
Em seguida, você aprenderá:
- Que tipo de clareamento dental é o mais seguro e suave em relação ao esmalte dentário;
- Por que o clareamento geralmente causa danos significativos aos dentes e gengivas e como isso acontece;
- Como as diferentes tecnologias de clareamento dos dentes (incluindo aquelas focadas no uso doméstico) diferem em segurança e eficácia;
- E também várias nuances práticas interessantes que protegerão seus dentes e saúde em geral contra erros e problemas desnecessários.
Todo mundo que desconfia do clareamento dental quer dizer imediatamente que o clareamento dental realmente existe. No entanto, antes de abordar este tópico, vamos primeiro determinar algumas nuances e termos, e ver o que realmente dói (por que muitas pessoas têm tanto medo) e qual é a diferença entre o verdadeiro clareamento e o clareamento da superfície do esmalte.
O clareamento suave dos dentes implica um efeito mínimo do sistema de clareamento aplicado sobre os elementos estruturais do esmalte e da dentina. Infelizmente, na prática, isso está longe de ser sempre alcançado, pois os agentes clareadores de esmalte verdadeiros mais eficazes são combinações de substâncias que penetram ativamente profundamente na camada superficial do esmalte e violam sua estrutura normal. Simplificando, não apenas os pigmentos coloridos são destruídos, mas a estrutura do esmalte e da própria dentina é simultaneamente perturbada (o cálcio e o fósforo são lavados, a matriz proteica do esmalte pode ser afetada).

Como resultado, muitas vezes após um clareamento dental tão eficaz (do ponto de vista de um sorriso branco), o esmalte é um tipo de esponja porosa que precisa de ajuda urgente - um procedimento de remineralização, incluindo fluoretação.

Nota
Após o clareamento dos dentes, a princípio, pode-se observar uma sensibilidade bastante pronunciada do esmalte a vários irritantes (hiperestesia), quando é doloroso beber água fria, comer alimentos sólidos e às vezes até dói apenas respirar pela boca.
Durante o período de recuperação, o esmalte é muito vulnerável a manchas, por exemplo, com vinho, café, chá e outras soluções altamente corantes; portanto, é recomendável aderir à chamada dieta branca por algum tempo. (às vezes também chamada de dieta transparente). Na verdade, estamos falando em não consumir os produtos que podem novamente dar ao esmalte um tom escuro.
Também é importante distinguir entre clareamento dentário verdadeiro e clareamento:
- O esmalte dos dentes branqueadores envolve a destruição química (ou fotoquímica) de compostos coloridos em sua camada superficial a uma certa profundidade. Agentes oxidantes poderosos simplesmente descoloram substâncias coloridas, convertendo-as em compostos não pintados. Como você sabe, longe de sempre esse clareamento será seguro para os dentes, mas com a abordagem correta e com estrita aderência a toda a tecnologia, isso pode ser alcançado.

- Mas o clareamento dental é baseado em um princípio de operação completamente diferente - estamos falando aqui da remoção mecânica de depósitos pigmentados da superfície do esmalte (por exemplo, placa bacteriana, tártaro). Nesse caso, podem ser utilizados o ultra-som, a tecnologia Air Flow, cremes dentais branqueadores abrasivos e outros métodos. Em geral, o clareamento dental é mais suave do que o clareamento real, embora seja muito importante seguir a tecnologia.

Assim, no primeiro e no segundo casos, um resultado positivo pode ser alcançado: a superfície dos dentes realmente se torna mais brilhante.
No entanto, se você quiser escolher a opção mais segura para o clareamento dos dentes e, ao mesmo tempo, eficaz, será útil ver primeiro quais são os perigos potenciais das tecnologias usadas atualmente (inclusive para uso doméstico, incluindo vários lápis de clareamento, tiras, protetores bucais).
Vamos falar sobre isso com mais detalhes.
E por que, de fato, o clareamento dos dentes prejudica o esmalte e como é perigoso?
Se recordarmos a estrutura dos dentes humanos, fica claro que o clareamento (clareamento) está sempre associado a um efeito direto ou indireto no esmalte dos dentes.
Imagine uma situação: uma pessoa olha no espelho e vê que os dentes na zona do sorriso são amarelados. E eu gostaria que eles fossem pelo menos um pouco mais brancos. A coisa mais simples que vem à mente é levar a escova com mais força e esfregar a superfície dos dentes até aparecer uma sombra dada pela natureza (em geral, isso é o que as pessoas costumavam fazer - lembre-se dos pós de dentes anteriormente populares ou escovar os dentes com carvão , giz e até argila).

É claro que hoje as pessoas entendem perfeitamente que essa ideia não é a mais agradável, na melhor das hipóteses, e a pior, na pior das hipóteses, pois causará sensibilidade dentária por vários irritantes (quente, azedo, frio). Este é o chamado "sentimento de dor", quando, por exemplo, ao morder uma maçã azeda dura, tremores ocorrem por todo o corpo.
Nota
Vários ranger de dentes com o chamado "brilho" são frequentemente referidos no campo da medicina tradicional e são usados exclusivamente em casa, com grandes riscos, não apenas para a saúde bucal, mas também para a saúde humana em geral. A abrasão da camada superficial do esmalte em pouco tempo, sem compensação adequada, não levou a nada de bom.
Isso também inclui entusiasmo excessivo em branquear cremes dentais com um alto índice de abrasividade RDA, incluindo cremes dentais da Tailândia com argila, cuja abrasividade parece não ser padronizada nem controlada. O uso de tais pastas pode não apenas levar à sensibilidade dos dentes, mas também agravar o problema de defeitos em forma de cunha, se houver (veja o exemplo na foto).

O clareamento dentário (químico) verdadeiro também é difícil de ser considerado seguro. Durante o procedimento, altas concentrações de peróxidos e ácidos são usadas com mais freqüência, o que garante as reações químicas necessárias na superfície do esmalte e dentro dela. O perigo do procedimento é diretamente proporcional à concentração do agente clareador: quanto maior a concentração, maiores os riscos para a saúde futura do dente e da mucosa oral.
Comentários:
“Fiz um Zoom clareador há cinco anos, em três abordagens. Pela primeira vez, estava tudo bem. A segunda vez dói um pouco, mas a terceira vez eu já queria jurar. Mas o médico imediatamente avisou que alguns atrasaram a terceira ligação o máximo possível, e decidi não esperar. Então ela chegou em casa, onde o pesadelo já havia começado, ela comeu 4 comprimidos de Ketonal à noite.
Então tudo ficou perfeito, a dor passou, seus dentinhos eram brancos, ela sorriu alto. Um mês depois, em algum lugar, comecei a notar que havia algo errado no dente superior da frente: primeiro, uma pequena rachadura e depois um chip formado. Só então me dei conta de que esses são efeitos do clareamento "seguro", pois, com meu próprio dinheiro, ela arruinou o dente. Eu tive que colocar um selo em um controle deslizante ... "
Kristina, Moscow
O ácido (geralmente ortofosfórico) libera ativamente o cálcio e os peróxidos, como fortes agentes oxidantes, são capazes de destruir as fibras de colágeno na estrutura do esmalte. Se o clareamento não for realizado no consultório do dentista, mas em casa, são possíveis as seguintes consequências negativas:
- O aparecimento de sensibilidade dentária;
- Microporosidade do esmalte (os compostos corados dos alimentos podem então entrar facilmente nos poros, após o que os dentes às vezes ficam ainda mais escuros do que antes do procedimento);
- Clareamento heterogêneo do esmalte - algumas áreas podem parecer mais claras que outras.Se houver áreas com recheios, a discolorite pode ser especialmente pronunciada;
- A goma química queima com ácido e peróxido de hidrogênio (às vezes chega ao ponto de que, ao tentar clarear os dentes em casa em humanos, a pele das gengivas descasca literalmente com retalhos).

Como você pode ver, com execução independente, o procedimento está longe de ser seguro. No entanto, o clareamento dos dentes do gabinete, realizado por um especialista da clínica, juntamente com uma eficiência muito alta, ainda pode ser descrito como completamente seguro, pois, com a abordagem correta, quase todos os efeitos indesejáveis podem ser evitados ou eliminados em pouco tempo.
Quão seguro é o uso de cremes dentais clareadores
Quão segura é a condução rápida? Obviamente, tanto quanto a pessoa sentada ao volante sabe conduzir o transporte nessa velocidade. Não menos importante é o próprio veículo.
Da mesma forma, a escolha de uma boa pasta branqueadora de alta qualidade não reduz o papel de uma pessoa na limpeza competente da superfície do esmalte da placa. O uso de cremes dentais clareadores altamente abrasivos deve ser feito com uma compreensão completa de como esse procedimento afeta os dentes e o que pode acontecer se o creme dental não for usado corretamente.

Certamente é difícil chamar o uso dessas pastas de clareamento dental mais seguro, e a expressão "clareamento" claramente não é adequada aqui, pois é mais correto falar sobre clareamento. Se usada corretamente, essa pasta pode ser chamada de “placa de limpeza do poço” e se a técnica de escovação for prejudicada (pressão excessiva na escova, prevalência de movimentos circulares etc.) - “esmalte abrasivo e com aumento da sensibilidade”.
Especialmente prejudicial é o uso de cremes dentais branqueadores abrasivos em pessoas com dentes hipersensíveis - além disso, essas pessoas muitas vezes não pensam sobre isso e desejam embranquecer um sorriso não menos que os outros, para esfregar ativamente o esmalte.

É interessante
Gostaria especialmente de observar os grupos de cremes dentais branqueadores nos quais o sistema abrasivo é combinado com a presença de carbamida ou peróxido de hidrogênio na composição do peróxido (na embalagem desse produto pode ser escrito "Com oxigênio ativo"). Portanto, a concentração de peróxidos nessas pastas é tão baixa (muitas vezes menor do que em tiras e lápis para clareamento de dentes em casa), e o pH do meio é tão alto que não se pode discutir o clareamento químico eficaz.
No entanto, o efeito da publicidade é óbvio - muitos acreditam que, como o “oxigênio ativo” está presente na composição da pasta de dentes, a cor amarela dos dentes certamente deve ficar descolorida e o sorriso brilha rapidamente com a brancura ...

No entanto, também existem cremes dentais clareadores, caracterizados por um índice médio de abrasão (RDA de 75) e, portanto, adequado para uso diário, ou seja, pode-se dizer que é completamente seguro para os dentes de uma pessoa saudável. Um fabricante pode obter um efeito de branqueamento da seguinte maneira:
- O uso de enzimas especiais (bromelina, papaína), capazes de destruir a matriz proteica da placa;
- O uso de pirofosfatos de sódio ou potássio são agentes complexantes eficazes que extraem e ligam íons cálcio da estrutura do tártaro e, como resultado, o tornam mais maleável à limpeza mecânica;
- E também devido a um sistema abrasivo especialmente selecionado (formato de partícula diferente, material de partícula etc.) - por exemplo, pasta de dente Presidente Renomeie.
Essas pastas proporcionam um clareamento suave (clareamento) do esmalte. Exemplos: Creme dental Splat Whitening Plus, Sensodyne Clareamento suave, Café ROCS e tabaco, etc.

Sobre o princípio de operação e segurança da tecnologia Air Flow
O Air Flow é uma tecnologia de "clareamento" mecânico dos dentes, destinada a remover a placa da superfície usando um dispositivo especial (semelhante ao jateamento de areia).
Talvez você deva desmascarar imediatamente alguns mitos sobre esse procedimento:
- Durante o procedimento, o verdadeiro clareamento do esmalte não ocorre; no entanto, como resultado da remoção da placa bacteriana em mais de 80% dos casos, os dentes realmente ficam visivelmente mais brancos;
- Em muitas fontes literárias, o dispositivo Air Flow é chamado de dispositivo de jateamento de areia, embora seja recomendável chamá-lo de jato de areia - o princípio do Air Flow é baseado na limpeza dos dentes da placa, usando um jato poderoso de uma suspensão aquosa de bicarbonato de sódio (bicarbonato de sódio comum).
Até a presente data, a técnica Air Flow é uma das melhores e mais seguras formas de “branquear” os dentes, pois durante o procedimento nenhum dano é causado às estruturas internas do esmalte, e o efeito abrasivo total é estritamente controlado por um especialista.


No entanto, um jato de refrigerante, liberado sob alta pressão, pode, durante o processo de polimento do esmalte, perturbar levemente sua camada superficial. É por isso que, imediatamente após a escovação profissional, o dentista deve remineralizar e (ou) fluoretar o esmalte sem falhas.
É interessante
O método mais comum de fluoretação dentária após o Air Flow é a aplicação de um gel fluoretante especial em um protetor bucal individual na superfície do esmalte limpo. Normalmente, todo o procedimento de fluoração não dura mais que 1-2 minutos.
Profissionais do clareamento dos dentes usando a tecnologia Air Flow:
- A limpeza eficaz e rápida de todas as superfícies dos dentes (mesmo as escovas de dentes difíceis de alcançar) da placa colorida ocorre após café, chá, cigarros, etc;
- O fluxo de ar é um procedimento delicado, quase sempre indolor e adequado mesmo para dentes sensíveis;
- Após a limpeza da placa, os dentes ficam mais claros por 1-2 tons, sem uma violação significativa da estrutura do esmalte.

As contra-indicações para esse procedimento referem-se principalmente a pessoas com asma e distúrbios pulmonares graves, bem como pacientes em dieta sem sal.
Comentários:
“... Eles me colocaram em uma cadeira, colocaram um chapéu e óculos. No início, eles realizaram escovação ultra-sônica, embora eu tivesse muito pouco tártaro. Então foi a vez do Air Flow, que é um jato tão poderoso que você pode cortar facilmente as gengivas. Aqui os óculos ajudaram, pois eles salvaram de pequenos salpicos. Não parece muito melhor do que o ultrassom, mas entre os dentes é certo que limpa tudo. Então chegou a vez da fluoretação, manchada com algum tipo de pasta ou gel, e esfregou o flúor no esmalte. Mas então, que prazer em sentir frescor na boca, os dentes ficaram mais brancos, sua cor natural voltou a eles. Dos problemas, só posso notar que as gengivas estavam sangrando por um tempo e tudo era bastante suportável. ”
Olga, Samara
Métodos ultrassônicos para clareamento mecânico de dentes
O clareamento ultrassônico dos dentes também é uma maneira suave e completamente segura de clarear o esmalte dos dentes. Como no caso da tecnologia Air Flow, as técnicas de clarificação ultrassônica dos dentes visam limpar superfícies de depósitos pigmentados.
Talvez a principal diferença entre o uso do ultrassom seja a possibilidade de uma remoção muito eficaz do tártaro (supra e subgengival), enquanto o jateamento com soda é quase impossível de alcançar.

Nota
É por isso que os dentistas geralmente implementam a higiene bucal profissional usando dois métodos: primeiro, o tártaro é limpo com um dispositivo ultrassônico ou um bico especial (raspador) e, em seguida, a tecnologia de fluxo de ar é usada. Assim, os dentes são libertados primeiro do tártaro e somente depois da placa de todas as superfícies.
Em princípio, a placa pode ser removida com ultrassom, mas leva mais tempo e nem sempre é possível obter intervalos de difícil acesso.
A higiene profissional sempre termina com fluoretação preventiva de todos os dentes.
Após a remoção por ultrassom do tártaro (e, em alguns casos, da placa), os dentes ficam mais claros por 1-2 ou mais tons. O princípio aqui é simples: quanto mais "sujeira" estava nos dentes, mais pronunciado era o efeito.
Portanto, o clareamento ultrassônico dos dentes também pode ser atribuído a um dos melhores e mais seguros, pois não há efeito nas estruturas profundas do esmalte. Portanto, o ultrassom é adequado mesmo para dentes sensíveis - ajustado pelo fato de que, em casos raros, é necessário realizar anestesia por infiltração para tornar o paciente o mais confortável possível.
Tiras de clareamento, protetores bucais, lápis e gomas de mascar
Vamos começar com o chiclete branqueador. Tudo é simples aqui - este é o mito mais comum de que as gomas de mascar branqueadoras podem realmente clarear o esmalte. Muitas pessoas em todo o mundo continuam a usá-los na esperança de um milagre, embora na prática nenhum milagre aconteça, a menos que os bolsos dos fabricantes de tais gomas de mascar estejam milagrosamente cheios.
Não acredite, mas também existem chicletes para perda de peso, azia e excitação. Talvez em breve também haja chiclete devido à calvície e hemorróidas - por que não ...
Próximo. As chamadas tiras de clareamento são um dos meios mais convenientes de clarear os dentes em casa e são realmente capazes de dar um resultado notável. O princípio do clareamento é que tiras especiais de gel são aplicadas na superfície dos grupos anteriores dos dentes e, devido à presença de peróxido de hidrogênio no gel, alvejantes de esmalte (no entanto, esse método não é gentil nem seguro - isso será discutido mais adiante).

Dependendo da concentração de ingredientes ativos nas tiras (que é determinada pelo fabricante, qualidade do produto, prazo de validade), o efeito pode ser alcançado em diferentes intervalos: o esmalte fica visivelmente mais claro geralmente dentro de uma a duas semanas, embora às vezes não seja alcançado um resultado positivo.

Considere por que, em alguns casos, o resultado pode ser quase zero:
- As tiras de branqueamento não são capazes de remover a placa bacteriana e o tártaro da superfície do esmalte. Mesmo o clareamento do gabinete não é realizado com dentes "sujos", pois seria ineficaz;
- A concentração de peróxidos na maioria das tiras de branqueamento dentário no mercado é significativamente menor do que nos produtos de branqueamento profissional - isso se deve ao fato de o fabricante pensar inicialmente na segurança do procedimento realizado por uma pessoa não treinada em casa.
Nota
Em geral, o clareamento de tiras dificilmente pode ser chamado de um método suave e seguro, uma vez que isso não leva em consideração as características individuais de cada pessoa. Por exemplo, com esmalte dentário sensível, esse clareamento se tornará uma verdadeira tortura, assim como para pessoas que têm sérios problemas com as gengivas (especialmente com o uso incorreto de tiras).
Quando os componentes ativos entram na gengiva e permanecem em contato por muito tempo, um processo inflamatório se desenvolve. De fato, trata-se de uma queimadura química, que pode desaparecer após um curto período de tempo, mas às vezes leva à inflamação primária das gengivas ou causa uma exacerbação dos focos crônicos existentes.
Agora, algumas palavras sobre protetores bucais clareadores.
No momento, os protetores bucais usados para uso doméstico independente (na maioria das vezes da China) têm muitas críticas negativas. As razões são as mesmas: baixas concentrações de peróxidos e (às vezes) a presença de placas e pedras, o que interfere bastante no efeito desejado.

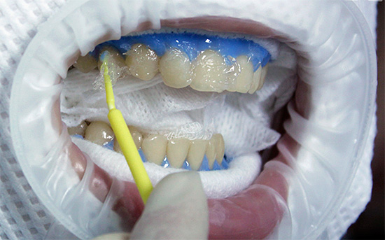
Ao usar protetores bucais clareadores, a opção melhor e relativamente segura para o clareamento dos dentes em casa é usar colutórios individuais feitos pelo dentista em um molde.Como regra, eles são usados após a limpeza preliminar do esmalte da pedra e da placa e também (quase sempre) após o clareamento dos dentes do gabinete para corrigir o resultado.
Tais protetores bucais com gel clareador para uso doméstico têm instruções detalhadas e recomendações individuais, devido às quais durante e após o procedimento de clareamento os riscos de danos ao esmalte e mucosa oral são minimizados.

Importante saber
É quase impossível excluir completamente a possibilidade de desenvolver inflamação na gengiva marginal; no entanto, cada paciente sempre recebe um feedback do médico assistente. Geralmente, os géis de clareamento e os protetores bucais são prescritos pelo dentista como um procedimento de fixação após o clareamento principal, mas muitas vezes a adição agradável é o efeito de uma clarificação ainda maior do esmalte (por 1-2 tons).
Obviamente, com uma eficiência tão alta, é difícil chamar esse tipo de clareamento de suave, mas a vantagem mais importante é a sua controlabilidade, o que aumenta muito a segurança do procedimento.
Também vale a pena mencionar os lápis de clareamento, que, de um modo geral, são uma ferramenta muito controversa para clarear os dentes em casa (eficaz, mas a segurança depende em grande parte, como se costuma dizer, da "curvatura das mãos" de uma pessoa).

Comentários:
“Comprei um lápis para clarear os dentes em Los Angeles. Em apenas duas semanas, meus dentes ficaram muito mais brilhantes do que eram, é uma pena que já no terceiro dia eles começaram a doer tanto ao clarear que quase não há urina. E então dói, mas eu sofro, porque a beleza exige sacrifício! ”
Yana, Moscou
O princípio de operação dos lápis de clareamento é bastante simples: o gel contido no lápis é espremido na superfície dos dentes da frente (veja o exemplo na foto abaixo), então é necessário continuar sorrindo por um tempo para secar a composição.

Por uma questão de segurança, os procedimentos de branqueamento para gengivas e lábios mucosos de lápis de fabricantes confiáveis têm uma concentração não muito alta de componentes de brilho do esmalte.
Nota
Uma análise de sites populares com análises mostra que a maioria das opiniões relacionadas ao uso de lápis para clarear os dentes é negativa, e isso é bastante lógico do ponto de vista da medicina e da lógica humana. O fato é que, no mercado desses produtos para clareamento, muitas vezes existem falsificações de baixa qualidade da China, que são compradas e vendidas em massa em lojas populares da Internet. Além disso, grosso modo, eles são comprados por 100 rublos e vendidos por 500-1000.
Em segundo lugar, os lápis de branqueamento comprados no exterior, pode-se dizer de uma empresa, estão em demanda e têm um número suficiente de vantagens, mas a mentalidade de nossa população não é levada em consideração. Deve-se lembrar que os lápis clareadores eficazes, que clarificam os dentes por 1-2 ou mais tons dentro de 1-2 semanas, não funcionam com dentes com placa e pedra abundantes e danificam a estrutura do esmalte (especialmente sensível) em um grau ou outro.
Clareamento dos dentes
O dentista ou, em outras palavras, o clareamento profissional dos dentes é realizado pelo dentista usando géis contendo peróxido de hidrogênio (ou seus derivados). O procedimento pode ser realizado com ou sem catalisador e calor, laser e ultravioleta podem ser usados como catalisadores.

É interessante
Algumas clínicas estão posicionando o peróxido de carbamida em um gel clareador como um meio mais eficaz em comparação ao peróxido de hidrogênio. No entanto, em meio aquoso (no processo de contato desse composto com os tecidos dos dentes), o peróxido de carbamida se decompõe em peróxido de hidrogênio e uréia, portanto, não há diferença significativa.
O princípio de qualquer tipo de clareamento de gabinete é que os componentes ativos do gel clareador são capazes de penetrar em certa profundidade no esmalte do dente (entre microcristais de hidroxiapatita, fluorapatita), descolorindo os compostos coloridos acumulados aqui ao longo dos anos. A superfície do dente fica mais clara.
O resultado final do clareamento depende de muitos fatores, mas os principais são os seguintes:
- A qualidade do material utilizado (aqui não se trata tanto da segurança do gel para o esmalte, mas da porcentagem do componente ativo, da reologia do gel, da presença de um estabilizador e de outros excipientes);
- A presença de ativadores adicionais que aceleram o procedimento e, em um grau ou outro, determinam a cor final do dente;
- Tempo de exposição ao gel.
É possível realizar o clareamento de dentes sensíveis do gabinete, mas esse procedimento não pode ser chamado de suave e seguro. Se o cliente insistir em seu conhecimento do aumento da sensibilidade do esmalte, durante o procedimento poderá ocorrer dor muito intensa. Como resultado, embora o efeito possa ser alcançado, o esmalte sofrerá danos significativos (você precisará de remineralização e fluorinação aprimoradas).

De qualquer forma, o clareamento do gabinete é considerado a melhor maneira (eficaz) de obter a brancura., mas o custo do procedimento pode não ser acessível a todos. Também é útil saber que essa deterioração consciente do esmalte dentário é ativamente criticada pelos médicos que abordam o problema do ponto de vista do benefício para a pessoa, e não do benefício comercial. Na prática, a situação é tal que até 30-50% das pessoas que embranquecem não precisam ir ao dentista todos os dias (uma vez que a tonalidade existente do esmalte dentário é dada pela natureza e seu clareamento é uma perda de tempo) ou é contra-indicada (para algumas doenças gengivais , bem como mulheres grávidas, lactantes, com alergias a componentes de branqueamento, etc.).
A diferença mais importante entre o branqueamento do gabinete e o independente (residencial) é a sua controlabilidade. Um dentista profissional fará todos os esforços para minimizar os riscos e as conseqüências indesejáveis do procedimento. Por exemplo, é dada atenção especial à proteção da membrana mucosa contra o gel, o que é difícil de obter com os tipos de branqueamento caseiro - portanto, não é incomum entrar em contato com dentistas com queimaduras da mucosa, por exemplo, após aplicar tiras ou lápis de branqueamento.

É importante
A maioria das pessoas sugere que o dente deve ser branqueado de maneira uniforme, mas na prática isso geralmente não acontece. Normalmente, o dente possui várias áreas de tonalidades: geralmente da região cervical escura, até o meio branco e a borda incisal quase transparente.
Se um branqueamento competente do gabinete for realizado, as transições de cores permanecerão as mesmas, mas sua tonalidade ficará mais clara. Vale lembrar que as presas são quase sempre ligeiramente mais amarelas que os outros dentes. E se houver obturações, principalmente na zona do sorriso, depois do clareamento, a diferença de cor entre o esmalte e o lacre poderá se tornar muito perceptível.
Além disso, não se refira ao sorriso hollywoodiano das celebridades, já que a brancura uniforme ofuscante dos dentes é quase sempre alcançada de maneira simples e muito cara: usando tipos modernos de coroas, facetas e luminárias. Além disso, deve-se notar que, por exemplo, facetas e luminadores podem ser fixados com segurança aos dentes sem seu processamento preliminar ("torneamento"). Esta é uma alternativa excelente e segura ao esmalte dos dentes que danifica intencionalmente com quase qualquer tipo de clareamento.
Qual é a segurança dos produtos folclóricos?
Entre um grande número de métodos populares para clarear os dentes, os mais populares são talvez todos os tipos de variações, usando refrigerante, sal, limão, cinzas de madeira (ou carvão) e morangos.A maioria desses experimentos com dentes não pode ser chamada de clareamento dental seguro, como evidenciado pelas revisões daqueles que experimentaram isso sozinhos.

Comentários:
“Li recentemente em uma revista que os dentes podem ser embranquecidos com uma mistura de carvão, refrigerante e sal. Ele pegou carvão de bétula para churrasco e cortou. Misturei com refrigerante e sal em partes aproximadamente iguais e testei em mim mesmo. Eu vou te dizer apenas lata. Não sei o que dizer dos dentes, não percebi que eles ficaram mais claros, mas minhas gengivas estavam corroídas em apenas três dias. Inflamado, começou a sangrar. No quarto dia, não consegui mais escovar, voltei à minha pasta de dentes habitual ... "
Oleg, São Petersburgo
Em primeiro lugar, cada pessoa tem uma compreensão diferente dos algoritmos associados ao ranger e polir os dentes com o mesmo refrigerante misturado com alguma coisa. Em segundo lugar, todo mundo tem uma compreensão diferente da medida (alguém pode escovar os dentes suavemente por 1 minuto e alguém pode freneticamente esfregar um quarto de hora). Em terceiro lugar, cada pessoa tem um estado diferente das gengivas, bem como a quantidade de placa na superfície do esmalte e suas características individuais de cor.
Quase todas as pessoas métodos de clareamento dos dentes Eles visam exclusivamente a limpeza da placa, que é obtida por abrasivos (refrigerante, carvão vegetal), ácidos orgânicos de frutas, vegetais etc. Não é mais fácil, em vez de coçar o esmalte com refrigerante ou sal, apenas Comprar creme dental branqueador de qualidade, mesmo que seja mais abrasivo, e faça um curso de clareamento com mais segurança (por exemplo, clareamento de cremes dentais ROCS, Mexidol Dent Professional White, President White Plus etc.).

Você também pode ir ao dentista e remover a placa e pedra de todas as superfícies dos dentes e, após o procedimento todos os dias, faça uma limpeza 3D independente dos dentes da placa macia usando escovas de dentes, pastas especiais e fio dental. Com uma higiene bucal adequada, o dentista precisará repetir o procedimento de limpeza profissional no máximo uma vez por ano.
Regras para comer após o clareamento dos dentes
As recomendações após o clareamento dos dentes são uma etapa importante no trabalho do dentista, o que permite, em certa medida, proteger seu trabalho de possíveis reclamações do paciente.
Em primeiro lugar, você definitivamente será avisado sobre o aumento da sensibilidade dentária por vários dias. Mesmo após a restauração da estrutura danificada do esmalte (durante a terapia remineralizante), os dentes costumam ter um "não doce", por isso leva tempo para voltar à sua antiga plenitude de vida.
Em segundo lugar, após o clareamento dos dentes, será prescrita a chamada dieta branca ou uma lista de alimentos estritamente proibidos de comer e beber durante a primeira semana. Evidentemente, é desejável excluir cigarros, café forte, chá, vinhos tintos pelo maior tempo possível. Uma dieta tão "transparente" após o clareamento dos dentes permite aumentar a vida útil do sorriso de Hollywood resultante.

É interessante
A prática mostra que apenas algumas pessoas são capazes de abandonar completamente os corantes por pelo menos uma semana: começando com chá e vinho e terminando com chocolate e frutas vermelhas. Também são raros os casos de rejeição completa de cigarros e café, a fim de manter um sorriso branco como a neve, que tem um preço alto (no sentido literal e figurativo).
É por isso que os dentistas russos podem ter calma em ter um trabalho de clareamento dental, porque, apesar de alcançar um resultado de primeira classe, depois de algum tempo, o cliente volta a cair nos braços de seu amado "dentista cosmetologista".
Clareamento absolutamente seguro
Para resumir um breve resumo.
A pergunta que o clareamento dos dentes é a mais segura pode ser respondida brevemente: uma que não prejudique os tecidos dos dentes, gengivas e mucosa oral, bem como a saúde humana em geral. E, nesse caso, pode-se concluir que hoje não há clareamento dental absolutamente seguro.A única questão é durante a qual procedimento um resultado bastante bom será alcançado com os danos relativamente pequenos que o esmalte e as gengivas receberão durante o procedimento.

Não confunda a higiene bucal profissional (ultra-som e fluxo de ar) com procedimentos reais de clareamento dos dentes. Durante a higiene, a superfície do dente é limpa de depósitos, sob os quais há um esmalte mais claro. Para alguém após o procedimento, isso se torna uma surpresa agradável e para dentistas não muito respeitáveis - um ganho financeiro, embora cada vez menos médicos estejam prontos por razões comerciais para substituir esses conceitos simples.
Como resultado, a higiene profissional permite tornar os dentes mais brilhantes e quase sempre mais ou menos seguros para o esmalte.
Dos verdadeiros métodos de clareamento dos dentes, é difícil escolher qualquer tratamento delicado e seguro, já que é quase impossível manter estatísticas objetivas sobre a porcentagem de procedimentos de clareamento eficazes e ineficazes, bem como sobre o número de falhas óbvias e efeitos colaterais relacionados na forma de danos ao esmalte, lascas, queimaduras da mucosa oral, alergias, hipersensibilidade duradoura ao esmalte, etc.
Portanto, a seguinte sequência de ações é recomendada antes do clareamento dos dentes:
- consultar um dentista;
- realizar higiene bucal profissional (se houver evidência), livrar-se do tártaro e da placa bacteriana - já nesta fase o sorriso pode se tornar visivelmente mais branco;
- e só então, tendo ponderado os prós e os contras, é bom pensar e decidir por si mesmo: vale a pena arriscar a saúde de seus dentes por causa de um possível sorriso ainda mais branco como a neve, e quanta força de vontade e paciência podem ser suficientes para dedicar parte de sua vida a "branco" dieta. Se você estiver disposto a arriscar, escolha um branqueamento de dentes do gabinete - muito menos risco de queimar suas próprias gengivas e destruir irreparavelmente o esmalte.
Bem, se você já tem experiência com clareamento dental, não se esqueça de deixar seu comentário na parte inferior desta página. Talvez esta revisão ajude alguém a fazer sua escolha.
Vídeo útil sobre a questão da segurança do clareamento dos dentes do consultório, bem como contra-indicações para este procedimento
O perigo do clareamento dos dentes em casa: comentários de especialistas e opiniões de pessoas comuns



Nunca faça escovação mecânica, mesmo no escritório, mesmo em casa - o processo é irreversível e, portanto, nenhum flúor e cálcio simplesmente o ajudarão. Proteja os dentes desde tenra idade e enxágüe os alimentos com uma enxágue após cada refeição. E então você não precisará ir ao dentista e carregar muito dinheiro para o tratamento.
Eu acho que, em muitos casos, basta escolher uma pasta com propriedades abrasivas de cálcio e, ao mesmo tempo, curar feridas, um pouco com efeito bronzeador para as gengivas, além de uma escova de dentes macia. E trabalhe uma vez por dia com todos os dentes, especialmente onde você precisa clarear!
Obrigado pelo artigo! 🙂
Durante muito tempo, quis branquear os dentes e agora pensei: preciso? Eu tento cuidar dos dentes, visitar o dentista, fazer a limpeza 1 vez em 1,5 anos. Até os dentistas dizem que tenho uma boa cor de dente (natural). Mas você quer! ) Bom artigo. Obrigada
Estes são todos truques, somos mostrados em publicidade com pessoas com uma cor de dente não natural e parece-nos que deve ser assim. Mas, na realidade, uma cor de dente saudável não pode ser igual à cor de um vaso sanitário branco))