
Nos últimos 5 anos, o clareamento dental tornou-se um dos serviços odontológicos mais populares em muitos países do mundo. Na Rússia, criou raízes por um tempo relativamente longo, devido ao alto custo dos equipamentos e à baixa solvência da população; no entanto, nos últimos anos, esse procedimento também foi reconhecido em nosso país, como evidenciado por inúmeras revisões na Internet.
Nota
A propósito, nem todos os clientes estão entusiasmados com a eficácia e as conseqüências do clareamento dental (falaremos sobre os motivos disso abaixo). Além disso, existem histórias bastante deploráveis. Portanto, antes de tomar uma decisão final sobre a necessidade de um serviço desse tipo, você deve estudar a questão com mais detalhes, descobrindo se o procedimento de clareamento dos dentes realmente vale o dinheiro gasto com ele, o que acontece com os dentes e quais aspectos negativos estão adiantados tenha em mente.
Para começar, é útil saber que o clareamento dental é apenas uma das variedades de clareamento profissional de esmalte dentário (gabinete), durante o qual você pode clarear 12 tons ao mesmo tempo com um dentista.

O princípio do procedimento é bastante simples: um gel aplicado ao esmalte dentário contendo derivados de peróxido de hidrogênio (ou ele próprio) provoca uma reação química com a penetração simultânea de componentes ativos na espessura do esmalte escuro e uma lhama especial que emite luz especial é um catalisador eficaz para esse processo. É sob a influência da lâmpada que os pigmentos são oxidados mais rapidamente e mais ativamente dentro do esmalte que mancha o dente.
Portanto, o preço do clareamento dental está principalmente ligado ao equipamento para ativar o gel clareador. O resultado e a velocidade da clarificação do esmalte, bem como a segurança da cavidade oral e dos dentes, dependem amplamente das propriedades das lâmpadas (ou LEDs) utilizadas.


É interessante
Certamente você sabe que o peróxido de hidrogênio tem propriedades de clareamento bem definidas. Portanto, se o processo de branqueamento (de quase qualquer substância colorida) for realizado com exposição simultânea a lâmpadas ultravioletas ou apenas luminosas, a reação química, ou melhor, a fotoquímica, ocorrerá muito mais rapidamente, e muitas vezes sua profundidade também será maior (quanta de luz) contribuir para a liberação de oxigênio ativo dos peróxidos).
Aqui, de fato, essas propriedades catalíticas da luz são usadas na prática quando os dentes são clareados. Essa é a principal característica da tecnologia - o efeito de clareamento é alcançado muito mais rapidamente do que se o processo fosse conduzido da maneira antiga, sem o uso de luz das lâmpadas.
Clareamento dos dentes e suas variedades
Atualmente, quatro tipos de clareamento dos dentes são usados ativamente, dependendo do tipo de lâmpada utilizada:
- Ultravioleta;
- Halogênio;
- LED;
- Laser
Os designs de algumas lâmpadas incluem radiação de halogênio e LED. O clareamento ultravioleta dos dentes, popular há cerca de 5 a 7 anos, está gradualmente perdendo terreno devido à significativa geração de calor durante o procedimento, que ameaça o aquecimento do dente com o desenvolvimento, mesmo em casos graves, de pulpite. Mas o clareamento a laser, ao contrário, está se tornando cada vez mais popular.
É interessante
No entanto, ainda não é possível abandonar completamente a radiação ultravioleta na odontologia.Por exemplo, uma lâmpada com radiação ultravioleta no comprimento de onda de cerca de 450 nm é usada para curar os chamados recheios "leves". Isso causa aquecimento dos dentes? Claro, sim, mas o tempo médio de cura de uma camada de preenchimento é de apenas 15 a 20 segundos, enquanto no clareamento dos dentes, a irradiação ultravioleta é necessária por 10 a 15 minutos continuamente.
Se você tocar imediatamente o selo “light” com a língua após curar com uma lâmpada, notará que o selo aqueceu visivelmente (em grande parte devido à reação química que ocorre durante a cura). Se a técnica para trabalhar com o material for violada, por exemplo, quando uma camada muito espessa do preenchimento é aplicada ao dente e é irradiada por um longo tempo com uma lâmpada ultravioleta, ela pode ficar muito quente - até a queima térmica da polpa com a transição para a pulpite.
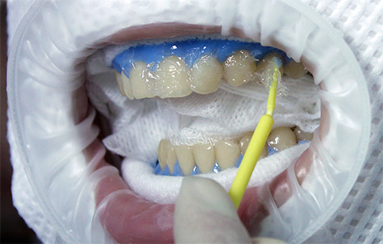
O clareamento dos dentes é realizado na consulta do dentista em várias etapas. Uma etapa preparatória para o próprio procedimento de fotodegradação é conduzir a higiene bucal profissional. Sem isso, nenhuma técnica de branqueamento pode ser iniciada. De um modo geral, a limpeza mecânica dos dentes da placa e da pedra também pode ser chamada condicionalmente de "clareamento" (mais precisamente, clareamento), uma vez que na maioria das pessoas após esse procedimento os dentes já ficam muito mais brilhantes.
Após a fase preparatória, o esmalte limpo dos depósitos dentários é avaliado de acordo com a escala padrão de tons de cor dos dentes e a cor inicial é fixada “antes do clareamento” e, em seguida, prossegue para a segunda etapa - o procedimento real de fotodegradação. Nesta fase, as membranas mucosas são cuidadosamente isoladas com meios especiais: os lábios e as bochechas são isolados com a ajuda de filmes especiais e guardanapos, e as gengivas são tratadas com compostos protetores (caixa líquida, que forma uma película protetora quando solidificada). Tudo isso é necessário para que o gel branqueador agressivo não cause queimaduras químicas nos tecidos moles.

Nota
Uma proteção tão completa dos tecidos moles da cavidade oral consiste em uma vantagem significativa do clareamento dos dentes do gabinete de métodos domésticos semelhantes - usando todos os tipos de lápis de clareamento, tiras de gel e boné. Muitas vezes, há críticas de pessoas que, após aplicar agentes de branqueamento em casa, posteriormente observaram uma imagem bastante terrível, quando os pedaços queimados das gengivas literalmente esfoliavam com trapos.
Na terceira etapa, um gel ativo é aplicado na superfície do esmalte da dentição e irradiado com uma lâmpada por 10 a 20 minutos. Após a remoção do gel, o resultado é avaliado em uma escala de cores e, se o resultado for insuficiente, o procedimento é repetido novamente. O principal critério para essa decisão é a correlação do efeito adicional da manipulação continuada com fatores de risco para o esmalte dos dentes (a cada procedimento, ocorre a desmineralização e a violação da estrutura natural).
Em média, todas as etapas do procedimento de fotodegradação duram cerca de uma hora. No caso de branqueamento insuficiente do esmalte, o processo pode ser repetido após cerca de uma semana.
Um clássico do gênero é o clareamento ultravioleta. No entanto, apesar da rápida obtenção do efeito clareador, existem muitas desvantagens nessa opção. Além do risco de superaquecimento dos dentes, também pode ocorrer queimadura dos lábios e da cavidade oral e, em caso de violação da técnica de trabalho, até hiperpigmentação (bronzeamento) do terço inferior da face. Em casos raros, o aparecimento de dermatite, atrofia da epiderme, bem como o desenvolvimento de tumores malignos.

Uma instalação de halogênio é um dispositivo cuja fonte de luz é uma lâmpada de halogênio (na verdade, é a mesma lâmpada incandescente, mas avançada que pode fornecer uma luz mais brilhante).
No caso do chamado clareamento dental por LED, LEDs bastante potentes são usados como fontes de luz (produzem luz fria intensa).
Com o clareamento dos dentes a laser, você não pode ter medo de que esse mesmo laser faça um furo nos dentes ou danifique o esmalte - o poder da radiação da luz nesse caso é muito menor do que o laser cirúrgico e seus análogos.
Principais benefícios sobre os métodos de clareamento caseiro
Mais em casa métodos de clareamento dos dentes significativamente inferior à fotodegradação do gabinete em termos de eficiência e segurança. Talvez o grupo mais duvidoso de produtos para clareamento doméstico seja o lápis, tiras e protetores bucais padrão que emitem luz, especialmente os fabricados na China.



A cada ano, mais e mais casos de queimaduras da mucosa oral são registrados com os componentes ativos de tiras e lápis, cuja exposição nas gengivas e membranas mucosas dos lábios (bochechas) pode chegar a 20 a 30 minutos e até horas - com o uso inadequado, será fornecida necrose dos tecidos moles durante esse período. A ocorrência de gengivite ou inflamação da gengiva marginal com o fenômeno de seu sangramento pode provocar até um agente clareador caseiro de alta qualidade, pois nem todos são capazes de instalar, aplicar, fixar, fixar os agentes clareadores e controlar o processo ao máximo. As consequências de tais experimentos podem ser diferentes, até a necessidade de cirurgia plástica da gengiva por um cirurgião-dentista.
Comentários
“Meus dentes eram naturalmente saudáveis, mas apenas amarelos. A namorada persuadiu a tentar clarear com tiras de clareamento, então persegui um sorriso branco como a neve. Ainda não encontrei tanto horror. Fiz tudo de acordo com as instruções, depois me sentei e senti uma sensação de queimação. E aqui está o resultado: como os dentes eram amarelos, eles permaneceram! Mas, por outro lado, ela queimou o chiclete, a pele ficou branca e começou a cair como restos. As almofadas nos dedos ficaram brancas. Portanto, não aconselho ninguém a estragar a saúde pelo dinheiro ... "
Catherine, Moscou
É por isso que o clareamento dos dentes do gabinete, apesar do uso de concentrações mais altas de peróxido de hidrogênio, é um procedimento mais seguro devido ao monitoramento cuidadoso de um especialista. Embora também não possa ser considerado absolutamente seguro, é claro - por causa do risco de uma violação grave da estrutura do esmalte durante o clareamento, que geralmente se manifesta por dores muito graves nos dentes.
Vantagens adicionais do clareamento dos dentes sobre os métodos domésticos:
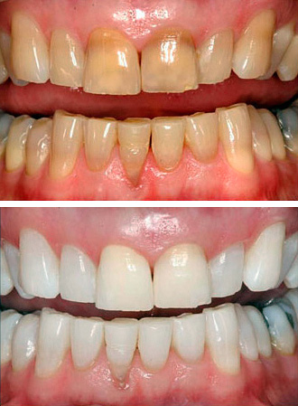
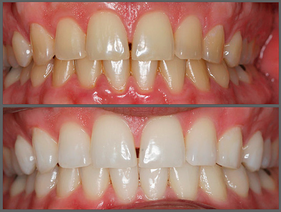
- Alta eficiência - você pode clarear o esmalte em 10 a 12 tons, enquanto que ao usar produtos de branqueamento para uso doméstico, você só pode sonhar com isso (veja o exemplo na foto abaixo);

- Alta velocidade de obtenção do efeito desejado - não é necessário gastar semanas no uso regular de meios ineficazes; basta ir a um especialista uma ou três vezes para obter o resultado desejado;
- A capacidade de eliminar imediatamente os efeitos colaterais do procedimento, em particular, aumenta a sensibilidade do esmalte. Isso é conseguido com a chamada terapia remineralizante - o esmalte é saturado com componentes minerais perdidos (cálcio, fósforo, flúor).
- A capacidade de eliminar simultaneamente a placa bacteriana e o tártaro, que geralmente têm um efeito muito positivo na situação geral de higiene da cavidade oral (menos bactérias, menos odor da boca, risco significativamente menor de doenças gengivais, etc.).
Vários especialistas identificam em um grupo separado os métodos de clareamento caseiro, com base em capas individuais fabricadas. Esse método de clareamento do esmalte é caracterizado por maior segurança: os componentes de clareamento do gel têm uma concentração mais baixa e são aplicados a um protetor bucal individual produzido a partir da impressão dental de um dentista. Ao mesmo tempo, apenas a superfície dos dentes é coberta, com riscos mínimos de vazamento do gel em direção às gengivas.

A principal desvantagem desse tipo de clareamento doméstico antes do clareamento fotográfico do gabinete é a velocidade reduzida para obter o máximo de resultados. Se levar cerca de uma hora para clarear os dentes de 5 a 7 ou mais tons usando o clareamento, então conseguir o mesmo resultado positivo com o uso doméstico da tampa do dentista só pode ser feito com a ajuda de 3-4 ou mais procedimentos, geralmente levando de uma a duas semanas.
Sistema de Clareamento ZOOM: Prós e Contras
O clareamento dos dentes usando o sistema Zoom foi desenvolvido pela Discus Dental, Inc. e hoje é um dos tipos mais populares de clareamento, nos quais lâmpadas halógenas e LED são usadas para ativar um gel especial.
O gel clareador aplicado à superfície do esmalte contém 32% de peróxido de hidrogênio (essa é uma concentração muito alta). Os componentes do gel penetram ativamente na camada superficial do esmalte e, graças à luz da lâmpada, as substâncias orgânicas que colorem o esmalte são descoloridas com eficiência e rapidez.

A eficácia dos dentes clareadores com foto usando o sistema Zoom pode chegar a 10 tons de uma só vez.
Vamos agora ver em que estágios o procedimento consiste:
- Antes do procedimento, é realizada a higiene bucal profissional acima mencionada: a placa e a pedra são limpas de todas as superfícies dos dentes.
- No segundo estágio, a mucosa oral é isolada com um material protetor especial.
- No terceiro estágio, a superfície dos dentes é tratada com um gel clareador e uma lâmpada especial é trazida para ativar seus componentes. Sob a influência da luz de uma lâmpada, o oxigênio ativo é liberado do gel, capaz de oxidar os pigmentos que mancham o esmalte. Um procedimento dura cerca de 15 minutos, mas, para obter resultados altos, pode demorar mais 2-3 sessões no mesmo dia.
- Após remover o gel clareador da superfície do esmalte, o dentista realiza sua fluorinação com compostos saturados contendo flúor. Como com outros tipos de fotodegradação, o médico alerta sobre a possível sensibilidade dos dentes, que podem durar vários dias, bem como sobre os métodos de prevenção e tratamento.
Após o clareamento dos dentes usando a tecnologia Zoom, uma dieta chamada “branca” é necessariamente prescrita: bebidas e produtos que podem manchar o esmalte dos dentes (vinho, chocolate, conhaque etc.) são excluídos e é estritamente proibido fumar.

As vantagens do clareamento dos dentes de acordo com o sistema Zoom:
- Alto efeito estético em apenas uma visita ao dentista (geralmente você pode clarear o esmalte em mais de 8 a 10 tons);
- Economizando tempo (uma sessão não dura mais de 1 hora);
- Efeito clareador duradouro, sujeito a uma dieta branca: de 1 a 2 anos e até mais;
- A relativa segurança do procedimento em si, sujeita a estrita adesão às instruções.
A foto abaixo mostra como os dentes podem parecer antes e depois do clareamento das fotos usando o método Zoom:

No entanto, também vale a pena mencionar as desvantagens dessa tecnologia:
- Preços altos pelo serviço;
- Grandes riscos de desenvolver uma sensibilidade aumentada do esmalte (especialmente em indivíduos que possuem esmalte inicialmente "fino" - veja a revisão abaixo);
- A necessidade de seguir uma dieta “branca” por vários anos (a propósito, poucas pessoas estão prontas na prática para recusar café ou cigarro para um sorriso branco como a neve);
- A necessidade de restauração obrigatória da estrutura do esmalte danificado com a ajuda de remineralizadores e medicamentos contendo flúor. E na maioria das vezes é necessário um tratamento de curso;
- Em casos raros, o efeito de dentes desbotados clareamento manchas.
Comentários
“Há um mês, fui a uma clínica paga em Moscou para tratar um par de molares, e eles me ofereceram para fazer fotobranqueamento. O médico foi tão cortês e agradável que eu não tinha dúvida de que tudo ficaria bem, bem, talvez apenas um pouco ... O procedimento durou cerca de 30 minutos. Ela levantou meus lábios e bochechas com alguma coisa de borracha, aplicou gel e começou a brilhar nos meus dentes com uma lâmpada.No final, comparamos os resultados antes e depois do clareamento, fiquei satisfeito com a cor, agradeci e saí. Era janeiro. Assim que tentei sorrir, fui atingida pela dor do ar frio, então vim para casa com a boca fechada.
Em suma, a sensibilidade ainda não passou, embora eu tenha escovado os dentes com pasta de flúor e enxaguado com uma ferramenta para dentes sensíveis. Mas, em geral, é possível suportar, e não há tanta dor aguda: se algo estiver muito frio, engulo ou começo a escovar os dentes com força. E estou muito satisfeito com a cor, é o que eu queria, pode-se dizer - Hollywood. Bem, a beleza provavelmente requer sacrifício.
Marina, Kazan
Contra-indicações para clareamento dos dentes
Do ponto de vista profissional, é aconselhável identificar contra-indicações absolutas e relativas à fotodegradação dos dentes. A primeira categoria refere-se aos casos em que o procedimento não é categoricamente possível, mesmo que o cliente realmente queira (ou queira um médico, do ponto de vista comercial) - para evitar causar sérios danos à saúde.

Estes incluem:
- Intolerância aos componentes dos agentes clareadores (alergia e suas formas graves: edema de Quincke, choque anafilático);
- Gravidez e período de alimentação;
- Abrasão patológica do esmalte, erosão severa, defeitos em forma de cunha. O clareamento fotográfico com lesões não cariosas dos dentes pode levar à persistente sensibilidade do esmalte, o que pode criar os pré-requisitos para a remoção da polpa ("nervo") de um grande número de dentes "inocentes";
- Tratamento ortodôntico. Ao corrigir uma mordida com a ajuda de sistemas de braquetes, o clareamento não é incorreto nem do ponto de vista da lógica (na maioria das vezes os bloqueios e placas são fixados na parte externa dos dentes), nem do ponto de vista de considerações médicas - após a remoção da estrutura, o esmalte será manchado.

Contra-indicações relativas para clareamento dos dentes:
- Idade de 18 anos. Do ponto de vista do senso comum, não é recomendado categoricamente branquear os dentes até 15 a 16 anos. Sob certas condições, o clareamento fotográfico pode ser realizado entre 16 e 17 anos de idade, mas levando em consideração as características individuais de uma pessoa;
- A presença de cárie no cliente e suas complicações (pulpite, periodontite), formas agudas de doença gengival. Nesses casos, o clareamento só pode ser realizado após a reabilitação da cavidade oral;
- A presença de um grande número de obturações nos dentes da frente ou a violação do ajuste da vedação. É possível realizar o clareamento se os recheios estiverem sem distúrbios, mas após o clareamento fotográfico eles parecerão muito mais escuros (como "adesivos") e com alta probabilidade, todos eles precisarão ser substituídos. Se o selo não aderir durante o procedimento de clareamento, podem ocorrer fortes dores nos dentes quando o gel penetra sob o selo, que é repleto mesmo de pulpite por drogas (porque se você não tomar medidas, o peróxido de hidrogênio inevitavelmente levará à necrose da polpa).

Comentários
“Fiz fotodegradação no ano passado na América. O esmalte que eu peguei do meu pai é forte, bom, mas amarelado. O procedimento foi indolor, sentou-se sob a lâmpada com a luz azul o mais confortável possível. O médico me avisou que nos primeiros dias pode haver desconforto nos dentes, mas não estava lá. O esmalte acabou sendo invulnerável ou a fluoretação dos dentes após o procedimento ajudou, mas não houve dor. O resultado me surpreendeu: os dentes tornaram-se da mesma cor branca da juventude. É verdade que essa cor durou apenas alguns meses, porque depois de 2-3 meses eu não aguentava mais e fazia todo o caminho (aniversário após aniversário): vinho, conhaque, bons charutos, cachimbo de água. Foi uma pena ver dentes amarelados novamente, então, alguns meses atrás, eu fiz um ZOO novamente, vou sentar em sucos claros, leite, água e arroz, mas é lindo. Isso, meus queridos, vale a pena.
Anna Maria, Moscou
Complicações após fotodegradação: quando ser paciente e quando consultar um médico o mais rápido possível
Deve-se entender que o clareamento dental é um procedimento cosmético mais na categoria de beleza e perfeição, mas não na medicina e na saúde. Vários especialistas geralmente igualam esse procedimento com aumento de mama, nariz, lábio, etc. correção, a lista continua.

Portanto, antes de se inscrever no clareamento dental (seja o que for mais moderno - usando LEDs ou até laser), você precisa consultar seus parentes e amigos, ouvir comentários de pessoas "experientes", avaliar os prós e os contras, ver os resultados "Antes" e "depois". E então tome uma decisão: vale a pena violar a estrutura natural natural do esmalte pela beleza do seu sorriso? ..
Se o desejo de beleza supera os riscos óbvios do procedimento, é importante estar preparado para possíveis complicações após a fotodegradação.
O primeiro lugar no ranking de complicações após o clareamento dental, como eloquentemente testemunhado por inúmeras revisões na Internet, é ocupado pelo aumento da sensibilidade dentária. Além disso, alguém só terá sorte de andar com uma sensibilidade dentária de frio, calor etc. por alguns dias, e alguns podem sentir uma dor aguda nos dentes diretamente na cadeira do dentista, sob a luz de uma lâmpada usada para ativar o gel clareador.
Se ocorrer uma dor muito intensa na cadeira do médico, faz sentido abandonar imediatamente mais sessões, devido ao fato de que isso não só se transformará em um dano consciente doloroso ao esmalte, mas também poderá criar pré-requisitos reais para a necessidade de remover a polpa de alguns dentes (por exemplo quando o gel penetra nos recheios antigos).
Após o procedimento de clareamento, o dentista realizará um curso de remineralização e (ou) fluorinação do esmalte e também prescreverá remédios caseiros para a prevenção e tratamento de dentes com hipersensibilidade: pastas, géis, etc. Nos casos em que a sensibilidade dolorosa não desaparece por mais de 4-5 dias, ou os dentes doem para a necessidade de analgésicos, é urgente consultar um dentista para obter ajuda.

Comentários
“Fiz isso com muito zoom hoje. Foram necessárias três sessões de 15 minutos cada, mas eu parei essa bacanal insalubre no início da segunda sessão, por volta do quinto minuto. Apenas disse ao médico para acompanhar meus dentes. Naquele momento foi terrivelmente doloroso, os dentes começaram a doer terrivelmente e a lamentar-se sob uma camada de gel. O dentista convenceu por muito tempo a continuar o procedimento, mas na próxima vez que tudo se acalmar. O coto está limpo, dê-lhe o dinheiro, mas ainda quero viver com os dentes. Portanto, não recomendo esse negócio a ninguém; é melhor tirar boas pastas de clareamento. Sim, esqueci-me de dizer sobre a cor: após essa foto-horror, os dentes ficaram claramente mais claros, mas a brancura era de alguma forma antinatural e até as falhas do esmalte se tornaram visíveis. Meu conselho pessoal: pense com cuidado antes de escalar a embreagem ... "
Olga, Krasnoyarsk
Outras possíveis complicações após o clareamento dental:
- O efeito de clareamento irregular (não homogêneo) dos dentes, ou seja, manchas. O clareamento heterogêneo do esmalte ocorre devido à atividade diferente dos componentes do gel clareador em diferentes áreas da superfície do dente.
- Os recheios dos dentes após o procedimento às vezes parecem manchas e podem precisar ser substituídos.
- Em casos raros, são possíveis queimaduras graves da mucosa oral e gengiva, principalmente a marginal. Se ocorrer hiperemia gengival após o clareamento, essas queimaduras de luz desaparecem sem tratamento. Em casos mais graves, mesmo o plástico de goma e sua longa recuperação podem ser necessários.
Com violações graves da tecnologia e o uso de qualidade duvidosa dos agentes de branqueamento, é possível ferimentos graves no esmalte, até os chips imediatamente após o procedimento.O resultado disso pode ser não apenas um defeito estético, mas também dores intoleráveis, cujo alívio é possível apenas após o tratamento dentário com obturação ou mesmo após a extração preliminar do "nervo" do canal.
Custo de clareamento dos dentes
O preço do procedimento de clareamento dos dentes é formado levando em consideração os seguintes fatores:
- O custo do equipamento e materiais utilizados. No momento, mesmo a compra de consumíveis (géis branqueadores, materiais isolantes, medicamentos fluorinantes etc.), levando em consideração que quase 100% são medicamentos importados, voa um centavo em qualquer clínica e, portanto, o preço é adequado. Em outras palavras, o preço será bastante alto.

- A classificação da clínica e o custo associado à sua promoção. Não vale a pena explicar que, quanto mais a clínica gastar dinheiro com seu nome, maior será o custo de seus serviços, inclusive para o clareamento dos dentes.
- Qualificação e profissionalismo dos especialistas que atuam na clínica. Devido ao alto nível de conhecimento, habilidades e domínio (adquiridos através de muito trabalho), o dentista pode minimizar os riscos e tornar o procedimento de clareamento confortável para o cliente e o mais seguro possível. Além disso, não esqueça que apenas um médico interessado em preservar a saúde do paciente poderá selecionar individualmente métodos alternativos de clareamento para tornar um sorriso mais bonito (facetas, luminárias), para melhorar os índices de cores do esmalte sem causar danos a ela se o clareamento dos dentes for estritamente contra-indicado . Só para isso você tem que pagar um bom dinheiro.
Hoje, em média, o custo do clareamento dentário está na faixa de 6-8 a 20-25 mil rublos, dependendo da clínica.
Vídeo interessante sobre o sistema de clareamento de dentes Zoom Zoom
Um especialista nas importantes nuances dos procedimentos de clareamento e clareamento dos dentes




Diga-me, com que idade os dentes podem ser clareados? Eu tenho 16 anos Os dentes estão escuros. E será possível branquear eles?
Olá Kira. Geralmente, não é recomendável recorrer ao clareamento químico antes dos 21 anos de idade. Em geral, o número de procedimentos dependerá da cor inicial dos dentes e do nível desejado de brancura. O momento do efeito do procedimento depende das características individuais do corpo, dieta (café, vinho, chá) e presença de maus hábitos (tabagismo).
Olá, depois de uma pulpite no dente da frente (há cerca de 5 anos), o dente ficou amarelo com o tempo. Ou seja, agora não há nervo no dente, o canal está selado e o dente ficou amarelo. Posso branquear de alguma forma agora?
Olá, Hope. Primeiro, é necessário realizar diagnósticos de raio-x para a qualidade do canal selado. E depois disso, o médico poderá realizar o clareamento (pode ser, inclusive, o clareamento endodôntico).