
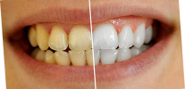
De um modo geral, todos os métodos de clareamento dos dentes podem ser divididos em dois grandes grupos: profissional e doméstico. Além disso, esses últimos se tornaram muito populares hoje em dia, já que poucas pessoas gostam de ir ao dentista mais uma vez, mesmo que ele não vá perfurar nada para você e, além disso, arrancá-lo.
No entanto, antes de iniciar sua jornada para um sorriso branco como a neve, será útil primeiro descobrir que tipos de clareamento dental existem hoje, como eles diferem em princípio e qual é o mais eficaz. Além disso, na busca da eficácia, não devemos esquecer que muitos tipos de clareamento dental têm um efeito muito negativo sobre a condição do esmalte dentário - e isso também precisa ser conhecido com antecedência.
Portanto, se você já estava planejando esfregar algo nos dentes, esfregar em algo ou polvilhá-lo com peróxido de hidrogênio, sugerimos adiar suas experiências químicas por um tempo e abordar o problema de forma mais sistemática.

Nota
Atualmente, são escutados tipos de clareamento de dentes como mecânicos, ultrassônicos, laser, clareamento fotográfico, intra-canal, além de clareamento com lápis, capas, tiras especiais etc. Pode parecer para uma pessoa despreparada que as maneiras de clarear o esmalte são muito e que entender tudo isso é muito difícil.
De fato, tudo é bastante simples - todos esses métodos de clareamento dos dentes são inerentemente divididos em químico e mecânico.
O clareamento químico dos dentes é, em termos simples, a destruição de compostos orgânicos coloridos no interior do esmalte usando substâncias especiais. Nesses casos, é sempre necessário um agente químico que possa destruir e descolorir os pigmentos (por exemplo, oxidá-los) que aparecem na camada superficial do esmalte dos dentes ao longo de muitos anos de tabagismo, abuso de café, chá forte, vinho tinto etc.
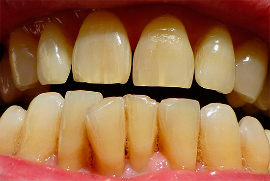
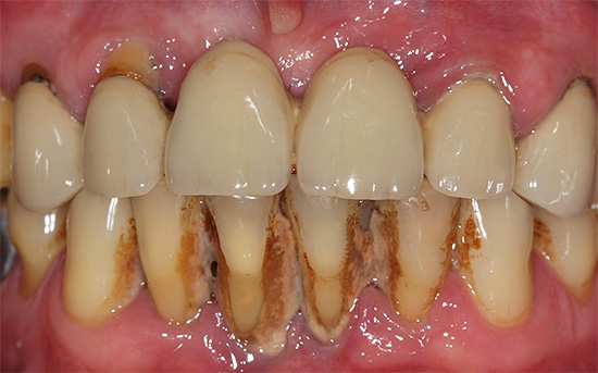
O clareamento mecânico dos dentes é, de fato, a higiene bucal profissional, que muitos dentistas nem sequer consideram o clareamento (embora o procedimento dê um efeito visual muito pronunciado). Imagine dentes brancos e saudáveis, mas revestidos com tártaro marrom e placa manchada. Com a remoção mecânica de todos esses depósitos indesejados, uma pessoa pode brilhar com um sorriso branco como a neve novamente - mas ninguém realmente branqueava os dentes (esmalte) ao mesmo tempo.
A higiene ocupacional pode incluir clareamento ultrassônico de dentes usando dispositivos e raspadores especiais, escovar os dentes com Air-Flow e remover a placa com pastas especiais. O benefício da escovação profissional para uma pessoa comum é que dois pássaros com uma cajadada podem ser mortos ao mesmo tempo por um preço relativamente baixo: salvar dentes de pedras e placas traumáticas da gengiva, o que cria riscos de cárie e, ao mesmo tempo, "clarear" os dentes com um tom ou mais, sem afetar diretamente os dentes internos. estruturas de esmalte.
Clareamento mecânico de dentes: princípio de operação
Como já observado acima, o clareamento mecânico dos dentes é uma maneira de aliviá-los, removendo os depósitos dentários (pedras, placas), o que acaba levando ao retorno da cor natural natural dos dentes.
Freqüentemente, as pessoas que durante anos cresceram com os dentes, “placa do fumante”, “amante do café”, além de conglomerados de pedras (na maioria das vezes nos dentes anteriores inferiores) há muito que esquecem como os dentes limpos devem parecer normais. Mas, nesses casos, é necessário não procurar lápis ou tiras contendo peróxido para clarear os dentes, mas se concentrar principalmente na higiene bucal profissional - isso proporcionará um efeito muito maior.

Nota
Entre os métodos mecânicos de clareamento dental, o mais comum atualmente é o clareamento ultrassônico. Apesar do uso ativo dos dispositivos Air-Flow para escovação de dentes profissional, ainda não é possível substituir completamente o ultrassom. Isso se deve ao fato de o dispositivo Air-Flow não remover o tártaro, apesar de afetar parcialmente o seu "afrouxamento".
Uma propriedade importante do clareamento mecânico é a segurança relativa do esmalte dentário, afinal, o efeito principal é realizado não no esmalte, mas nos depósitos localizados em sua superfície.
No entanto, muitas vezes existem casos em que, após a execução do procedimento apropriado, podem aparecer consequências bastante desagradáveis. Devido ao fato de a remoção do tártaro e da placa bacteriana ser freqüentemente realizada em um contexto de doenças periodontais (por exemplo, periodontite), após o término do procedimento, as áreas cervicais dos dentes ficam praticamente desprotegidas. Antes disso, as pedras os salvavam de todos os tipos de substâncias irritantes e, após sua remoção, o colo dos dentes começa a responder com dor ao frio, calor etc. (Isso é confirmado por inúmeras revisões na Internet).

Esse problema geralmente é resolvido por um periodontista que trata a doença subjacente e simultaneamente remineraliza e fluoriniza profundamente o esmalte hipersensível e (em alguns casos) o cimento radicular.
A seguir, falaremos sobre o uso dos chamados cremes dentais clareadores, sistemas abrasivos que, quando mal utilizados, podem causar danos consideráveis aos dentes devido à abrasão mecânica do esmalte.
Quando é realmente necessário o clareamento dos dentes e quando é redundante?
Como mostra a prática, de 10 pessoas que vão ao dentista para um procedimento de clareamento dos dentes, apenas cerca de 6-7 delas serão realmente adequadas e, no restante, serão ineficazes (já que o esmalte já está próximo da tonalidade natural), ou extremamente inseguro.
Casos em que o clareamento será eficaz:
- A presença de placa e placa dental;
- Mudança de tonalidade do esmalte devido à idade;
- Coloração adquirida dos tecidos dos dentes duros em amarelo ou marrom.
Difícil de clarear:
- Violação congênita da cor do esmalte (por exemplo, os chamados dentes de tetraciclina);
- Coloração cinza;
- Mudança de cor da dentina nua.
A coloração no fundo da placa e do tártaro é eliminada por tipos mecânicos de clareamento e "interna" - por produtos químicos.
Clareamento ultra-sônico
O clareamento mecânico dos dentes com ultra-som permite remover o tártaro supra e subgengival de todas as superfícies dos dentes usando dispositivos e raspadores ultrassônicos. Além disso, o branqueamento ultrassônico permite limpar a chamada “placa do fumante”, que é quase impossível de remover com escovas domésticas ou profissionais.

Devido a vibrações ultrassônicas no final de uma ponta especial, ocorre a destruição mecânica da estrutura da placa e da pedra, bem como o seu "desprendimento" da superfície do esmalte. Sujeito às instruções básicas de higiene bucal profissional, o esmalte não é lesionado pelo ultrassom e, geralmente, não há conseqüências negativas desse tipo de clareamento.
Ao realizar a limpeza ultrassônica dos dentes pela ponta, é fornecida água ao dente: isso é necessário para garantir a segurança e a eficácia do procedimento. A água ajuda a evitar o superaquecimento dos dentes (isso levaria à necrose pulpar) e também cria fluxos de vórtice devido aos movimentos oscilatórios da ponta, o que melhora o descolamento de tártaro e placa.


É interessante
Para o branqueamento dentário mecânico doméstico, uma escova de dentes ultrassônica é bastante adequada. O princípio de sua ação é aproximadamente o mesmo que no caso do método de clareamento ultrassônico, mas não oferece oportunidades tão amplas quanto na cadeira do dentista.
O poder das vibrações ultrassônicas nessas escovas é reduzido - adaptado para uso doméstico seguro. Como resultado, uma escova de dentes ultra-sônica permite, embora de maneira suave, remover a placa com eficácia suficiente. No entanto, deve-se ter em mente que esses pincéis não são recomendados para pessoas com marca-passo, nem para mulheres grávidas. Seu uso é limitado na presença de aparelhos, facetas, coroas e também um grande número de obturações na cavidade bucal (devido ao possível risco de "deslocá-las" com vibrações ultrassônicas).
Tecnologia de fluxo de ar
A essência da tecnologia Air-Flow é o impacto mecânico em um objeto (superfície do dente) de um fluxo de ar, água e bicarbonato de sódio comum, liberado sob alta pressão. Assim, dentro do aparelho Air-Flow, há bicarbonato de sódio em pó (bicarbonato de sódio comum, que neste caso é usado como abrasivo) e canais de água-ar.

A mistura de água e refrigerante ocorre mais perto da parte de trabalho (ponta) do aparelho. O dispositivo é fixado no conector da unidade da unidade odontológica e, sob alta pressão, a água misturada com o pó é ejetada na superfície do esmalte do dente, limpando até a placa mais densa em segundos.
A conveniência do clareamento dos dentes com o Air-Flow reside não apenas na velocidade de processamento de um dente, mas também na qualidade desse processamento. O jato, liberado da ponta do aparelho, penetra facilmente mesmo em espaços estreitos entre os dentes, limpa a placa sob a gengiva, efetivamente limpa os dentes sob estruturas, por exemplo, sob suspensórios.
Como resultado, em cerca de 30-40 minutos você pode limpar os dentes da placa de sua cor natural natural.

No entanto, se você deseja clarear os dentes com o Air-Flow, lembre-se de que, comparada ao ultrassom, essa tecnologia reduziu a eficácia contra o tártaro. Além disso, com a retenção prolongada da ponta do aparelho perto de um dente (mais de 3-4 segundos), é possível não apenas o polimento do esmalte, mas também a aparência de sua sensibilidade após o procedimento.
Métodos mecânicos adicionais para clarificação do esmalte
Os métodos caseiros de clareamento mecânico de dentes são talvez os mais populares atualmente entre a população, mas, ao mesmo tempo, não são os mais confiáveis e até mesmo perigosos para a saúde dos dentes.
Na maioria das vezes, para tornar os dentes mais brancos, as pessoas tentam usar os chamados cremes dentais branqueadores. Isso se deve ao fato de que essa ideia é muito atraente - você escova os dentes e eles se tornam cada vez mais brancos todos os dias ...
Ao mesmo tempo, muitos nem pensam que os pós abrasivos são introduzidos na maioria dessas pastas como um componente ativo, que realmente limpa ativamente a placa, mas ao longo do caminho eles podem prejudicar seriamente a estrutura do esmalte (eles simplesmente apagam esse esmalte gradualmente).

O uso prolongado e descontrolado de pastas de clareamento com alto efeito abrasivo quase sempre leva ao aumento da sensibilidade dos dentes e até à aparência de áreas de esmalte quebrado na forma de recessos. Sua localização geralmente está localizada na região cervical do dente.
É interessante
O índice de abrasividade de cremes dentais é caracterizado por um índice especial - RDA. Por exemplo, para pastas comuns para uso diário, esse indicador pode ter os seguintes valores: cerca de 20 - para bebês, 45 - para crianças em idade escolar, 65 - para adultos com dentes sensíveis. Uma RDA de 75-150 é característica para branquear cremes dentais com abrasividade média e acima de 150 já são pastas altamente abrasivas.
No mercado de cremes dentais, você pode encontrar cremes branqueadores (por exemplo, cremes dentais da Tailândia), em que esse indicador não é indicado e sua composição inclui argila quase comum. Mesmo o uso não muito prolongado dessas pastas pode ter um efeito muito prejudicial no esmalte dos dentes.

A partir de uma análise dos resultados de pesquisas sobre cremes dentais branqueadores e até mesmo da leitura de opiniões de pessoas comuns, podemos concluir que os cremes dentais branqueadores à base de abrasivos podem ajudar a lidar com placas moles e até duras, mas ao mesmo tempo também podem estragar o esmalte dentário .
Os cremes dentais clareadores à base de produtos químicos (por exemplo, enzimas) não afetam a placa densa com a força que o clareamento real exige, o que significa que o resultado é duvidoso. No entanto, existem muitos defensores desse tipo de pasta que observam o efeito clareador (mas isso não leva em conta o fato de que os fabricantes costumam adicionar substâncias abrasivas para ajudar as pessoas a lidar com a placa usando o “atrito” usual) e a presença de vários exóticos na receita. nesse caso, a pasta acaba sendo apenas uma jogada de marketing).
Atualmente, existem muitos adeptos do clareamento dos dentes com uma escova com cerdas duras. O princípio é tão simples quanto o de uma pasta de dente branqueadora clássica: aumentar a eficiência da remoção não apenas da placa mole dos dentes, mas também da chamada “placa do fumante”. Como resultado do uso prolongado dessa escova (mesmo sem uma pasta de dente branqueadora), às vezes os dentes ficam realmente mais brancos e também mais sensíveis a todos os tipos de substâncias irritantes (frio, quente) e, além disso, mais frágeis.

Portanto, os dentistas geralmente encontram em tais experimentadores na região cervical das áreas de abrasão patológica dos dentes (defeitos em forma de cunha). É difícil imaginar o que acontecerá com esse dente em alguns meses, se adicionarmos creme dental branqueador com alto grau de abrasividade a uma escova de dentes com cerdas duras ...
Clareamento químico com diferentes sistemas: prós e contras
O branqueamento químico dos sistemas populares existentes pode ser dividido em profissional e doméstico. O clareamento profissional (de outra forma - em gabinete) tem um bom efeito de clareamento devido às altas concentrações de peróxido de hidrogênio ou seus derivados, que são os componentes ativos dos géis aplicados na superfície do dente.

As modernas tecnologias para clareamento químico de dentes também envolvem o uso de ativadores que iniciam a decomposição de peróxidos com a liberação de oxigênio ativo. Pode ser:
- Calor;
- Radiação ultravioleta;
- Radiação laser
etc. O uso de ativadores aumenta o efeito clareador e também reduz o tempo gasto por compostos agressivos na cavidade oral.
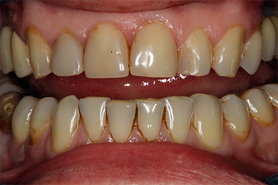
A principal vantagem do clareamento do gabinete (por qualquer sistema) é a obtenção de uma brancura pronunciada dos dentes em mais de 70-80% dos casos, além disso, em uma visita. Em certas situações, você pode clarear os dentes não meio tom e nem tom, mas imediatamente 5-7 tons em uma escala de cores.

A principal desvantagem desse tipo de clareamento é o dano causado ao esmalte, que, no entanto, pode ser minimizado pela remineralização e fluoretação dos dentes após o procedimento (mas também pode se tornar uma das principais causas de tormento e sofrimento no futuro). A violação das propriedades protetoras do esmalte durante o clareamento químico dos dentes é atualmente um dos principais problemas que os cientistas ainda estão tentando resolver.
Como o clareamento profissional de dentes é diferente de casa?
Em primeiro lugar, a concentração da substância branqueadora nos tipos profissionais de branqueamento é muito maior (geralmente 30-35%). Concentração "Home" - não mais que 10-15%. Isso se deve ao fato de que, na consulta do dentista, há mais opções para proteger as gengivas e a mucosa oral de substâncias agressivas.
Em segundo lugar, o resultado real do clareamento profissional pode ser obtido muito mais rapidamente (com mais frequência em uma visita), e os métodos domésticos (por exemplo, usar boné) podem se arrastar por 2 ou mais semanas.
Em terceiro lugar, tipos profissionais de clareamento geralmente envolvem ativação adicional da reação química com dispositivos baseados em laser, radiação ultravioleta, etc. - para alcançar o efeito mais pronunciado, rápido e seguro.
Os tratamentos de clareamento caseiro controlados por dentistas são baseados no seguinte princípio de ação:
- componentes ácidos especiais gravam o esmalte para garantir maior porosidade e permeabilidade;
- e o peróxido de hidrogênio (ou seu derivado) descolora compostos coloridos nos poros do esmalte, como resultado do qual ocorre um raio.
Para a segurança desse tipo de clareamento, os dentistas fazem protetores bucais individuais para o paciente de acordo com os moldes, para que durante o procedimento em casa o gel esteja nos dentes, reduzindo o risco de queimaduras nas gengivas.


A vantagem mais importante é a redução do dano ao esmalte (em comparação com o clareamento dos dentes do gabinete), e o sinal de menos é um indicador de clareamento insignificante, embora esses métodos sejam bastante adequados como procedimento de fixação.
O clareamento caseiro profissional e controlado não pode ser realizado se houver dentes cariados na boca, obturações velhas e inadequadas, placa e pedra, bem como com sangramento severo das gengivas no contexto de sua inflamação na periodontite. Nesses casos, é aconselhável reorganizar (tratar) primeiro as lesões de cárie e substituir os recheios pelo dentista, realizar higiene bucal profissional com a remoção do tártaro e da placa e transferir periodontite para o estágio de remissão persistente por um especialista em doenças da gengiva e mucosa oral - o dentista periodontista e só então pense no clareamento dos dentes.

É interessante
Como parte dos cremes dentais clareadores "avançados", você pode encontrar peróxido de carbamida ou até mesmo H2O2: parece que esta é a solução ideal quando o composto peróxido ilumina o esmalte diretamente ao escovar os dentes. Ou seja, a idéia é não apenas lavar a placa do esmalte, mas também descolorir as substâncias coloridas indesejáveis contidas no próprio esmalte.
Bem, usando essas pastas, você deve considerar essa nuance. Mesmo para o clareamento químico doméstico dos dentes com a ajuda de gotas (cujo efeito geralmente é mínimo), muitas vezes são usadas concentrações mais altas de compostos de peróxido do que em tais pastas. Além disso, nessas pastas não há ácidos fortes que preparem o esmalte para o procedimento e criem um ambiente de baixo pH necessário para a manifestação das propriedades oxidantes máximas pelo peróxido.
Mas quão boa é a ideia (e publicidade) ...

Métodos de clareamento químico caseiro
Além do branqueamento controlado dos dentes em casa usando sistemas de clareamento adaptados, também existem opções "amadoras" para a implementação de um procedimento semelhante: tiras de clareamento, lápis, protetores bucais, etc.
Lápis de clareamento
Um lápis de clareamento é um tubo com uma preparação de branqueamento e para aplicar o núcleo do próprio lápis, feito na forma de pincel, pincel ou esponja. A concentração de peróxido de hidrogênio na composição é insignificante - 5-15%, mas isso é suficiente para causar queimaduras químicas nas membranas mucosas da cavidade oral, se a segurança da aplicação não for seguida.

Cada pessoa tem características individuais da estrutura do esmalte e da dentina, razão pela qual é impossível prever com precisão quando exatamente as conseqüências indesejáveis da interação do peróxido de hidrogênio com os tecidos dos dentes aparecerão na forma de maior sensibilidade dos dentes (e se eles se manifestarão). Isso pode acontecer após 1-2 procedimentos e, em alguns casos, após 2 ou mais semanas.
O princípio do uso de lápis de clareamento é simples - para fazer isso:
- lave a boca;
- limpe os dentes com um guardanapo;
- aplicar gel;
- sente-se com a boca aberta por cerca de 1 a 10 minutos (dependendo do tipo de lápis de clareamento - o tempo necessário é indicado nas instruções de uso);
- depois lave o gel com água.

Como regra, a duração do curso é de até 2 semanas (2 vezes por dia). Além disso, o resultado pode ser determinado não apenas pela eficácia do medicamento utilizado, mas também pela presença de maus hábitos em uma pessoa (por exemplo, tabagismo, consumo frequente de café forte).
Tiras de clareamento
As chamadas tiras de clareamento são tiras de polietileno com uma camada de uma composição especial, geralmente contendo de 6 a 10% de peróxido de hidrogênio. Ou seja, como você já entendeu, esse tipo de clareamento dental também é químico.

Tiras para os dentes superiores e inferiores são geralmente oferecidas no kit. O princípio das tiras de clareamento caseiro é que elas são pressionadas nos dentes por cerca de 30 minutos - nesse momento ocorrem reações químicas, levando à descoloração gradual dos compostos coloridos presentes no esmalte.
Normalmente, os fabricantes recomendam o uso de tiras 2 vezes ao dia por 1-2 semanas. Os efeitos colaterais são os mesmos dos lápis de clareamento: o risco de queimaduras na mucosa e o desenvolvimento de maior sensibilidade dos dentes.

O efeito das tiras de branqueamento pode não ocorrer: nem em sete dias nem em duas semanas, e a sensibilidade, de acordo com inúmeras análises em fóruns na Internet, chega a cada terço. Além disso, muitas vezes se manifesta nem mesmo com dores do frio e do calor, mas na forma de dores penetrantes no dente enquanto segura a tira - mas as pessoas ainda sofrem.
Comentários:
“Sou apaixonado por café e chá, então, quando li opiniões na Internet sobre o clareamento de tiras milagrosas, como um tolo, corri para comprá-las em uma loja on-line. Como resultado, comprei um kit Crest Whitestrips 3D White. Estava claramente escrito lá que eles são perfeitos mesmo para dentes sensíveis, e meus dentes não eram muito sensíveis, então eu pensei que eles definitivamente se encaixavam.
Depois da primeira vez que coloquei essas tiras nos dentes e a tirei, parecia que o sorriso havia se tornado um pouco mais branco, mas não havia dor nenhuma. No segundo dia, coloquei-os novamente nos dentes, de acordo com as instruções por meia hora. Quando tirei a tira, quase desmaiei: um chiclete realmente caiu sobre o dente da frente. Como uma pele de salsicha, a pele enrugou e se afastou em uma camada grossa.
Quando eu corri para o dentista com esse problema para esclarecimento, ela me explicou que se tratava de uma queimadura química grave das gengivas, já que o gel da tira de alguma forma conseguiu penetrar nela. Como o médico me explicou, esses casos com tiras e lápis de clareamento em casa não são incomuns. Como a raiz do meu dente foi exposta, ela me aconselhou a fazer reparos nas gengivas no valor de 8.000 rublos! E o que você acha, pessoal, vale a pena arriscar seu chiclete, para que depois você possa despejar tanto?
Ksenia, Moscow
Clareamento dental (ZOOM): vantagens e desvantagens
O clareamento dos dentes é uma tecnologia de clareamento químico da sala, mas com a ativação do processo com luz ultravioleta. É também chamada de técnica ZOOM ou clareamento "frio" dos dentes.
Com o clareamento "frio", um gel à base de peróxido de hidrogênio é aplicado à superfície dos dentes e é ativado por uma lâmpada ultravioleta, halógena ou LED. A concentração de peróxido é geralmente bastante alta, uma média de 25-35%.

O clareamento fotográfico é um dos métodos mais eficazes, pois sua tecnologia visa especificamente melhorar os resultados e reduzir a sensibilidade dentária (reduzindo o tempo de exposição). A emissão de luz permite:
- aumentar a taxa de decomposição de compostos peróxidos com a liberação de oxigênio ativo (que de fato desempenha um papel fundamental na descoloração de substâncias coloridas);
- permite reduzir o tempo de exposição do gel, o que, por sua vez, reduz seu efeito negativo no esmalte.
Depois de dividir os pigmentos orgânicos contidos no esmalte, torna-se visivelmente mais branco. No entanto, em alguns casos, um procedimento pode não ser suficiente.
Após a fotodegradação (ZOOM), que pode durar de 30 minutos a 1 hora, os dentes são fluorados para evitar sua sensibilidade.
Nota
Apesar da crença generalizada de que o zoom é um dos tipos mais suaves de clareamento dos dentes, não se deve esquecer o ponto importante: em muitos aspectos, devido à alta agressividade dos compostos utilizados, os dentistas tentam minimizar o tempo de exposição dos géis nos dentes para reduzir os efeitos colaterais, e estão longe de ser incomuns na prática do dentista.
O efeito clareador depende das características do esmalte e de sua cor inicial em cada pessoa. Você não deve esperar o mesmo efeito que na publicidade: é improvável que deslumbre todos os transeuntes com um sorriso branco; na maioria das vezes, os dentes ficam mais brancos com 1-3 tons, o que geralmente é um bom resultado.

Após a fotodegradação, o uso de corantes e bebidas (café, chá, vinho, sucos, chocolate, mirtilos, mirtilos etc.) deve ser limitado e é melhor não usá-los após o procedimento. Uma dieta tão "branca" após o clareamento dos dentes ajudará a manter o sorriso dos dentes brancos por mais tempo possível.
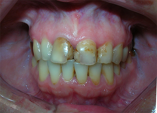
Às vezes, o esmalte é branqueado com manchas, o que pode ser um momento muito desagradável, exigindo intervenção adicional. Além disso, além da sensibilidade de todos os tipos de substâncias irritantes (até dores intensas) após o procedimento de clareamento, muitas vezes é necessário substituir os preenchimentos existentes na área do sorriso, mesmo por bons, pois eles ficam visualmente mais amarelados que os dentes clareados.
Clareamento dos dentes a laser
O clareamento a laser é um método moderno e bastante eficaz de clarificação, praticado há cerca de 15 anos. Numerosos estudos mostraram que, na maioria dos casos clínicos, é realmente eficaz e relativamente seguro.
O princípio do clareamento a laser é quase o mesmo da técnica de clareamento: uma composição de clareamento à base de peróxido de hidrogênio é aplicada à superfície dos dentes; no entanto, a substância ativa é ativada não com lâmpadas ultravioletas, mas com um laser. Um laser é um tipo de catalisador que afeta não apenas a taxa de reações químicas, mas também sua profundidade (perfeição).

Assim como em outros tipos de clareamento profissional, o dentista aplica meios protetores nas gengivas antes do procedimento, para que a membrana mucosa não queime, no entanto, erros no trabalho são encontrados até mesmo por um dentista profissional. Mesmo em numerosas fotografias de clareamento (antes e depois), pode-se observar uma imagem interessante: antes do procedimento, os dentes eram amarelados, mas as gengivas eram rosa pálido, o que é a norma. Após o clareamento, os dentes ficaram visivelmente mais claros, mas a hiperemia (vermelhidão) apareceu na borda da gengiva, o que indica uma queimadura na borda (que, no entanto, geralmente desaparece em um dia).
É interessante
Os dentistas praticantes costumam usar essa complicação não perigosa na forma de uma queima da borda da gengiva em seu proveito. O avermelhamento da gengiva após o procedimento de clareamento geralmente não é percebido pelo paciente, mas no contexto de uma gengiva fortemente avermelhada, o efeito de clareamento parece várias vezes mais eficaz (devido ao contraste). Os dentes podem clarear com apenas 1 tom, mas uma gengiva avermelhada enfatiza visualmente o efeito, e o paciente permanece satisfeito. Afinal, a coisa mais importante é a primeira impressão positiva.
O clareamento a laser não é recomendado:
- Crianças menores de 18 anos;
- Durante a gravidez e lactação;
- Para alergias ao peróxido de hidrogênio e outros componentes de sistemas de branqueamento;
- Com diabetes e algumas doenças do pâncreas.
Essas contra-indicações também são características de muitos outros métodos de clareamento dos dentes.Não se pode deixar de dizer que as contra-indicações locais para quaisquer métodos profissionais de clareamento (exceto mecânicos) são dentes cariados, doenças periodontais em estágio agudo, depósitos dentários (pedras, placas), restaurações antigas que se tornaram inutilizáveis.
Pedras e placas simplesmente impedirão o processo de clareamento químico do esmalte, e elas próprias são um fator determinante no amarelecimento dos dentes. Os preenchimentos inadequados podem causar dor aguda durante o procedimento, uma vez que o peróxido de hidrogênio pode penetrar profundamente no dente através de microfissuras no preenchimento.

A doença periodontal no estágio agudo pode piorar durante o procedimento e o isolamento das gengivas inflamadas é difícil. O aumento das gengivas com sangramento, inclusive, piora a qualidade do clareamento.
Dentes cariados durante o clareamento - isso por si só é uma violação da estética. Por que fazer um sorriso branco como a neve, se 1-2 dentes cariados com "escuridão" ou mesmo com uma cárie aparecerem nele. Além disso, durante a aplicação do gel em dentes cariados, é possível um aumento acentuado da dor, até um ataque agudo.
Nota
Não é recomendado o clareamento nos casos em que é impraticável devido à cor natural amarela clara do esmalte. Normalmente, esses dentes têm um tom amarelo claro na região cervical, esmalte branco no meio e transparente - mais próximo da borda de corte. Mesmo que esses dentes inicialmente não tenham sensibilidade aumentada, depois do clareamento será possível atingir o semi-clareamento, mas haverá grandes problemas no tratamento da hiperestesia dos dentes por vários irritantes (frio, quente, etc.) Muitas vezes, até água quente ou comida se tornam a causa dor
É importante entender claramente que, se os dentes tiverem inicialmente sensibilidade aumentada, o procedimento de clareamento poderá agravar seriamente a situação.
Clareamento intracanal
O clareamento intracanal dos dentes (em outras palavras, o clareamento final) é usado se um dente morto ficar escuro devido à sua coloração com substâncias formadas durante a necrose pulpar, quando os pigmentos penetram profundamente nos tecidos de um dente morto ou quando são manchados com material de enchimento.
Nesses casos, o impacto externo no dente não permite lidar com o problema. Mas o branqueamento químico intra-canal permite que você resolva esse problema, como evidenciado por inúmeras críticas positivas.

Comentários
“Desde a minha juventude, sempre tive dentes brancos, até tratar uma cárie entre os dentes da frente de um, por assim dizer,“ especialista ”. Infelizmente, o médico estava atarracado e eu tive que trocar os recheios, de modo que os nervos fossem removidos primeiro dos dentes e depois os recheios. No começo estava tudo bem, mas depois de um ano e meio, notei que os dentes da frente começaram a mudar de cor para amarelo sujo. Isso começou a me cansar bastante, então parei de sorrir.
Depois de sofrer alguns anos, comecei a procurar um dentista normal. Alguns me disseram que coroas ajudariam, outros que branquearam a laser. Meu amigo me contou um bom médico que aconselhou o clareamento intracanal, já que é daí que surge o problema com a cor do dente. Primeiro, retirei o selo antigo, introduzi o agente clareador no interior e coloquei um selo temporário. Na visita seguinte, fiquei satisfeito: o dente ficou muito mais branco e resta apenas colocar um selo permanente ... "
Oksana, Voronezh
Um peróxido de carbamida, perborato de sódio ou agente branqueador de peróxido de hidrogênio é geralmente adicionado ao canal. O complexo de oxigênio no processo de uma reação química descolorir os compostos manchados nos tecidos dos dentes - combatendo, assim, a descoloração.


O dente após o clareamento adquire sua cor natural ou fica visivelmente mais claro.O sucesso do clareamento intracanal depende da concentração do gel clareador e do tempo gasto dentro do dente. A principal coisa aqui é chegar ao dentista a tempo para uma segunda consulta, pois se houver um atraso significativo no tempo, o dente poderá ficar muito brilhante.
Métodos tradicionais de clareamento dos dentes: dano ou benefício?
É possível realizar independentemente o clareamento dos dentes em casa, sem o uso de todos esses lápis, gotas e tiras de clareamento? Bem, os métodos tradicionais de clareamento dos dentes são conhecidos há muito tempo, mas sua comparação com sistemas profissionais mostrou eficácia duvidosa e, mais importante, insegurança (em alguns casos).
Os sistemas de clareamento caseiro controlados por dentistas não são métodos tradicionais. Da mesma forma, tiras de clareamento caseiro, protetores bucais, lápis e produtos similares são sistemas desenvolvidos em casa, desenvolvidos por cientistas que não são completamente seguros em comparação com os métodos da “avó”, mas estão mais ou menos próximos da medicina baseada em evidências e geralmente apresentam certos resultados.
Além disso, consideraremos os métodos verdadeiramente populares de clareamento dental, longe das realizações da química moderna.
Carvão
Da história, podemos lembrar que o carvão vegetal foi o método mais eficaz de clareamento dos dentes na Rússia. No entanto, atualmente, essa tecnologia de clareamento está irremediavelmente desatualizada (geralmente hoje eles tentam clarear os dentes com carvão ativado, que é vendido em farmácias na forma de comprimidos).

A idéia de usar carvão ativado para clareamento dos dentes baseia-se em sua capacidade conhecida de absorver vários compostos a partir de soluções (excelente absorvente). Por exemplo, se você colocar um comprimido de carvão ativado em uma solução aquosa de tinta e misturar, a solução se tornará transparente rapidamente.
No entanto, nem tudo é tão simples com os dentes: é tolice esperar que o carvão ativado puxe pigmentos que o colorem do esmalte. No entanto, o carvão ativado será capaz de apagar a placa (inclusive manchada) com carvão ativado, embora com o mesmo sucesso, você possa escovar os dentes com pasta de dente com um índice de abrasão médio.
A propósito ...
Na linha Creme dental Splat há uma pasta de dente com conteúdo de carvão vegetal - "Splat Blackwood". E essa pasta não tem uma cor branca clássica, mas um preto intenso. O que você não pode fazer se o consumidor realmente quiser ...

Bicarbonato de sódio - branqueia os dentes?
O bicarbonato de sódio pode aumentar significativamente o pH do ambiente na cavidade oral, neutralizando os ácidos, mas clarear os dentes com ele em casa será muito problemático.

O refrigerante em pó misturado com água (ou saliva) é abrasivo de média resistência; portanto, se você o esfregar com muita força e com muita frequência, poderá levar à abrasão excessiva do esmalte, o que, por sua vez, levará a um aumento da sensibilidade dos dentes (lembre-se da tecnologia Air-Flow que foi descrito acima). Naturalmente, o refrigerante não descolore os compostos corados presentes no esmalte, e um leve efeito clareador pode ser causado apenas pela remoção da placa manchada presente nos dentes, o que novamente será mais seguro para fazer a pasta de dente corretamente selecionada.
Morangos
Por incrível que pareça, o uso de morangos é um dos métodos mais populares entre os métodos de clareamento dos dentes, praticados pelas pessoas.

A receita de clareamento proposta é aproximadamente a seguinte:
- Você deve tomar morangos;
- Corte ao meio;
- Moer metade dos dentes;
- Deixe por cerca de 10 minutos;
- Em seguida, escove os dentes com a pasta de dente habitual.
Devemos dizer imediatamente que claramente não vale a pena contar com um efeito clareador pronunciado com o uso de morangos.No entanto, os ácidos orgânicos, que são, além disso, agentes complexantes altamente eficazes, os métodos "puxam" gradualmente os íons cálcio da matriz tártara, contribuindo assim para o seu afrouxamento e subsequente apagamento da pasta de dente.
No entanto, com o mesmo sucesso, o cálcio também será lavado do esmalte saudável por ação prolongada e regular dos ácidos orgânicos - isso pode provocar o aparecimento de cáries no estágio de uma mancha branca na zona do sorriso, cujos problemas sem tratamento adequado podem ser muito mais do que os benefícios de uma dúvida tão duvidosa. procedimento geral.
Melhor comer morangos e enxaguar a boca - para que você se beneficie muito mais.
Clareamento dos dentes de acordo com Neumyvakin
Outro tipo específico de clareamento dental é o chamado clareamento Neumyvakin.
A receita é a seguinte: você precisa adicionar 20 gotas de uma farmácia a 3% de peróxido de hidrogênio em 0,5 colher de chá de refrigerante e, em seguida, algumas gotas de suco de limão, depois misturar com a pasta resultante. Propõe-se esfregar não apenas os dentes, mas também as gengivas de fora e de dentro, usando o algodão.

Acredita-se que esta pasta não apenas embranque os dentes removendo o tártaro e a placa bacteriana, mas também tratando as gengivas. Existem muitos fãs desse tipo de clareamento, mas há algum efeito nisso?
A interação de refrigerante (bicarbonato de sódio) e ácido cítrico produz citrato de sódio, que possui as propriedades de um agente complexante e é capaz de ligar firmemente os íons cálcio, "removendo-os", por exemplo, do tártaro. O refrigerante em pó desempenha o papel da resistência média da placa abrasiva de limpeza mecânica (e parcialmente em pedra) da superfície do esmalte. Tradicionalmente, o peróxido de hidrogênio recebe o papel de um alvejante químico que descolora as substâncias coradas encontradas no tártaro, na placa e no esmalte dos dentes.
Assim, no clareamento dos dentes de acordo com Neumyvakin, o bom senso parece estar presente.
No entanto, muitas vezes esse significado rapidamente se transforma em "falta de sentido", com desempenho analfabeto nas mãos de uma pessoa ignorante. Por exemplo, se o infeliz pesquisador tem dentes sensíveis, já existem defeitos em forma de cunha na região cervical, no entanto, uma sombra amarela clara de esmalte faz com que ele esfregue furiosamente os dentes com pasta Neumyvakin - nesse caso, o resultado será muito desastroso.

Outra coisa é quando uma pessoa tem esmalte naturalmente saudável, mas seus dentes são amarelos (ou até marrons em alguns lugares) de placa e pedra - nesse caso, o clareamento de acordo com Neumyvakin seria muito mais apropriado do que na situação descrita acima.
A propósito ...
Os cremes dentais contendo pirofosfatos (agentes complexantes), peróxido de carbamida e sistema abrasivo de média resistência (RDA na faixa de 75-150) serão, de fato, uma versão mais avançada da pasta preparada de acordo com Neumyvakin.
Esperamos que as informações acima ajudem você a tomar a decisão certa em relação ao clareamento dos dentes. Se você já possui alguma experiência prática nesse assunto, deixe seu comentário na parte inferior desta página.
Vídeo interessante: critérios para clareamento dentário de alta qualidade e nuances importantes deste procedimento
Sobre os perigos do clareamento dos dentes em casa



Obrigado, artigo muito bom!
Obrigado, aprendi com o artigo muitas informações novas e úteis!
Há muito que sonhei com dentes brancos, mas no meu caso isso não é real. Tenho recheios na frente dos dentes em cima, acho que não podem ser clareados. Diga-me, se você colar folheados, precisará colar todos os dentes da frente em cima e em baixo? Mas e os dentes distantes, eles permanecerão amarelos, você pode ver durante a conversa?
Olá Se você estiver satisfeito com a cor dos dentes inferiores, poderá fazer facetas apenas nos dentes superiores que entram na zona do sorriso. Se a cor não for satisfatória, é melhor restaurar os dentes superiores e inferiores. Quanto aos dentes distantes - antes do tratamento, realizamos testes especiais para determinar a largura do seu sorriso e dar recomendações sobre o número de dentes que precisam ser cobertos com facetas. Se desejar, você pode sempre marcar uma consulta conosco para uma consulta gratuita com um dentista ortopédico para esclarecer a situação.