucais, mas isso está longe de ser sempre justificado e seguro, porque as causas do problema podem ser muito diferentes.
Da mesma forma sobre as causas da dor de dente sob a coroa e o que fazer nesses casos, continuaremos e conversaremos com mais detalhes.
Especialmente para aqueles que desejam "vingança" dos dentistas pelo resultado deplorável do trabalho, será descrito em detalhes nos casos em que o dono das coroas é o culpado e quando pedir ao dentista ortopédico. Além disso, será explicado que um dente preparado para próteses com uma coroa instalada é o resultado do trabalho conjunto de três pessoas: um dentista, um técnico em odontologia e um ortopedista. Portanto, de um modo geral, cada um deles é responsável pelo resultado final.
Mas as primeiras coisas primeiro ...
Por que o dente começa a doer sob a coroa
Existem certas indicações para a preservação dos dentes usando coroas. Uma coroa é um tipo de prótese, que permite não apenas aumentar a força do dente cheio, mas também, em certos casos, atuar como um substituto artificial, em vez de estar ausente em uma estrutura chamada “ponte” ou ponte.


Deve-se notar imediatamente que a dor no dente sob a coroa e a sensação de desconforto que surgiu por um curto período de tempo após a fixação no dente são coisas completamente diferentes, e as causas de dor nesses casos também variam bastante. Por conseguinte, em casa, estará longe de ser sempre possível ajudar o dente.
No entanto, é óbvio que normalmente um dente com uma coroa não deve doer. Surgem então questões razoáveis: de onde vem essa dor, é aceitável (permitido) e como entender qual é a sua causa?
Existem várias razões que podem causar dor de dente sob a coroa.
A primeira delas é a inflamação da polpa ("nervo") dentro do dente. Dependendo da escolha do tipo de coroa (estampada, cermet), da abordagem e das táticas do dentista ortopédico ("protético"), às vezes é tomada uma decisão a favor de deixar o dente vivo, ou seja, não remover o "nervo" dele. No entanto, no processo de trabalho, podem ocorrer erros de diagnóstico, tratamento e processamento do dente sob a coroa, resultando, às vezes, em inflamação da polpa e dor.

Muitas vezes, essa dor já se manifesta na fase da prótese, o que permite que você decida a remoção da polpa mesmo antes da instalação da coroa. Infelizmente, existem casos em que um dente começa a doer após uma prótese completa.
É interessante
Uma das causas mais comuns de inflamação pulpar em um dente é o superaquecimento durante o "giro" do esmalte dentário. Alguns dentistas ainda trabalham sem o resfriamento da água na ponta da broca, o que ocasionalmente leva a uma queima do “nervo” durante o processamento de tecidos duros sob a coroa e subsequente necrose pulpar.
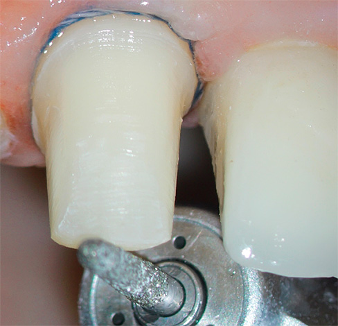
A coroa de metal-cerâmica requer um processamento significativo de esmalte de todas as 5 superfícies do dente. Dele, de fato, resta um coto, portanto, o médico deve cumprir estritamente todas as condições de trabalho: do conhecimento das zonas de segurança para impedir a proximidade de uma broca rotativa à câmara pulpar, ao uso de dicas modernas adaptadas ao arrefecimento por água e ar da área tratada por todos os lados. Se pelo menos uma condição for violada, o dente superaquece e subsequentemente começa a doer.Freqüentemente, nesses casos, o dente dói sob a coroa devido ao calor, e a dor não passa muito tempo depois de eliminar a fonte de irritação, muitas vezes se intensifica à noite.

Pulpite em um dente vivo sob a coroa também pode ocorrer devido a cárie.
No entanto, um dente com um "nervo" removido também pode começar a doer sob a coroa. Como regra, a razão para isso é a má preparação do dente pelo dentista antes da prótese.
Existem muitos erros possíveis que, neste caso, podem levar a dores subsequentes sob a coroa:
- tratamento de má qualidade dos canais e deixando a infecção (bactérias) dentro deles;
- polpa não totalmente extraída do (s) canal (is);
- chip de ferramenta no canal;
- criar uma perfuração (orifício) na parede do dente ou raiz (para alguns, parece-lhes que a raiz do dente sob a coroa dói);
- não trazer ou remover excessivamente o material de enchimento além da raiz
Às vezes, dores constantes e constantes e dolorosas só podem ser observadas com a pressão na coroa.


Se na fase da prótese o dentista ortopédico percebe imediatamente os erros do dentista, mesmo antes de instalar a coroa, ele pede para tratar novamente o dente ou, às vezes, dependendo da situação, insiste na remoção do dente do dentista-cirurgião, o que muda as táticas adicionais do tratamento ortopédico.
É interessante
Existem situações em que o dentista, devido à falta de experiência, qualificação, equipamento na clínica ou a um complicado arranjo de canais durante o tratamento intracanal de um dente preparado para próteses, comete erros que não são compatíveis com a preservação do dente. Médicos conscientes e honestos dão ao paciente informações verdadeiras sobre relacionamentos de causa-efeito, mas mais frequentemente dizem a um cliente desavisado que a própria pessoa aumentou seu problema a tal estado que já existe um "cisto" e o tratamento iniciado não produziu resultados.
Bem, e finalmente, a causa da dor pode ser simplesmente uma coroa instalada incorretamente.
Em alguns casos, isso se deve a uma superestimação da coroa pela mordida: o paciente sente desconforto, os dentes não fecham. A tática de um ortopedista de enviar o paciente para casa para "se acostumar" a coroas deliberadamente supervalorizadas pela mordida está incorreta. O fato é que, com essa coroa, após algum tempo, pode ocorrer inflamação traumática da raiz do dente, além de problemas com a articulação temporomandibular. Nesse caso, uma pessoa não consegue entender por muito tempo por que o dente doeu sob a coroa, pois às vezes leva mais de um mês para que os erros do dentista ortopédico aconteçam.
Há situações em que uma gengiva começa a doer sob uma coroa, não um dente. Uma coroa fixada em um dente pode passar excessivamente sob a gengiva com sua borda ou, inversamente, pode não atingir significativamente sua borda.
Na primeira opção, um trauma permanente com uma aresta aguda forma uma inflamação local, e a inflamação é acompanhada de dor, que "dá" ao dente. Como resultado, parece à pessoa que é o dente que dói sob a coroa, embora a causa esteja nas gengivas.
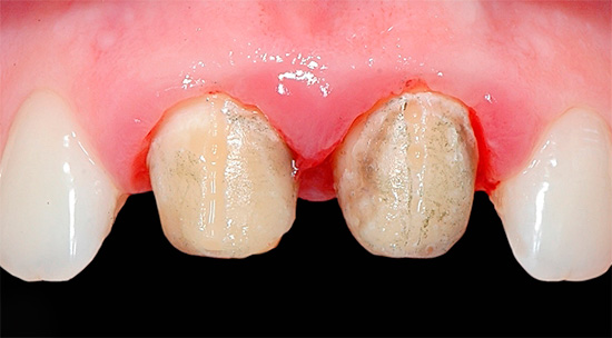
A foto abaixo mostra um exemplo de inflamação das gengivas em contato com as coroas:



Na segunda opção (quando a coroa não atinge as gengivas), geralmente a dor não ocorre logo. Atrasos freqüentes de comida entre a gengiva e a borda da coroa podem causar a mesma inflamação e dor no futuro como no primeiro caso, mas a cárie dentária provavelmente se desenvolverá, levando à destruição gradual dos tecidos duros sob a coroa com o aparecimento de uma reação dolorosa a calor, frio, pressão e pressão. outros irritantes.
Remédios populares para dor sob a coroa
Então, suponha que você tenha uma dor de dente embaixo da coroa e não saiba o que fazer: vá ao médico imediatamente ou tente primeiro remover a dor em casa e ver se o problema desaparece sozinho mais tarde.

É importante entender que mesmo coroas bem estabelecidas nos dentes podem causar dor fraca após as próteses (permanentes e aparecendo apenas quando pressionadas), mas não mais do que 1-3 dias, até que a mucosa gengival se adapte a elas. Portanto, os remédios populares nesse caso serão úteis. No entanto, para dores mais longas, bem como para dores muito graves, você deve marcar uma consulta com o dentista.
Existem muitos métodos que permitem diminuir a dor sob a coroa ou até desaparecer completamente. E, talvez, o método mais popular para uso doméstico seja o enxágue, embora nem todos saibam o que escolher, como preparar decocções e como lavar a boca.
O primeiro lugar em termos de eficiência e facilidade de uso é sábio.

É interessante
O sábio é há muito utilizado pelos curandeiros, considerando-o o melhor "médico" verde. Até o nome "sábio" é traduzido do grego antigo como "sol", "saúde". Folhas de sálvia contêm flavonóides e fitonídeos. Quantidades significativas são ácidos orgânicos, bem como vitaminas P e PP. Sage tem efeitos anti-inflamatórios, hemostáticos e antimicrobianos, o que é ótimo para aliviar dores de dente e dores nas gengivas.
Para preparar a infusão, é necessário medir uma colher de sopa de sálvia, despejar um copo de água fervente da chaleira e insistir na solução resultante por 15 minutos. Depois disso, lave a boca com infusão quente pelo menos 5 vezes por 30 minutos. É mais provável que a dor desapareça se for causada por inflamação gengival da coroa.
Às vezes, a infusão de orégano também é muito adequada para aliviar uma dor de dente sob a coroa, especialmente se irritar as gengivas.

Nota
O orégano contém quase todos os mesmos componentes que a sálvia. Compostos como: timol e carvacrol (anti-sépticos), fitonídeos (também inibem o crescimento e matam bactérias e fungos) afetam especialmente suas propriedades curativas. Algumas pessoas até pensam que o orégano pode substituir facilmente os antibióticos.
Para preparar a infusão de orégano, coloque uma colher e meia de grama com um copo de água fervente e deixe esfriar. Para aliviar a dor, o enxágue deve ser realizado 5-7 vezes em uma hora.
No entanto, talvez os mais populares em uso sejam lavagens com refrigerante. A vantagem do bicarbonato de sódio como remédio popular é que, ao lavá-lo com uma solução, a inflamação da gengiva é reduzida e o número de micróbios viáveis também é significativamente reduzido, resultando em uma diminuição gradual da dor.

Não é difícil preparar uma solução de refrigerante para enxaguar a boca: basta dissolver uma colher de chá de refrigerante em pó em um copo de água morna. Mas enxaguar, com o objetivo de aliviar a dor de dente sob a coroa, é quase toda a arte.
É necessário colocar um pouco de solução de refrigerante quente na boca e colocá-lo na boca para que sua parte principal fique próxima ao dente doente. Por alguns segundos, vale a pena reter uma porção e depois cuspi-la e enxaguar novamente da mesma maneira, até que toda a solução preparada esteja acabada. Geralmente, o dente gradualmente deixa de doer sob a coroa por alguns minutos após o início do enxágue.
Kit de primeiros socorros para dor de dente
Como observado acima, após a colocação da coroa no dente, podem ocorrer dores de várias etiologias. No entanto, sejam quais forem as razões, é natural que você se livre do desconforto o mais rápido possível, para que você possa recorrer aos analgésicos modernos, encontrados em quase todos os armários de remédios caseiros.

Os dentistas costumam prescrever os seguintes medicamentos como anestésicos após tratamento dentário e fixação de coroas como analgésicos:
- Ketanov;
- Cetorol;
- Cetorolaco;
- Tempalgin;
- Nurofen

Os três primeiros são vendidos em farmácias apenas mediante receita médica.
É interessante
Analgin é talvez o medicamento para a dor mais controverso, que, no entanto, é encontrado em quase todos os lares da Rússia, o que não se pode dizer de dezenas de países desenvolvidos que há muito tempo foram abandonados devido à possibilidade de complicações perigosas. Em 1970, a Organização Mundial da Saúde recomendou o abandono deste medicamento para a dor. No Canadá, Reino Unido, Áustria, Dinamarca, Estados Unidos, Japão e alguns outros países, a analgin não é vendida devido ao risco de desenvolver agranulocitose, uma doença associada à diminuição dos níveis de neutrófilos no sangue, o que torna o corpo suscetível a infecções bacterianas e fúngicas.
Os anti-histamínicos são medicamentos que reduzem o aumento da sensibilidade do corpo humano a danos e processos infecciosos. Durante a inflamação, ocorre a chamada "alergia microbiana" e a histamina a aumenta. Anti-histamínicos, que também são frequentemente prescritos por dentistas, foram criados para manter a inflamação sob controle.

A dor que surge sob a coroa é mais frequentemente o resultado de inflamação. A histamina é uma substância que provoca mecanismos que levam à dor, e um medicamento anti-histamínico permite influenciar os receptores que percebem a histamina.
Se o dente doer sob a coroa, como terapia adicional, faça o tratamento com anti-histamínicos, como:
- Diazolina;
- Tavegil;
- Suprastin;
- Difenidramina;
- Claritina;
- Zirtek
E outros
Antes de usar qualquer medicamento, é necessária uma consulta médica (e não um dentista). Deve-se lembrar que muitos anti-histamínicos e analgésicos têm pílulas para dormir ou reduzem a concentração.
Tratamento dentário sob a coroa no dentista: o que você pode esperar na clínica
Cada tipo de coroa tem sua própria data de validade, por isso é importante avaliar sobriamente a situação em que a dor sob a coroa estampada ("dourada") ocorreu após 10 a 15 anos de operação e sob a coroa de metal e cerâmica - após 15 a 20 anos. Ou seja, não se deve esperar que, por um longo período de tempo, nada aconteça sob a coroa com o dente, e não fique doente.

Outra coisa é se o dente sob a coroa começar a doer imediatamente ou logo após a instalação, é importante entender as reais razões para isso. Obviamente, é difícil determinar o problema sozinho em casa. Portanto, ainda é útil confiar na consciência e na honra do seu médico, consultar com ele, tirar fotos dos seus dentes, se necessário, e determinar qual é exatamente a causa da dor.
Um médico profissional não apenas encontrará o fator causal da dor que surgiu no dente sob a coroa, mas também delineará um plano de tratamento se houver erros: substituindo a coroa traumática ou superestimada e terminando com o preenchimento dos canais.
Uma opção extrema é a remoção de um dente danificado e a elaboração de um plano para uma nova prótese, levando em consideração novos dados.

Relato de caso
Um homem de 35 anos foi ao dentista com queixas de inchaço das gengivas na área do dente esquerdo por baixo, que periodicamente passa sozinho. Da história médica: o dente foi tratado anteriormente nos canais, a coroa de metal e cerâmica foi colocada há cerca de 2 anos. Os diagnósticos de inspeção visual, percussão, EDI e radiografias mostraram que o dente está localizado sob a coroa com o nervo removido e na região do ápice da raiz anterior 3,6 do granuloma do dente (canto inferior esquerdo, sexta consecutivo) é visível, o que representa uma área escura arredondada na imagem. O tecido circundante próximo à raiz posterior está dentro dos limites normais.
As causas da dor são bastante óbvias: na raiz anterior, o material de preenchimento passava apenas um pouco mais de 50% do canal, de modo que podemos assumir que durante a operação houve vários problemas associados à passagem do canal, sua expansão, lavagem e preenchimento, que posteriormente levaram à reprodução bactérias em uma área não lacrada.
A raiz posterior é selada quase no ápice, ou seja, não atinge o ápice radiológico visível de cerca de 1 mm. Portanto, não há nenhum problema sério.
Táticas de tratamento.Para eliminar fontes diretas de dor na forma de inflamação das raízes no topo, foi realizado um tratamento em fases:
- Dissecção com boro através da coroa;
- Abertura da boca do canal na raiz anterior problemática;
- Passagem e expansão do canal, não atingindo o ápice em 20-30%;
- Vedação com obturadores de núcleo mole no comprimento necessário;
- Ressecção (recorte) do topo da raiz anterior;
- Controle as imagens após o tratamento e após um ano;
- Coroas de substituição.
Prevenção de dor de dente sob a coroa
Para que o dente sob a coroa não doa, basta seguir as recomendações do médico para cuidar dele. As coroas devem ser limpas regularmente e pelo menos 2 vezes ao dia, assim como os dentes. É especialmente importante limpar a placa dos espaços entre os dentes e próximo à margem gengival - local de maior probabilidade de acúmulo de resíduos alimentares.

Para fazer isso, produtos de higiene adequados, como: escova de dentes, fio dental e, em casos extremos, palito. Categoricamente, é impossível roer sementes, mosles, nozes duras, sementes de frutas, etc., com coroas, pois isso geralmente leva a uma coroa quebrada e provoca ainda mais fortes dores sob ela.
Mesmo que não exista dor no dente sob a coroa instalada, você deve visitar seu médico pelo menos duas vezes por ano para controlar a qualidade das próteses.
Vídeo útil: por que há dor no dente sob a coroa e como o tratamento ocorre nesta situação
Por que coroas antigas são prejudiciais à saúde


Eu recebi coroas, um mês depois eles começaram a doer. O que fazer
Vá ao médico. Não há nada a fazer aqui. Bem, esses são dentes, os métodos domésticos não ajudarão. É bom que a coroa tenha sido colocada com sucesso, embora o médico tenha avisado que a inflamação gengival sob a coroa é possível. E então você precisará tomar algum tipo de solução de tratamento e enxaguar para aliviar a inflamação. Prefiro periodontocídio, ajuda bem e os dentes com recheios não escurecem com isso.
Meus dentes doem muito. Não durmo à noite, o que devo fazer? Eu tomo pílulas sem parar, elas realmente machucam, elas machucam ... O que devo fazer?
Puxe tudo para um e coloque a prótese se os dentes doerem ...
Eles colocaram uma ponte nos meus dentes. Dor constante em um dente. Então o dente abaixo começa a doer. Então a mandíbula começa a doer, e então tudo dói. O dente não responde a quente, frio ou pressão. Ele até se acalma do calor. A coroa é muito confortável. O que está havendo?
Minha mãe constantemente tem uma dor de dente debaixo da coroa, o que devo fazer?
Olá Paul! Tudo é simples aqui: é imperativo tirar uma foto do dente (o dentista pode escrever o número do dente para o radiologista para uma consulta), então você deve ir ao dentista com a foto. Ele analisará os dados da imagem e decidirá o que é melhor fazer. Se houver cistos na raiz ou algo parecido na imagem, será necessário remover a coroa e avaliar a situação.
Se tudo já "apodrecer" sob a coroa, será necessária a extração e a prótese dentária. Se o dente estiver vivo, você também deve remover a coroa e tratar os canais, seguido pela instalação de um selo e de uma nova coroa. Às vezes, os dentes de canal único podem ser tratados através de uma coroa, mas, de acordo com o protocolo, essa não é a abordagem correta, pois nem sempre é possível processar qualitativamente a cavidade cariosa e o próprio canal. Além disso, mesmo o "orifício" da coroa, que foi selado posteriormente, ainda afetará as características de resistência da estrutura ortopédica no futuro.
O resultado geral é o seguinte: para dor no dente sob a coroa, sempre é tirada uma foto de diagnóstico, a coroa é removida e o dente é tratado (ou tratado) de acordo com a situação. Em casos raros, imediatamente após a análise da imagem, o dente é removido com a coroa (cuidados cirúrgicos).
Ontem, coloque 4 coroas nos dentes vivos inferiores da frente. Imediatamente ela disse ao médico que seus dentes doíam muito, mas ele respondeu que a dor ainda seria sentida por um dia. Quase um dia se passou, a dor diminuiu, mas ainda dói morder comida, e dói tocar sua língua. Aconselhar o que fazer?
Olá amor! Geralmente, com fixação constante das coroas, a dor realmente desaparece dentro de um dia. No entanto, acontece que, mesmo que o médico tenha feito tudo certo, a reação individual da gengiva dura até 2-3 dias. Isso é especialmente pronunciado com gengivite e periodontite, quando a própria gengiva é extremamente sensível a qualquer tipo de interferência nela. Infelizmente, você não especificou: eles removeram seus "nervos" ou não seus dentes. Isso esclareceria muito.
Até agora, com base nos seus dados, a suposição é limitada apenas à reação da mucosa, mas as informações sobre o tratamento dos canais requerem esclarecimentos. Não posso deixar de dizer que a melhor consulta que fornece uma imagem completa é recebida do seu ou de outro dentista na cadeira. Desejo-lhe uma solução rápida para o problema!
Boa tarde Em janeiro de 2016, ele colocou 2 coroas nos dentes inferiores da mastigação (uma coroa nos 2 dentes imediatamente). O médico disse que a limpeza dos canais não é necessária se eles não forem perturbadores. Alguns dias atrás, comecei a sentir dor em um dos dentes protéticos ao mastigar comida. Não reage a dentes quentes e frios, apenas a mastigar alimentos. Pergunta: se agora para limpar o canal deste dente, a instalação de uma nova coroa pelo mesmo médico após a limpeza dos canais deve ser coberta pela garantia?
Olá Alexander! Você avalia corretamente a situação: o aparecimento de dor sob as coroas não é a norma. O problema é diagnosticar corretamente o dente causador. Às vezes, a dor "afasta" aqueles dentes em que você nem pensa. Se um dente é encontrado sob a coroa (uma imagem pode esclarecer vários pontos), tudo depende da política da clínica. Os documentos de garantia indicam os pontos que se enquadram nela. Existe a sua assinatura e leia o que se encaixa nela e o que não se encaixa, você pode, mas em alguns casos apenas o contratado e o advogado médico podem entender. Até onde eu sei, uma clínica decente é responsável por todo o trabalho: desde a preparação sob a coroa até a última etapa da fixação. De fato, acontece que a garantia se refere especificamente ao fato de danificar a coroa ou a sua perda. Ou seja, a possível aparência de dor sob a coroa é atribuída às características individuais do corpo: a falha está na própria pessoa. Existem nuances muito sutis que são decididas primeiro na clínica, analisadas etc., e depois é feita uma avaliação do trabalho da instituição e da consciência do diretor e da equipe combinados. Devo dizer imediatamente que, com um documento legalmente correto do contrato (acontece) para os serviços prestados, é quase sempre caro e pouco promissor ganhar um caso no tribunal.
Olá Há uma semana eles colocaram cermets nos meus dentes superiores. Depois de um tempo, quando como comida quente ou quente, um dente sob a coroa começa a assar e dói morder. A dor desaparece depois que eu bebo com água fria ... Os nervos sob a coroa foram removidos. O que eu faço?
Olá Você cita agora os sintomas de exacerbação da periodontite crônica. Se traduzido para a linguagem humana: alguns dos dentes “mortos” sob a coroa supostamente apresentam um desvio no tratamento. Existem muitas opções: eles se esqueceram de processar o canal no dente (mais precisamente, não encontraram o canal), quebraram a ferramenta no canal, removeram muito o material de enchimento ou deixaram o canal (canais) meio vazio, não conseguiram passar o canal por todo o comprimento, não foram tratados com remédios suficientes, não trataram os medicamentos inflamatórios lareira (se havia uma na raiz de um dente), etc. O diagnóstico final só pode ser feito por um médico, e o mais difícil é encontrar o dente causador e tratá-lo novamente. De fato, para isso será necessário remover a coroa, já que o tratamento com cerâmica metálica é difícil, para dizer o mínimo.
Olá Em 23 de julho, os 6 inferiores sob a coroa doíam muito, fizeram um raio-X, disse o médico, é mais provável que tenha soprado para beber analgésicos. A dor aumentou por 2 dias, acabou indo a outro médico: ao tocar, ela determinou que um nervo estava inflamado perto dos 7, removeu o selo, colocou o remédio e disse que chegaria em 3 dias. Todos esses dias em analgésicos, a dor soou no meu ouvido, templo. Na hora marcada, ela limpou os canais, os selou e colocou um selo, avisou que até uma semana ela poderia sofrer. A dor diminuía todos os dias, mas o desconforto era considerável, e ela tomava analgésicos. E agora, às 6 horas, um odor desagradável apareceu sob a coroa, um pouco de chiclete cedeu e parecia que o dente sob a coroa ficou um pouco móvel e, quando pressionado, havia dor. Por favor me diga o que você precisa fazer? Agradecemos antecipadamente a sua resposta.
Você precisa ir ao médico e não procurar ajuda no fórum. Você teve um problema com os sete e outro com os seis.
Olá Sem conhecer em detalhes sua situação clínica, é difícil julgar as táticas de um médico. Se houver um problema no sexto dente, é importante remover a coroa e analisar a situação já sem a coroa. Um papel importante pode ter uma imagem diagnóstica dos dentes. É importante determinar o dente problemático. Infelizmente, de acordo com a descrição, é impossível diagnosticar e prescrever tratamento. Confie no dentista.
Em abril, coloque duas coroas nos dentes da mastigação. Na última semana, sinto uma dor dolorosa embaixo deles.
Eles começaram a incomodar os dentes sob a coroa, tiraram uma foto e não consigo me recuperar o dia inteiro: quase todos os canais sob a coroa estão vazios ou meio vazios, e há uma ferramenta em outro canal ((E as coroas estão na aba de metal, o médico disse que você não pode removê-las, as raízes podem Lembro que limpei e lacrei todos os canais, aconteceu que eles estavam vazios? E o que devo fazer agora? ((
Olá Se houver um pedaço quebrado no canal, ele não poderá mais ser chamado de vazio. Eu acho que o dentista falhou, por algum motivo, em empurrar o material para dentro dos canais do dente, e ele "grudou" perto da boca dos canais, ou o dente não foi preenchido com material radiopaco, ou seja, é difícil avaliá-lo na imagem.
Quanto à complexidade associada à guia - o dentista avalia os riscos e está parcialmente certo. Outra questão é que você tem a oportunidade de obter conselhos sobre a sua situação de outros 2 a 3 dentistas que trabalham em clínicas, onde existem equipamentos e ferramentas para extrair a guia com risco mínimo e preencher os canais novamente.Uma ferramenta deve ser removida do canal: é melhor usar os serviços de tratamento de canal sob um microscópio e com a participação direta de equipamentos de ultrassom. Este é um procedimento caro, uma vez que o retratamento (salvar um dente da remoção) é sempre um processo responsável e difícil, mesmo para um médico qualificado na presença da base técnica necessária.
Como você resolveu o problema?
Olá Aconselhe o que fazer: há uma ponte na mandíbula superior (cermet) por 4 anos e agora dói um pouco acima do dente, mais perto da cavidade nasal. Enxágüe, mas a dor não diminui. Comecei a tomar analgésicos. Obrigada
Olá Tire uma foto e envie-a para o correio (ou forneça-a como um link) se quiser entender à revelia. Em qualquer caso, o destino do dente sob uma das coroas da ponte é o seguinte: após remover esse projeto ortopédico e diagnosticar os dentes da imagem, você será submetido a um retratamento desse dente problemático ou será removido se não for mais possível salvá-lo. Analgésicos são uma perda de tempo e química no corpo. Além disso, o dente aguarda sua atenção e “vozes” sobre a exacerbação da periodontite crônica. Embora nada mais do que um dente causador, você não pensará. Obrigado pela pergunta.
Olá Há um ano, coloquei uma ponte de metal-cerâmica, uma selada e uma presa. Depois disso, a dor no dente cheio começou gradualmente. Não consigo comer normalmente, dói muito, até o uísque dói. Fui ao dentista, não diz o que é. Ele disse que era por causa dos dentes cariados mais baixos. Diga-me, por favor, não sei o que fazer.
Olá Pelas suas palavras, não tenho motivos para não acreditar no seu médico. Vou explicar o porquê: o fato é que a dor em um dente cariado, na qual a infecção entra na polpa, pode irradiar para o tratado. Ou seja, um dente pode doer e dar para o próximo ou até para o outro maxilar.
Por outro lado, o médico pode ser uma pessoa interessada e ocultar a situação real de você. Talvez você esteja certo, e está no dente que fica embaixo do cermet.
Meu conselho será: tire fotos dos dentes embaixo da ponte (dois dentes) e consulte um dentista. Além disso, você pode anexar as fotos aqui, através do correio (consulte a seção "Comentários"). Caso contrário, entre em contato com 2 a 3 dentistas independentes e obtenha orientação deles. Em muitas clínicas, as consultas são gratuitas. Isso lhe dará a oportunidade de obter pelo menos duas das mesmas opiniões e fazer o tratamento certo para o dente específico que está incomodando.
Quatro anos se passaram desde que as coroas foram colocadas nos últimos dentes, incluindo o dente do siso. Hoje, o último dente está muito dolorido, não sei o que fazer. Diga-me, por favor, o que devo fazer? Então, eu não quero remover a coroa.
Olá, há 2 anos, eles me colocaram uma ponte sobre 2 dentes vivos, um dos quais é um dente do siso. Esse dente do siso já me atormenta há 4 noites, e a dor se estende até os dentes superiores e a linha inferior deste lado. Assim que me deito, sinto dor, mas sentado e em pé não há dor. O que eu faço?
Olá Acho que terei que remover a ponte e resolver o problema do tratamento dentário (e talvez com a remoção, até agora não posso ter certeza sobre o veredicto, como o dentista decide pessoalmente). Preliminarmente semelhante à dor na pulpite. Tratar um dente do siso através da coroa de uma ponte é, em primeiro lugar, tecnicamente problemático; em segundo lugar, “perfurar” uma coroa por seu próprio risco e risco e depois remendá-la com um selo é uma prática irracional e arriscada na odontologia.Portanto, a melhor opção é remover a ponte e resolver o problema com o dente do siso, seguido de próteses.
Boa tarde Caro Svyatoslav Gennadievich, Eu tenho uma ponte (de 2011) no canto superior direito, de 3 a 7 (coroas de metal). Cerca de uma semana atrás, fiquei doente 7, sob a coroa. A dor intensificou-se ao mastigar, mascando comida apenas no lado esquerdo. Tomei 1 comprimido de pentalgin duas vezes, à noite, a dor desapareceu gradualmente. Uma semana se passou, o dente não dói nada, eu mastigo comida, como antes. Entendo que é necessário diagnosticar, mas mais uma vez não há desejo de quebrar a ponte. A esse respeito, a pergunta é: é possível tirar uma imagem de raio-x de um dente através de uma coroa sem remover a ponte? Ou apenas não faça nada até que a dor apareça novamente? Obrigado pela atenção!
Olá Sem dúvida, um dente precisa ser tratado (ou tratado se já tiver sido tratado anteriormente em canais). Se você deixar tudo como está, no futuro, você corre o risco de crescer um cisto na raiz do dente ou sofrer uma complicação purulenta no rosto. Quanto às radiografias, mesmo uma imagem através da coroa pode ajudar a determinar o que acontece com os canais do dente e quão ruim está tudo fora da raiz (existe um processo inflamatório). Minha resposta final é: você pode tirar uma foto, precisa tratar um dente (ou já o remove - depende da situação).
Olá Cerca de 4 anos atrás, uma ponte foi colocada no alto 12-11-21-22. 21 - ausente. Cerca de 2 anos atrás, houve dores no frio entre 12 e 11 anos, que depois de alguns dias se passaram. Agora eles também começaram a ficar doentes depois de uma longa estadia em uma geada intensa, e por uma semana agora e sem sair. Também dói 42. Praticamente não há sensibilidade a alimentos frios / quentes, mas parece que 12 a 11 sob a coroa parece ter inchado. Por favor, ajude, diga-me, qual poderia ser o motivo e o que fazer?
Olá Existem duas suposições. Os mais inclinados a exacerbar a periodontite crônica. Esse diagnóstico indica um processo inflamatório na raiz do dente, quando uma infecção bacteriana se acumula no canal, transformando seu conteúdo com frequência em exsudato purulento. Em menor grau, penso em pulpite - inflamação do "nervo" em um dos dois dentes vivos. Suspeita-se que você já tenha sido tratado com dentes nos canais, mas até agora não posso confirmar ou negar esse fato sem uma foto. Eu não acho que os dois dentes são os culpados, embora às vezes aconteça que em um dente haja um processo agudo pronunciado e no outro haja um lugar para ser crônico. Para estabelecer a causa exata, você precisa de uma foto do dente para análise de diagnóstico (você pode me enviar um site de correio). Se você tem uma foto, pode falar sobre o que fazer a seguir. Uma coisa que posso dizer com certeza: a ponte deve ser removida, os dentes (se possível) podem ser tratados ou o tratamento primário dos canais é feito e, em seguida, uma nova ponte é feita. A opção de "derrubar" a ponte antiga com sua reinstalação é duvidosa, arriscada e pode ter consequências negativas para o futuro. Quanto mais cedo você resolver esse problema, melhor. Boa sorte
Olá, Svyatoslav Gennadievich! Ele enxaguou com tintura de própolis e esqueceu que algo doía))
Olá Bom, mas lembre-se de que você removeu o efeito (dor), mas o motivo permaneceu. Muito provavelmente, manifestações repetidas do processo inflamatório não levarão muito tempo. Em casos raros, pode ter "sorte" e não haverá problemas visíveis por muitos anos. No entanto, muitas pessoas devido à necessidade de cirurgia do cisto maxilofacial (crescida ao longo dos anos) após uma espera tão longa não consideram essa sorte. Na maioria das vezes, uma repetição ocorre nos próximos 1-2 anos.O principal é que você seja avisado, mas de outra forma - com toda a vontade de imunidade, infecção e sua atividade.
Bom dia Quero conhecer as opiniões de especialistas independentes. Há três anos, ele colocou coroas de metal cerâmico. 5 dias atrás, senti dor em um lugar em que a coroa está. Eu fui ao médico. Tirou uma foto. Está tudo bem lá, os canais estão completamente fechados, não há pontos pretos. O médico me disse que estava resfriado (as gengivas estavam levemente inchadas). Prescreveu um monte de antibióticos. Após 3 dias de tratamento, minhas gengivas incharam, toda a dor foi para lá, mas o desconforto dentário permaneceu. Telefonou hoje com o administrador da clínica. Ela me disse para esperar até o jantar. Além disso, ela acrescentou que eles não removerão as coroas, mas provavelmente irão me enviar a um cirurgião para remover o fluxo. É possível consultar você se essa situação voltar a ocorrer depois de algum tempo, já que as coroas não querem remover?
Olá Se, como você descreveu, surgir um fluxo (em linguagem profissional - periostite), vou lhe contar um segredo: as táticas dos médicos da clínica não estão corretas. Vou explicar como está a situação hoje em muitas instituições orçamentárias (hospitais, clínicas). Portanto, você tem um dente localizado embaixo da coroa e com um foco inflamatório na raiz (em casos mais raros, o problema pode estar no dente localizado próximo ao dente embaixo da coroa). Tenho quase certeza de que os canais no dente sob a coroa não estão tão bem fechados quanto parece aos médicos, ou há outro problema que causou um processo infeccioso nos canais que se espalham além do ápice das raízes.
Por que os médicos não querem remover a coroa, realizar tratamento anti-inflamatório e alcançar um resultado positivo em um futuro distante? Frequentemente, na odontologia orçamentária, simplesmente não há equipamento necessário para isso e também não há ferramentas e tempo necessários (15 a 20 minutos são alocados por paciente de acordo com as normas, e esse trabalho leva pelo menos 1-1,5 horas). Talvez não haja desejo, uma vez que os médicos dessas instituições estão sobrecarregados com trabalho e excesso de papéis. Tenho quase certeza de que vários fatores se fazem sentir nesta clínica imediatamente, por causa dos quais é muito mais fácil "liberar pus" removendo o fluxo e preservando o processo crônico até a próxima exacerbação. Os dentistas geralmente esperam que uma passagem fistulosa apareça na gengiva, através da qual o pus se evacue por muitos anos, quando você fica resfriado, congela as pernas, fica estressado, sobrecarrega o dente com alimentos duros, etc.
O mais interessante é que, no geral, você entende corretamente que a infecção no dente causador, perto da qual o fluxo apareceu, não irá a lugar algum por si só. Sim, os dentistas não são de uma vida boa (quase com certeza) se oferecem para remover apenas os sintomas, mas você concorda em seguir o caminho proposto? Eu recomendo ir a uma clínica particular, onde há muito mais chances de encontrar um especialista e um equipamento decente para tratar até mesmo um dente complexo. As coroas terão que ser removidas, é claro, se o dente causador estiver sob uma delas. Boa sorte
Boa tarde, querido doutor! Há 2 meses, uma coroa (sólida) foi colocada nos meus 4 dentes superiores da frente. Ambos os duques estavam mortos e com um velho composto de luz. Eles instalaram pinos resistentes de titânio. E ambos odnerka eram animados e brancos. Havia uma pequena cárie no interior de um deles. Eles instalaram os pinos usuais no dentista (o shaitan me levou a colocar coroas nos 4 dentes. Desde que o ortopedista apoiou meu desejo, porque todos os dentes serão igualmente bonitos e da mesma cor).
Quando eles me mostraram o resultado ao experimentar, os dentes ficaram amarelos! Não apenas isso, eles o enviaram para casa para se acostumar e, dos quatro dentes, há apenas um dente se fechando nos dentes inferiores. Ao morder, todos os outros balançam com um balancim e são sugados para longe das gengivas. A dor apareceu periodicamente neste dente de fechamento. E nos últimos dias é constante.E havia um cheiro fétido e um revestimento branco. Todos os dias retiro e limpo dentro da cerâmica e dos tocos dos próprios dentes.
Odnerki virado interrompeu no segundo dia após a instalação em cimento temporário. E assim durou um mês, até que toda a estrutura foi removida.
Estou grávida, no sexto mês. Posso fazer raio-x? Preciso substituir a cor da coroa se eu expressar imediatamente meu descontentamento pelo acessório? E por que a placa parecida com pus apareceu em odnerka? Muito obrigado
Olá Quanto ao cheiro e à placa, coroas e pontes móveis inevitavelmente se tornam um depósito de partículas de alimentos e bactérias da cavidade oral, o que cria um odor desagradável. Em geral, você descreveu muitos pontos que falam de erros óbvios por parte do médico: 1. Seleção incorreta da cor da cerâmica; 2. Rápida cimentação da prótese (embora em cimento temporário); 3. Contatos modelados incorretamente nos dentes da frente (isso provavelmente contribuiu para o fato de que o odnerka virado se rompeu).
Contanto que você puder, exija um trabalho de qualidade. Ou devolva o dinheiro gasto para esse "trabalho" e obtenha uma prótese de outro dentista ortopédico (se houver tantas articulações na fase inicial da prótese, provavelmente fará sentido mudar de médico).
Em relação aos raios-x - a radiografia “filme” não deve ser realizada na fase da gravidez (6 meses). Talvez não haja grandes riscos, mas os radiologistas não assumirão essa responsabilidade. Nos estágios posteriores, a visografia é possível - um raio-x do dente usando sensores de computador. Ainda terá que ser negociado individualmente, pois mesmo os médicos que lidam com isso nem sempre fazem concessões, conhecendo o comportamento das mulheres que, se algo acontecer, podem culpar essa autoridade por quaisquer pecados sem uma boa razão.
A cor deve ser substituída a pedido do cliente, pois eles devem levar em consideração sua opinião sobre o seu dinheiro. Eu acho que aqui você também pode concordar com o médico e chegar a um certo acordo.
Olá Coloquei a coroa há duas semanas e agora um dente caiu sob ela. Após o exame, o médico sugeriu a remoção do dente, referindo-se ao fato de que inicialmente não era muito bom. Diga-me, faz sentido tentar refazer a coroa?
Olá Infelizmente, não sei exatamente quais são os motivos pelos quais seu médico é orientado nas decisões deles. Aqui você precisa de um exame e, provavelmente, de uma imagem da raiz do dente. Somente depois disso, você pode dar o aval: remover ou não esse dente. É estranho que o médico, obviamente um dente "controverso", não tenha conseguido avaliar a tempo, mesmo antes de instalar a coroa. É melhor fazer um exame com outro dentista ortopédico: verifique a mobilidade do dente, com percussão, palpação das gengivas perto da raiz e na imagem (provavelmente, necessária). É melhor ter duas ou três consultas e tirar conclusões sobre elas. O dente é examinado de forma abrangente, e as conclusões devem ser baseadas em algo mais substancial do que a simples expressão "dente ruim".
Boa tarde Coroas de zircônio foram colocadas em toda a mandíbula superior. Na parte inferior direita, três coroas nos dentes para mastigar. Levantou uma mordida. Duas semanas depois, duas bolas nos gânglios linfáticos começaram a aparecer à direita e um inchaço próximo à orelha pela bochecha. Com os dentes, em princípio, está tudo bem, não faz mal morder. Ele foi tratado com ciprofloxacino, os linfonodos voltaram ao normal. Mas depois de meio mês, bolas e inchaço apareceram novamente no ouvido. Fui ao ortopedista novamente - disse que estava tudo bem. Não há pus em lugar algum, a saliva é limpa. O que poderia ser? Talvez a mordida seja muito cara? E, no entanto, um dente vivo, no qual uma coroa semelhante foi instalada, começou a responder ao frio, ficou muito doente durante a viragem, embora o ortopedista tenha dito que a coroa a cobriria e não haveria reação.
Olá Normalmente, as coroas não devem responder ao frio. Se houver dentes vivos adjacentes por perto, vale a pena prestar atenção neles: talvez exista uma cárie ou um defeito não carioso (abrasão, erosão, etc.). Ao declarar o fato de que a reação está associada ao dente no qual a coroa está instalada, você deverá removê-la de acordo com as regras e remodelar tudo, pois isso não vale mais o seu tormento. Além disso, a pergunta é: onde um dente inteiro coberto passa irritante?
Quanto aos linfonodos, é mais complicado aqui. Se a droga antibacteriana ajudou, provavelmente houve uma infecção. No entanto, há momentos em que não está conectado aos dentes. Se, no entanto, esse problema vier dos dentes, será difícil descobrir o provocador: uma imagem panorâmica dá parcialmente respostas a perguntas ou tomografia computadorizada dos dentes (diagnóstico completo). Além disso, uma superestimação da oclusão é estresse para a articulação e, em princípio, o processo inflamatório na ATM pode ocorrer no contexto do microtrauma. Portanto, há muito mais perguntas do que respostas e diagnósticos são necessários. Entendo que essa pergunta é a principal para você, mas até agora só posso dizer que vale a pena procurar um dente vivo com destruição, ou remover a coroa e refazer o trabalho, se o dente com problema estiver embaixo da coroa.
Olá, Svyatoslav Gennadievich! Eles colocaram uma coroa de cerâmica no meu molar superior há cerca de 4 anos. Todo esse tempo o dente não se incomodou. Há vários dias, dores doloridas sob o dente, que são transmitidas aos dentes vizinhos e à cabeça. Eles fizeram um raio-x, um dentista aconselhou a retirar o dente ou removê-lo, e outro dentista sugeriu a limpeza dos bolsos deste e dos dentes vizinhos. Embora a inflamação não seja detectada na imagem, o nervo é removido e a inflamação da gengiva não é visível no exame. Por favor, informe o que devo fazer, pois realmente não quero remover a coroa. E onde devo levar um raio-x para um melhor diagnóstico? Agradecemos antecipadamente!
Olá Sim, é difícil dizer algo sem um instantâneo. Envie um instantâneo para o e-mail do site especificado na seção "Comentários" (o link para esta seção fica na parte inferior da página). Até agora, posso apenas assumir que o risco de um processo inflamatório infeccioso é extremamente alto.
Caro Svyatoslav Gennadievich! No meu lado direito, há pontes de metal com coroas fundidas: a superior está nas 14 e 17, a inferior está nas 44-45 e 48, e os oitavos dentes (18 e 48 sob a coroa) estão vivos. Recentemente, o lado direito estava muito doente, não dormiu a noite toda, mas não entendeu qual dente. A natureza da dor é semelhante à pulpite. No dia seguinte, tirei uma foto, depois a dor de dente desapareceu. Fotos enviadas por e-mail. É possível determinar qual foi a fonte de dor no quadro? Ou você precisa remover a ponte para diagnóstico?
Fotos tiradas. Eu concordo com suas suspeitas. Se as dores eram agudas e noturnas, mas não havia inchaço da gengiva (bochecha), primeiro há uma busca por um dente de pulpite ("vivo"). Sensação de que este é o dente inferior sob a coroa. Mas não há dados suficientes: se houve uma irradiação da dor e onde, nos irritantes, ao morder os dentes, etc.
As imagens ajudam apenas além do diagnóstico básico na cavidade oral. Depois de coletar a anamnese, eu verificaria o estado dos dentes: 1. As coroas se ajustam bem, alcançam as gengivas, especialmente em um dente "vivo"; 2. Verifique o frio: despeje uma corrente de água e, possivelmente, obtenha uma reação dolorosa que permita dizer: essa é a mesma dor; 3. Toque na coroa e em seguida: verifique se há uma reação periodontal.
Ou seja, na imagem nem sempre é possível determinar qual é a fonte da dor. Isto é especialmente verdade para os dentes "vivos", nos quais tudo está calmo na raiz. Somente os dentes mortos periodontais podem ter áreas de rarefação óssea nas fotos - manchas escuras.E, neste caso, tudo indica pulpite, pelas fotos não vejo vestígios de inflamação no topo das raízes. O preenchimento de dentes mortos não é ideal para você, é claro, mas esse não é um motivo para começar a suspeitar de dentes mortos, levando em consideração sua descrição.
Quase sempre é necessário remover a ponte se o dente causador estiver sob a coroa. Especialmente se a ponte for imperfeita após muitos anos. É inaceitável tratar a pulpite através da coroa, embora exista uma prática tão cruel. Se é difícil para um médico entender qual dente é a causa da dor, cabe a ele decidir sobre o risco de remover uma boa ponte. Isso é muito raro, mas acontece, embora você sempre possa encontrar um compromisso de Malomsky: no pior dos casos, observe o comportamento do dente e chegue no mesmo dia em que ele "atira" novamente. Isso é melhor do que tentar aleatoriamente. Um diagnóstico EDI é bom para verificar o dente do siso e você não pode verificar um dente vivo sob uma coroa sem removê-lo.
Olá, há um ano, coloquei a ponte imediatamente em toda a mandíbula. Tenho problemas com gengivas desde o nascimento. Agora toda a gengiva ficou muito inflamada - ela começou a tomar antibióticos. E agora um dente doía. A dor de dente pode ocorrer devido a doença gengival? Não remova a ponte inteira?
Olá Uma ponte não é feita sobre toda a mandíbula: você tem várias pontes ou chama uma ponte de dentadura. Minha resposta depende disso. Eu direi em termos gerais: a dor aguda quase sempre surge precisamente do dente, dentro do qual o processo inflamatório começou. Com a inflamação gengival no fundo da periodontite, pode haver dor dolorida + sangramento gengival, supuração, etc. Se você prescreveu antibióticos, esta é uma opção de tratamento sem saída e, com mais frequência, também é perigosa.
A dor de dente pode surgir devido à inflamação da gengiva, ou melhor, a periodontite severa geralmente leva a pulpite e periodontite do dente, uma vez que a flora microbiana penetra facilmente na margem gengival em direção à abertura da raiz apical. É melhor verificar o dente e o tecido circundante, ou seja, consulte seu dentista para obter ajuda. Mas quanto a remover a ponte ou não - depende do médico após um exame minucioso. Pessoalmente, minha opinião é: nesses casos, é mais aconselhável remover a ponte do que "perfurar" a coroa.
Olá. Diga-me, por favor. Um dente dói de cima, dá para o templo. Tanta dor quase a cada duas a três semanas. Ela mostrou ao dentista exatamente onde dói. Ela disse que já tratamos esse dente, limpamos os canais, precisamos fazer um raio-x. O raio X mostrou que não havia áreas escuras, mas o médico decidiu abri-lo de qualquer maneira, limpou tudo novamente e selou. Depois de uma semana e meia, a dor se repetiu. Uma dor de dente no mesmo lugar, comichão de alguma forma e novamente dando ao templo. No exame, ela bateu todos os outros dentes, não houve reação. O que é isso? A dor não permite uma vida normal. Ajuda por favor!
Olá Eu procuraria por um dente inferior, pois a dor no templo indica muitas vezes um problema nos dentes na mandíbula inferior. Se os dentes superiores forem verificados, mais você deve procurar o dente inferior no lado oposto. Muito provavelmente, grandes indígenas, em casos extremos - pequenos. Se o dente causador não for detectado nem mesmo pelas imagens, existe a opção EDI - eletroodontodiagnosis. Não está presente em todas as clínicas, mas vale a pena procurar, porque sem ela pode ser difícil encontrar um dente de pulpite. Suspeita-se que é você quem está preocupado com um dente “vivo” não identificado e que não é tratado anteriormente nos canais. Depois de verificar os dentes com EDI no estado normal da polpa de todos os dentes, vale a pena verificar novamente os canais dos dentes tratados, percussão etc. Depois de verificar cuidadosamente os dentes e não identificar o problema, permanecerá uma opção com neurite ou neuralgia, que duvido pessoalmente diante de seus sintomas.
Olá, instalei as 6 coroas superiores frontais há uma semana, o nervo foi removido em uma presa, mas agora, depois de quente ou frio, começa a doer, como se o nervo estivesse aberto. Mas a dor desaparece, o que poderia ser? Por favor me diga.
Olá Os dentes, mesmo com canais mal tratados, param de responder ao frio. Isso significa que você sente um dente "vivo". Muito provavelmente, ao lado da presa "morta". Quanto ao calor - se estamos falando sobre o aparecimento de dor tanto por frio quanto por calor, é mais perto de 100%, que é minha suposição. A dor passa rapidamente, já que provavelmente se trata de cárie ou aumento da sensibilidade do esmalte desgastado - isso deve ser cuidadosamente analisado e a fonte do problema diretamente na cadeira do dentista.
Olá Não tenho dois dentes da frente, dois viraram dentes saudáveis ao meu lado e o cermet foi colocado. Em geral, quatro dentes derretidos. Semana todas as dores sob as coroas, o que fazer? Tudo isso custa seis anos.
Olá Antes de remover as coroas, você precisa tirar fotos: e observe-as quanto tudo é "assustador", determine o dente causador (com mais frequência) ou os dentes (raramente). Depois de identificar o foco da infecção na imagem, o médico avaliará a causa e esboçará um plano de tratamento. Se o dente não puder mais ser salvo, será necessário removê-lo e uma nova prótese nos dentes restantes.
Às vezes também acontece que uma dor de dente dá aos dentes tratados (por exemplo, aqueles que estão sob as coroas). De qualquer forma, as fotos e um exame completo de todos os dentes na cadeira do médico ajudarão a encontrar o culpado e a não cometer erros no diagnóstico.
Boa tarde Eu tenho uma ponte, a mandíbula superior à esquerda. 7 e 4 - suportes, a ponte tem 4 anos. Recentemente, tenho sentido uma dor leve na região do 7º dente (diria mesmo, como se coça muito sob a coroa), parece que não responde ao frio e ao calor. Além disso, quando pressionada, a gengiva dói na área dos dentes artificiais (6, 5). Tirei uma foto (orto), não há inflamação, todos os canais são bem tratados. O que poderia ser?
Olá Eu recomendaria tirar uma foto objetiva do sétimo dente para avaliar mais detalhadamente a condição do periodonto e o nível de preenchimento dos canais, além de examinar cuidadosamente a condição da prótese examinando a cavidade oral. Se ele tiver encolhimento na direção da gengiva ou pressão sobre ela, a dor poderá ser causada por úlceras de pressão na gengiva. Na maioria das vezes, quando uma ponte falha, os dentes reagem. Em geral, você precisa verificar o 7º dente, a parte intermediária da ponte, sua possível mobilidade e a gengiva ao redor dos dentes - e isso é apenas o mínimo.
O fato é que você pode ser pego simplesmente por um dentista incompetente. É muito mais simples dizer que "tudo parece normal, não há motivo para dor" do que verificar a situação de maneira abrangente. Tente procurar uma consulta pessoalmente com outro médico - talvez isso ajude a esclarecer a verdadeira causa do problema.
Um dente caiu sob uma coroa, dói pressionar. Dentro de alguns dias, uma febre foi adicionada, dor no ouvido, na garganta, sob os olhos, dor de cabeça, espasmos na mandíbula. O período de ação dos analgésicos é mais curto.
Eles fizeram um raio-x, a raiz tem uma grande inflamação, um cisto. No topo, abaixo da guia, há uma área escura e escassa. Gravado para exclusão. O dente está morto, os canais foram refeitos na frente da coroa, mas não puderam chegar até o final, não retiraram o material dos recheios antigos (como o resorcinol). Mesmo assim, eles me desanimaram da coroa, se ofereceram para remover, mas eu a coloco em meu próprio risco e risco. Passou com uma coroa por 4 anos. E agora é tão ruim remover o dente. Perguntei sobre a ressecção - eles disseram que, com uma inflamação tão forte, não é mais possível. Também não há força para suportar.
Realmente não há saída?
Olá De acordo com a sua descrição e dada a condição de emergência, é melhor não puxar e remover esse dente (com um cisto grande). Não faz sentido aguentar isso e, em caso de dúvida, por algum motivo, é melhor recorrer a outras clínicas para 1-2 consultas em tempo integral, a fim de avaliar mais completamente a situação. Se os médicos disserem que precisam ser removidos com urgência, não hesite. Às vezes, é melhor remover um dente com um grande processo inflamatório do que tentar tratá-lo por um longo tempo e sem sucesso, com um resultado negativo e risco à saúde. Obrigado pela pergunta.
Olá Há 2,5 semanas, eles colocaram cermet em quase todos os dentes superiores. À direita, faltavam 2 e 3 dentes e fizeram uma ponte de 4 coroas. À esquerda, antes das próteses, fui tratado com 6 dentes ... Enchi os canais e imediatamente coloquei uma coroa! Eu fui ao médico com dor neste dente. Eles não tiraram uma foto e disseram que estava tudo bem. O médico limpou a cola e disse que o motivo era esse. Mas todos os meus dentes já doem sob as coroas e reagem ao frio, ao calor ... vivo de analgésicos! O que eu preciso exigir dos médicos? A clínica, a julgar pelos comentários, é decente.
Olá Somente dentes “vivos” podem reagir ao frio, e é improvável que os dentes agudos provocem muitos dentes ao mesmo tempo. É necessário procurar, na minha opinião, um dente não tratado nos canais, com fotos à mão. Não posso dizer agora que tipo de dente é: sob a coroa ou o que foi deixado sem coroa e tem um processo de cárie oculto.
Não puxe e viva com analgésicos: é importante encontrar a causa em tempo hábil, tratar o dente nos canais e, assim, economizar por muitos anos. Se a imagem mostrar que a coroa foi colocada em um dente não desenvolvido e dói, será necessário remover a ponte e fazer todo o trabalho nessa área novamente.
Quanto às avaliações sobre a clínica, os médicos são diferentes e as mãos de cada pessoa são definidas de forma diferente.
Você pergunta o que exigir dos médicos: é necessário encontrar um dente causador, pois parece pulpite. Se os médicos não conseguem lidar com isso, você precisa entrar em contato com outra clínica, onde eles podem ajudar na solução do problema. A busca por um dente causador muitas vezes não é tão simples, requer tempo, bons equipamentos (as mesmas imagens panorâmicas em um visiograph, EDI) e um alto nível de treinamento de um médico.
Olá novamente) Eu estava na clínica novamente. Duas mandíbulas já doem, e mesmo embaixo, onde não há dentes. Eles tiraram fotos de cada dente. Está tudo bem. O médico disse que suspeita que a articulação facial dói. Fiz uma pausa temporária e durmo algumas noites com ela! E, mais ou menos, há alívio. Nesse caso, preciso me tornar um protetor bucal permanente e, muitas vezes, ainda usá-lo. E em um futuro próximo para enfrentar a mandíbula inferior. O que você pode dizer sobre isso? Agradecemos antecipadamente!
Olá Se houver um alívio óbvio, especialmente em um caso clínico tão difícil como o seu, não será possível dizer mais nada aqui: use o remédio sugerido pelo médico. É possível que o problema esteja realmente relacionado à ATM, e o bocal traga alívio, pois alivia a articulação doente.
Caso o problema ainda persista, a busca pela causa deve continuar com o médico.
Boa tarde Há 4 dias eles colocaram uma coroa de plástico em um dente restaurado, ainda sinto desconforto quando pressionado, sinto essa coroa constantemente ... Será que esse desconforto durará muito?
Olá É necessário consultar um dentista para verificar as coroas quanto a mordidas grandes demais. O fato é que as coroas que foram fixadas (próteses fixas) geralmente se adaptam dentro de 1 a 2 dias, ou seja, tornam-se “parentes” no menor tempo possível. É o caso se não houver violações técnicas.Na maioria das vezes, o problema ocorre precisamente na mordida, um pouco menos frequentemente - no próprio dente tratado. Por exemplo, após a remoção do “nervo”, o dente brega continua a responder ao morder. Com certos erros ou imprecisões no tratamento de canais, o dente pode continuar sentindo quando morder mais de um mês. É por isso que é importante entender exatamente na cadeira do médico qual é a verdadeira razão. É possível que seja necessária uma imagem do dente para determinar a qualidade do tratamento endodôntico. É difícil determinar o momento do desconforto à revelia: tudo depende da causa. Se estamos falando de mordida excessiva, o problema será resolvido em um dia.
Olá, o problema é este ... Coloquei uma coroa no lado direito há 20 meses (a parte inferior, o penúltimo dente), da qual não me foi dito, ou talvez não me lembre. O custo foi de 17.000 (infelizmente não recebi os cheques). Mas acho que o médico deve conhecer o seu trabalho e espero que eu esteja incluído na revista eletrônica. Nós não concluímos um contrato com eles, o médico me disse em palavras que há uma garantia para esses procedimentos, não me lembro do termo. Sob minha coroa, tudo ficou preto sob o contorno gengival - ficou azul e inchado, é simplesmente impossível mastigar, e essa área em si é insuportavelmente dolorosa. Um médico deve consultar gratuitamente e, em geral, como é? Vou ter que remover a coroa?
Olá A julgar pela descrição, pode ser um problema diretamente com o dente (exacerbação da periodontite crônica) ou com o ajuste da coroa na borda do implante gengival.
Quanto à garantia - neste caso, quase 100% pode ser chamado de garantia. Outra questão é que a clínica poderia se proteger da possibilidade de compensação em caso de complicações. No entanto, uma boa clínica nunca negará a culpa do dentista ou, em casos extremos, encontrará uma opção de compromisso para que todos fiquem felizes. Nem um único médico está seguro de erros na fase de preparação e prótese, mas o quanto a clínica está pronta para a cooperação é uma questão. Para esclarecer a situação, é importante entrar em contato com a clínica para obter orientação. Muito provavelmente, será gratuito.
Definitivamente vale a pena tirar a coroa: pelo menos para tratar um dente, pelo menos para remodelar a coroa.
Olá, eu tenho um problema. Eles colocaram uma ponte sobre o dente do siso, coroa 7, 6 e 5. Depois de algum tempo, a gengiva incha e, é claro, a bochecha dentro da boca. Nada dói. Fiz um raio-x - a coroa do dente do siso, a impressão de um bolso, não ganha muito. Eu tenho medo de remover as coroas. É possível remover de alguma forma o tumor, ou nada pode ser feito? Obrigada
Olá. Há cerca de 6 anos, eles me instalaram coroas nos 5 e 6 superiores. E na 7ª ponte, eles adaptaram o cantilever. E tudo foi perfeito. 6 anos esta ponte não me incomodou. Mas uma vez em uma clínica particular e fazendo um raio-x geral de toda a mandíbula, recebi uma recomendação do médico para remover essa ponte e instalar implantes em seu lugar. Em toda a raiz 5 e 6, inflamação óbvia (nervos removidos). Hoje havia dor na bochecha e inchaço nas gengivas. Eles se recusam a treinar novamente, mas eu não quero implantes. Existem opções de tratamento menos traumáticas? Obrigada
Olá Recentemente (2 dias atrás) colocado em coroas para 3 dentes. Um deles se tornou sensível, e mesmo especificamente eu não posso comer. Ele não gosta de frio. É por causa do esmalte? O esmalte pode ser restaurado?
Olá Nesta situação, é importante entender com cuidado. O fato é que a causa do problema não é necessariamente os dentes que estão sob as coroas. Muitas vezes acontece que alguns dentes, não cobertos com uma coroa, têm um processo cariado oculto, ou esmalte sensível à brega, no contexto de uma limpeza excessiva (clareamento) da zona cervical. Você precisa saber exatamente em que condição os dentes “foram” sob as coroas: o “nervo” foi removido ou não.Se tudo estiver despolpado - 100% vale a pena procurar um dente causal que não esteja embaixo das coroas.
É importante que o esmalte dentário não "espreite" por baixo da coroa. Isso seria uma violação direta das próteses. Portanto, nem tudo é tão simples aqui, ou seja, de acordo com o seu caso, vale a pena entender com mais detalhes: da inspeção às imagens. Portanto, antes de decidir se restaura o esmalte, você deve descobrir qual dente específico leva ao problema e se houve uma violação técnica no trabalho do dentista ortopédico.
Olá Há um mês, eles colocaram uma coroa nos meus quatro dentes da frente. Não houve dor, mas não consegui morder por um mês. Há três dias, tentei mordê-los - e assim, três dias seguidos, uma dor que é impossível tocar. Liguei para o médico, prescrevi uma bebida nemisil, siprobel, flucoral! Este flucoral (leia as instruções) em geral de outra coisa, é assustador ler sobre essas feridas! Por favor, diga-me, estes medicamentos que foram prescritos ajudarão ou não ?! Dos quatro dentes, 1 foi preenchido, o segundo preenchido e aumentado, o terceiro vivo e o quarto removido. Agradecemos antecipadamente!
Olá Considero desnecessário a nomeação de Flucoral (um agente antifúngico). Em princípio, a adequação da prescrição de outros medicamentos também é questionável, pois há sinais de dentes mal tratados (nos canais) ou violação técnica durante o trabalho com um dente "vivo". Se a periodontite surgiu, essas dores são bastante compreensíveis, mas ainda tenho erros no preenchimento dos canais, pois a dor ao roer um dente imediatamente após o tratamento é o marcador mais óbvio desse problema.
Na maioria das vezes (especialmente para os dentes anteriores que são simples em termos de endodontia), estamos falando em remover o material de preenchimento além do ápice da raiz. Para dizer finalmente, você precisa olhar as fotos dos dentes com coroas. Se tudo estiver como eu suponho, talvez seja necessário retirar os dentes, pois as dores podem não desaparecer mesmo depois de seis meses (isso acontece de maneira diferente). Você precisa começar a resolver o problema com um diagnóstico competente, e tomar medicamentos na sua situação é mais uma distração do que um tratamento real.
Olá. Voltando ao seu site, recebi uma resposta para minha pergunta. Muito obrigada. Separadamente, gostaria de agradecer a Svyatoslav Gennadyevich por sua indiferença, competência e respostas detalhadas a todas as nossas perguntas "dolorosas" - apenas essas devem ser um médico de verdade. E nós já esquecemos disso!
Alienígenas do Consumidor
Olá Coloquei cermet nos dentes da frente e uma coroa de metal ao lado, e um dente dói sob essa coroa. Fui ao dentista - tirei uma foto, disse que havia um bolso. Ele tratou, isto é, removeu o nervo, encheu-o, mas o dente ainda dói. O dentista me disse que não vê razão. Mas, ao examinar o dente, vejo que a borda não está coberta pela gengiva e a coroa não passou por baixo da gengiva, mas já se passaram quatro meses. E desconforto nos cermets. Sensação como se os dentes estivessem estourando, depois queimando e depois doendo. Ela prescreveu um lisobato - ao que parece, ficou mais fácil, a sensação de estourar não se tornou, mas há desconforto.
Eles me colocaram a coroa de metal, certo? Por favor, informe.
Boa tarde Com uma queda de temperatura (frio-quente), senti desconforto na gengiva perto do 6º (coroa, canais mal tratados, o resto da agulha no canal - a coroa tem 5 anos, a agulha está no canal por 15 anos). Desde que voei para o exterior, não pude ir ao dentista. Durante 3 dias, a dor intensificou-se, todo o lado esquerdo do rosto, todos os nervos faciais doeram. Bebi, antibióticos não ajudaram, mas durmo bem à noite! Eu fiz um raio-x - tudo bem.Sinusite tratada (antibióticos IM, 7 dias), não ajudou. Eles encaminharam um neurologista, trataram a articulação, beberam sedativos e não ajudaram.
Estou atormentado por um mês, bebi tudo o que é possível, mas o lado esquerdo dói (parece que o dente está sob a coroa), e não há dor quando os dentes são tocados. Pergunta: quais devem ser minhas ações? Sem força para sofrer ainda mais! Obrigada
Olá Irina! De fato, os sintomas que você descreve ocorrem em doenças neurológicas. Nesta situação, eu aconselho você a fazer o seguinte. Primeiro, visite um neurologista e faça uma ressonância magnética da coluna cervical. Em segundo lugar, entre em contato com um dentista ortopédico para um exame detalhado, tomografia computadorizada do lado esquerdo da mandíbula e avaliação da condição dos dentes adjacentes. Talvez fique claro que é necessário remover a coroa.
Olá, tenho dores muito fortes sob as coroas. A mandíbula inteira parece doer, os comprimidos não ajudam. A ponte está em pé há 12 anos, provavelmente é hora de mudar. Até hoje, estava tudo bem, a primeira vez que uma dor (até escalar a parede). É cermet. Diga o que poderia ser? E depois de quanto tempo as coroas mudam, qual é a vida útil delas? Obrigada
Olá Lyudmila! A dor sob a coroa pode ocorrer por várias razões, e um diagnóstico completo é indispensável aqui. Por exemplo, gengivas podem ficar inflamadas. Ou o dente entrou em colapso devido ao processo de cárie tanto que a infecção penetrou na câmara pulpar. Ou havia inflamação na raiz do dente.
Seja como for, você deve consultar imediatamente um médico para um exame para fazer um diagnóstico. É possível que você precise remover o dente.
Quanto à vida útil das coroas de cerâmica e metal - é em média de 7 a 15 anos.
Sim! E quantos de nós ainda sofrem com a incompetência e a feiúra mental dos dentistas, quando você vê e sente claramente o problema, e eles lhe dizem que está tudo bem, toma algumas pílulas, se acostuma, etc. Deus, é claro, é o juiz deles! Mas quero, pelo meu dinheiro, desempenho de trabalho de alta qualidade e consciência!
Olá Três dias atrás, uma coroa em forma de ponte foi colocada (três dentes ao mesmo tempo). Um dente em cada 3 foi preenchido (o nervo foi removido). Os dentes não doem, mas não posso morder a comida - sinto dor ao morder, mascar comida do outro lado. Aguarde mais alguns dias (passará por si só) ou acionará o alarme?
Olá Natalya! Após o tratamento do canal e o preenchimento dentário, podem ser observadas sensações dolorosas, principalmente quando pressionado (mordendo) o dente. Normalmente, eles costumam passar sozinhos dentro de uma semana, e todos os dias a dor se torna cada vez menor. No entanto, se a dor não diminuir, consulte um médico. Para uma imagem completa nessas situações, é útil tirar uma foto (avistamento) de cada um dos dentes sob a ponte e verificar se há alguma alteração no ápice da raiz, o que pode indicar um processo inflamatório.
O lábio superior está fortemente inchado e a mandíbula superior está muito dolorida. A coroa voou do dente superior. Existem primeiros socorros? E então a noite inteira para esperar uma consulta no dentista.
Olá. A causa mais provável de edema é a inflamação no dente. Geralmente, nesses casos, analgésicos e enxágües são recomendados como medida de primeiros socorros (por falta de capacidade de consultar um dentista com urgência): 1 colher de chá de refrigerante em um copo de água à temperatura ambiente. Essa solução é mantida na boca por pelo menos 30 a 60 segundos. Você não pode aquecer o local problemático do lado de fora (pela bochecha) e também não come pratos e bebidas quentes. E o mais rápido possível - entre em contato com um médico com urgência para um exame para remover o processo inflamatório.
Olá 2 dias os dentes doem no lado esquerdo da mandíbula sob a ponte de metal e cerâmica. Vi nimesil, ciprolet e analgésicos, lavados com soluções de refrigerante, sal. A ponte custa 7 anos. Antes disso, não se incomodou.Dor ao morder, dá à orelha esquerda, inchaço sob a mandíbula inferior, há uma coceira na gengiva na mandíbula inferior no centro. A dor é insuportável. Tirei uma foto - há uma mancha escura na raiz do dente. É realmente necessário remover a ponte? Hoje é de 3 dias, um pouco mais fácil. Talvez algo mais para beber?
Olá Se houver um dente inflamado embaixo da ponte, na grande maioria dos casos você precisará remover, tratar o dente e fazer um novo design, caso contrário, você se arriscará a ter sérias complicações. Eu recomendo entrar em contato com seu médico o mais rápido possível para resolver a situação.