
Os cremes dentais da Tailândia são hoje, por assim dizer, uma tendência popular. Especialistas em medicina natural e especialmente oriental, amantes de experimentar algo novo e apenas blogueiros e viajantes elogiam ativamente esses produtos para seus amigos, aspiram a chamar ingredientes exóticos - mangostão, miswak, lindau ... E para aqueles que nunca experimentaram creme dental tailandês ação, resta apenas invejar que escovem os dentes com Colgate simples ou Novas Pérolas, e não com pasta milagrosa de ervas com extrato de guaia e borneol ...
Então, talvez ainda valha a pena comprar um pote de moda?
O desejo de comprar um remédio exótico é alimentado pelas promessas de fabricantes e vendedores que as ecoam: branqueamento creme dental tailandês de acordo com as garantias dos agentes comerciais, o esmalte dentário já pode ser branqueado em 2-3 aplicações, e a composição das pastas de ervas de acordo com as mesmas promessas inclui apenas componentes naturais que aliviam a inflamação e o sangramento da gengiva em alguns dias.

Enquanto isso, a grande maioria dos compradores desses cremes dentais não apenas não consulta um médico com antecedência sobre a segurança e a eficácia do uso desses produtos, mas, mesmo observando alguns efeitos indesejáveis, continua a escovar os dentes persistentemente com o exótico tailandês. Se você fizer isso sem entender o mecanismo da ferramenta (bem como como e em que situações elas devem ser usadas), em alguns casos, poderá danificar seriamente o esmalte e as gengivas dos dentes.
Isso também é confirmado por análises individuais de pessoas comuns que tentaram escovar os dentes, por exemplo, com a mesma pasta de dentes branqueadora da Tailândia.

Comentários
“Moramos em Tay por um mês, apenas fomos lá para relaxar. Meu marido foi adicionado às férias de costume por duas semanas sem pagamento, por isso acabou sendo uma viagem real. Então, compramos uma pasta de dente local com o noni lá. Só que é vendido em potes tão bonitos que todo mundo recomenda e custa um centavo. Decidimos tentar escovar os dentes. Mas meu marido desistiu em uma semana e eu em duas. Ela literalmente quebra os dentes! Ela tem um gosto bom, não sei se ela é natural, mas parece que ela não cheira a nenhuma química especial. Mas depois de uma semana de limpeza regular, é impossível beber água fria - os dentes doem. E o pincel dói. A borda da boca imediatamente fica cheia de todas as frutas. Eu acho que ela apenas apaga a placa com os dentes, então eles começam a doer. Mas nós amarramos com ela e voltamos para o Aquafresh tirado de Peter ... "
Anya, São Petersburgo
A pasta de dente tailandesa costuma ter um efeito pronunciado nos dentes, mas esse efeito está longe de ser sempre benéfico. Mas as primeiras coisas primeiro ...
Recursos de massas tailandesas
Uma característica essencial pela qual quase qualquer creme dental tailandês é mais preferível aos olhos dos varejistas domésticos é o seu baixo preço. Você pode comprar mercadorias individualmente ou a granel, não apenas na Tailândia, mas também pela Internet. Ao comprar a granel, um frasco custará apenas cerca de 10 rublos (respectivamente, o custo é ainda mais baixo).


Posteriormente, essas pastas já são vendidas na Rússia aos preços de seus concorrentes na produção russa ou européia (ou seja, com uma margem de lucro de até 1000%). Ou um pouco menor - especificamente para aumentar a demanda.
Nota
O preço médio pelo qual a pasta de dente tailandesa é vendida em Moscou é de aproximadamente 150 rublos por frasco. No entanto, se desejar, você pode encontrá-lo e comprá-lo facilmente por 100 a 120 rublos.
A propósito, o custo de um produto abaixo de 10 rublos por frasco é uma questão interessante separada.Como você consegue alcançar um preço tão baixo? Parte da resposta a esta pergunta pode ser obtida quando você considera que a composição de muitos cremes dentais da Tailândia inclui alumina (em termos simples, argila) como um sistema de polimento abrasivo. Sim, a alumina é um abrasivo poderoso que pode apagar não apenas o esmalte dos dentes, mas também afiar o aço temperado, mas quem se importa? Afinal, se dissermos que o produto consiste inteiramente de componentes naturais (e argila - do que matérias-primas não naturais), as pessoas o comprarão.
É claro que, obtendo super lucro com seus produtos, os vendedores literalmente os sobrecarregam de lojas on-line. Mas para as massas venderem bem, elas também devem ter algumas propriedades úteis (ou que parecem úteis). E eles os têm:
- Capacidade de clareamento. E é ela que é mais conhecida - creme dental da Tailândia é frequentemente comprado para trazer um sorriso para Hollywood branco como a neve em uma semana.
- Composição natural - além da alumina mencionada acima, a composição também pode incluir extratos de ervas, frutas e outros materiais vegetais (por que, de fato, as pastas são chamadas de ervas). Tudo isso confere ao produto algumas propriedades anti-sépticas, devido às quais é realizada a prevenção de cáries e doenças gengivais. Nenhuma das fotografias abaixo mostra um exemplo de creme dental à base de plantas, que está clareando ao mesmo tempo:

- Componentes aromáticos fortes na composição, proporcionando hálito fresco.
Além disso, quase todo segundo creme dental tailandês tem um sabor e um cheiro originais e muito exóticos. Esse exotismo é um fator uau, muitas vezes se tornando a principal razão para a escolha de um produto por um comprador.
Comentários:
“Experimentei creme dental tailandês, não na própria Tailândia, mas já ao chegar em casa. Limpa normalmente, como todas as pastas regulares. Mas fiquei atraído pela composição deles. Por exemplo, comprei um mangostão e hortelã, um sabor muito interessante e agradável. Em geral, existem muitas pastas, manga, goiaba, cânfora. ”
Tatyana, Moscou
Uma forma especial de embalagem confere ao produto incomum adicional. Muitos cremes dentais vendidos na Tailândia são embalados em frascos redondos, dos quais o conteúdo precisa ser recolhido com uma espátula ou escova especial (no entanto, você não deve fazer isso com uma escova, pois cada vez que você traz uma porção de bactérias para o frasco).


Algumas pastas têm uma consistência muito espessa e, para escovação normal, você precisa de muito pouco - isso torna o produto ainda mais econômico, aumentando o tempo gasto.
E outra característica importante dos cremes dentais tailandeses é a abundância e diversidade de seus tipos.
Tipos de cremes dentais da Tailândia
Uma das marcas mais famosas de cremes dentais importados da Tailândia é, talvez, Twin Lotus e 5 Star. Além disso, o primeiro é conhecido por produzir pastas em tubos "normais".
As seguintes variedades estão disponíveis entre os produtos Twin Lotus:
- Creme dental Twin Lotus Active Charcoal - com extratos vegetais e carvão de bambu (às vezes carvão ativado por escrito). A composição inclui um extrato de goiaba, cravo e hortelã-pimenta, como componentes bactericidas e anti-inflamatórios, bem como carvão de bambu para limpar os dentes da placa. A pasta tem uma cor preta incomum (veja a foto abaixo).

- Twin Lotus Premium sem flúor, com choco ósseo - posicionado como uma pasta de dentes branqueadora.

- Twin Lotus Day & Night - um conjunto de dois cremes dentais à base de plantas (para proteger os dentes dia e noite), que incluem extratos de miswaka, murai e clinakanthus.

5 estrelas já são massas tailandesas típicas vendidas em frascos redondos. As seguintes variedades estão disponíveis:
- Creme dental com coco e ervas, projetado para cuidar de dentes sensíveis;
- Refrescante com frutas noni;
- Clareamento simples com sabor a menta;
- Uma pasta com extrato de mamão, que, segundo o fabricante, ajuda a combater com sucesso a formação de placas e o tártaro.

Também à venda na Tailândia, em alguns lugares em Moscou, São Petersburgo e em lojas on-line, existem pastas de outros fabricantes:
- ISME RasYan Herbal Clove - cole com cravo, que possui um poderoso efeito anti-séptico e de limpeza;
- Creme dental à base de plantas Abhai, que inclui mangostão e goiaba.
- Siam Herb Extra Virgin - creme dental marrom da Tailândia (com mangostão, carbonato de cálcio, bicarbonato de sódio e cânfora). Seu principal efeito é o clareamento e bactericida.
- Creme dental à base de plantas orgânico AIMTHAI ALL IN ONE - com extrato de árvore do chá. É chamado universal devido ao fato de ter um efeito preventivo anti-cariado e, ao mesmo tempo, promover o clareamento dos dentes;
- Pasta de dentes à base de plantas Punchalee com sabor de patchouli.
Na foto abaixo - pasta tailandesa Siam Herb Extra Virgin:


Para atrair um comprador, os fabricantes declaram nas propriedades das pastas quase tudo o que pode contribuir para as vendas, uma vez que não há uma certificação rigorosa dos produtos. A falta de controle rigoroso permite especificar na composição apenas os componentes que afetarão positivamente a decisão de compra.
Nota
Por exemplo, muitas pastas de ervas, para as quais é reivindicada uma composição completamente natural, simplesmente deteriorariam quando armazenadas sem os conservantes apropriados. Além disso, eles não teriam espuma e teriam uma capacidade de limpeza reduzida sem a presença de substâncias ativas da superfície sintéticas. No entanto, um produtor inteligente escreverá em um pote de pasta: “Conservantes, lauril sulfato de sódio”, quando você puder escrever: “Pasta de ervas, ingredientes exclusivamente naturais”.
Os vendedores e as lojas on-line geralmente apenas repetem tudo o que o fabricante diz, absolutamente não entrando na verificação da verdade das declarações. Descobrir que qualidades esse ou aquele creme dental realmente possui, só pode ser feito na prática comprando um produto e testando-o.
Comentários
“... Esses jarros na Tailândia são vendidos a todo momento. No interior, pó altamente comprimido, mas não se desfaz. Alveja muito bem, não até a brancura do banheiro, é claro, mas é imediatamente visível. Dos pontos negativos - muita espuma, saindo diretamente da boca, cuspindo, e ela se apressando novamente, como se tivesse xampu na boca. E vigoroso demais, o efeito de congelar os lábios e, se cair no queixo, fica entorpecido. Efeito estranho. Limpei duas vezes por dia durante uma semana, houve um leve sangramento das gengivas. Embora não tenha cuspido os dentes, como na publicidade, percebi que precisava usá-lo com menos frequência. "
Olya, Novosibirsk

Ao escovar os dentes com cremes dentais tailandeses (se você ainda decidiu experimentar exóticos), tenha muito cuidado: o produto não passa por nenhum controle de acordo com os padrões internacionais e, como observado acima, a correspondência do que está escrito no rótulo com o que está no banco não é estritamente verificado. Alguns cremes dentais tailandeses podem ser perigosos e prejudiciais ao uso, principalmente se forem usados incorretamente - por exemplo, regularmente várias vezes ao dia.
Nota
Não confunda cremes dentais tailandeses e chineses. Existem muitos cremes dentais chineses: do clareamento ao medicinal, e muitos deles são clones de marcas europeias famosas.
Hoje, muitas pastas chinesas podem ser compradas via Internet, mas, a julgar pelas críticas, sua eficácia na solução de vários problemas dentários não excede a dos produtos domésticos usuais.
Eles realmente alvejam?
Os cremes dentais tailandeses realmente alvejam o esmalte e, em alguns casos, o efeito se torna perceptível apenas alguns dias após o início do uso. Estamos falando de clareamento mecânico (clareamento) da superfície dos dentes, removendo a placa pigmentada do esmalte.


Comentários
“Creme dental da Tailândia é simplesmente super! Nenhuma outra pasta fornece esse clareamento. Na clínica, meus dentes foram embranquecidos com alguns compostos especiais, depois cobriram o esmalte com gel e, depois disso, tudo começou a grudar literalmente nos meus dentes.Tomei café - meus dentes escurecem, acabei de comer - eles ficaram ainda mais amarelos que o aço. Eu já estava com muito medo. A conselho de uma amiga, ela comprou macarrão tailandês em uma jarra pequena, uma semana em que escovou os dentes, para que eles se tornassem mais limpos do que depois da clínica. Eu não esperava isso. É verdade que o sabor dessa massa é específico, mas deve ser tolerado. ”
Olga, Moscou
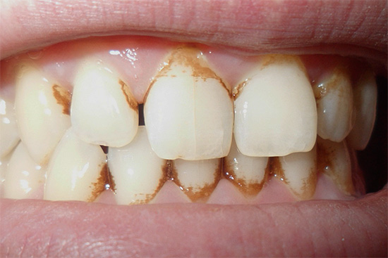
No entanto, um clareamento tão poderoso usando cremes dentais tailandeses tem suas propriedades negativas - você pode simplesmente apagar uma camada de esmalte dentário junto com a placa pigmentada, expondo a dentina. Isso, por sua vez, levará ao aumento da sensibilidade dentária e a vários outros problemas.
Imagine a situação: os dentes de uma pessoa inicialmente aumentam a sensibilidade (hiperestesia), há defeitos em forma de cunha na região cervical e ele freneticamente escova os dentes duas vezes por dia com uma escova de dentes rígida usando uma pasta de dentes branqueadora tailandesa. Em geral, para dizer o mínimo, nada de bom resultará disso e, provavelmente, essa pessoa logo estará na cadeira do dentista.

Muitos cremes dentais da Tailândia contêm alumina como abrasivo. Mesmo que não esteja explicitamente indicado na composição, na lista de componentes você pode encontrar frequentemente dióxido de titânio, óxido de alumínio e dióxido de silício - a argila constituinte. Às vezes, eles apenas escrevem: "argila branca". Além disso, nenhuma pasta indica que, durante a sua preparação, o componente abrasivo passou por um tratamento especial para arredondar os cantos dos cristais, o que garantiria menos danos ao esmalte ao escovar os dentes.
Obviamente, depois de escovar os dentes com uma composição "argila", a camada da placa, juntamente com uma certa quantidade de esmalte, será literalmente removida com componentes abrasivos. O efeito visual é óbvio - os dentes ficam realmente brancos. E paralelamente, eles começarão a doer e reagirão fortemente à mastigação fria, quente, azeda e até simples de alimentos ásperos.
No entanto, se o esmalte do seu dente é naturalmente saudável, se você não sabe o que é a sensibilidade do dente e não possui defeitos em forma de cunha, mas há uma camada da chamada "placa do fumante" e tártaro, o uso puro e raro do dente de clareamento tailandês as pastas podem ser consideradas bastante seguras.

Comentários
“Eu, depois de todo esse hype com massas tailandesas, comprei uma jarra para mim. Quão bonitos eles escrevem sobre a composição natural e as ervas! Mas, de fato, quando eu me aprofundava, descobri que o lauril sulfato de sódio está na composição. O que é usado em produtos de limpeza, que espumas e das quais se desenvolve estomatite. Tanta coisa para a composição natural. Começou a entender melhor. Nas críticas, as pessoas escrevem que a pasta realmente limpa, mas depois os dentes ficam sensíveis. Este é um olá completo. Ou seja, isso não é uma pasta, mas apenas algum tipo de lixa líquida. O que posso dizer sobre a minha experiência? Não há experiência. Peguei um pouco no meu dedo, molhei-o, vi como estava ensaboando e espumando, então joguei fora o pote inteiro imediatamente, sem correr riscos. ”
Tatyana, Moscou
Regras de creme dental tailandês
Antes de tudo, é preciso entender que os cremes dentais branqueadores, especialmente os tailandeses, com abrasividade muito alta, são contra-indicados para uso por pessoas com maior sensibilidade dentária. O segundo ponto importante - mesmo que esteja tudo bem com os dentes, você não deve usar o creme dental branqueador tailandês com muita frequência (uma vez por semana será suficiente).
Os cremes dentais tailandeses, que são vendidos em tubos regulares, são usados da mesma maneira que qualquer outro - são simplesmente espremidos em uma quantidade de cerca de uma ervilha em uma escova de dentes e escovam completamente todos os dentes.

Mas as pastas dos frascos redondos são mais difíceis de usar. Em primeiro lugar, eles precisam ser usados em quantidades muito menores - literalmente, na ponta das cerdas da escova de dentes, a pasta é retirada de uma lata (não com uma escova, mas com uma espátula especial) e aplicada imediatamente na superfície dos dentes. Nos primeiros segundos, até a composição espumar, você precisa escovar os dentes com muita delicadeza e precisão.

Em segundo lugar, a pasta pode ser usada raramente, alternando seu uso com produtos menos agressivos. Por exemplo, de manhã, os dentes são escovados com pasta tailandesa e à noite - com o normal. A razão para isso é a forte capacidade de abrasão das pastas tailandesas, pelas quais o fascínio por elas pode levar a uma violação da integridade do esmalte.
Toda a verdade sobre cremes dentais da Tailândia: mitos e realidade
Então, gradualmente chegamos à parte da revisão dos cremes dentais tailandeses sobre vários mitos e rumores que cercam esses produtos. Vamos ver como as idéias mais comuns sobre essas pastas são verdadeiras.
Mito 1: Os cremes dentais da Tailândia são muito úteis, pois possuem uma composição natural.
Realidade: Não existe um mecanismo rigoroso de certificação para cremes dentais na Tailândia. Isso significa que, por exemplo, apenas ingredientes naturais podem ser listados em uma lata de macarrão, e o fabricante ficará modestamente silencioso sobre toda a "química". Além disso, a eficácia terapêutica de muitos dos ingredientes naturais usados nas massas tailandesas não está clinicamente comprovada. Goiaba, tecido ósseo de choco e noni é uma isca para os amantes do exotismo e da naturalidade. Se eles ajudam é uma questão grande e aberta.
Mito 2: Massas tailandesas dentes inofensivos embranquecem.
Realidade: De acordo com as avaliações, as pastas tailandesas realmente alvejam, mas de maneira alguma são sempre inofensivas à saúde dental. Mais frequentemente, são um meio de trocar saúde por beleza. Os dentes ficam brancos por um tempo e, em seguida, devido ao desgaste do esmalte e à vulnerabilidade às bactérias, começam a doer e a danificar-se.
Mito 3: As massas tailandesas são mais saudáveis que os Lacalyuts e os Blend-a-Meds comuns.
Realidade: Alguns componentes de muitas massas tailandesas são os mesmos dos mais comuns nacionais ou europeus. E no caso de abrasivos - mais prejudicial. Fabricantes russos e ocidentais criam pastas nas quais os abrasivos são preparados usando tecnologias especiais que reduzem a carga abrasiva no esmalte. Nas pastas tailandesas, essas tecnologias não são usadas, pelo que o fabricante economiza na criação de um produto e oferece um preço baixo. As propriedades curativas da maioria dos extratos de ervas exóticas e aditivos não são cientificamente confirmadas.

Mito 4: As pastas da Tailândia são tão úteis que são compradas e aconselhadas por amigos.
Realidade: as massas tailandesas são compradas porque são baratas e incomuns. E também porque, com super lucros, os vendedores têm a oportunidade de fazer uma boa publicidade. Inclusive - encomendar "críticas" falsas em blogs e fóruns. A popularidade das massas tailandesas é um exemplo de como os compradores estão dispostos a comprar produtos de baixa qualidade, se eles forem exóticos e mais baratos.
Como resultado, não vale a pena comprar massas tailandesas para mudar totalmente para o uso em vez dos dentifrícios usuais. Tais experimentos podem resultar em sérios problemas e no custo de mais tratamentos dentários.
No entanto, somos todos humanos, e às vezes eu realmente quero experimentar o novo produto. Bem, isso é bem possível, o principal é sem fanatismo, com precisão e com um entendimento completo da situação. Com essa abordagem, a pasta de dente tailandesa pode fazer mais bem do que mal.
Se você já usou cremes dentais da Tailândia na prática, deixe sua opinião na parte inferior desta página.
Vídeo interessante: uma visão geral das características do creme dental branqueador da Tailândia e as características de seu uso
O que é importante saber sobre o clareamento eficaz dos dentes: comentários do dentista




E minha namorada me deu um DR. No começo, eu nem entendi o que era. Algum tipo de jarro é redondo com um sorriso de dentes brancos пользоваться Eu comecei a usá-lo - gostei muito, perguntei a minha namorada onde encontrá-lo e disse que estava comprando on-line. Eu achei isso ao meu gosto - com um dente, além de todas as vantagens, também um excelente efeito refrescante!
Eu também gostei muito da pasta na caixa de cravo rosa de ervas. Primeiro, a sensibilidade dos dentes aumentou. Mas depois de uma semana de aplicação, tudo foi embora. As gengivas pararam de sangrar, o hálito permanece fresco por um longo tempo. Mata todo o sabor desagradável completamente. Meus dentes não são muito brancos, mas isso não é tão importante, eu tenho uma cor decente. Se a pasta sem caixa e espátula for 100% falsa, nem tente.
Eles trouxeram 2 potes de macarrão como presente da Tailândia. Permaneceu em deleite completo! Sem apagamento do esmalte, sangramento nas gengivas, dormência da língua e queixo. Uma enorme vantagem que você precisa usar no pincel do tamanho de uma ervilha pequena, o que economiza bastante o número de massas. Então, quando esses 2 frascos terminaram um ano depois (eu estava escovando os dentes sozinha, e meu marido e filha não aguentavam o cheiro e o sabor dos dentes), comecei a pedir mais. Tentei de todos os tipos: carvão e coco, abacaxi, branqueamento, ervas macias e termonucleares à base de plantas, e alguns clássicos com um tio pintado em uma jarra. Eu não vi os contras, exceto o preço ... Da Taya eles me trouxeram de presente, mas o preço era de 70 baht (cerca de nossos 70 rublos). Agora custa 200 rublos devido ao salto na moeda, e é um pouco caro. Ainda assim, não trocarei esta pasta por nenhum colgate e splat. Excelente creme dental, o que quer que esteja escrito neste artigo.
Esqueci de acrescentar: qualquer macarrão tailandês, mesmo com coco, abacaxi, capim, mamão, carvão, etc., tem um sabor e cheiro de cravo. Absolutamente todas (!) Essas pastas com cravo parecem não ter outras. Se alguém não gosta do cheiro e do sabor do cravo-da-índia, a massa tailandesa não é para você, porque o cravo-da-índia é provavelmente o principal componente de qualquer pasta da Tailândia.
Eu tenho doença periodontal crônica, sangramento nas gengivas. Eu tentei todos os tipos de pastas que você pode comprar em nossas farmácias. Não havia sentido, apesar dos comerciais de televisão. E somente após as pastas tailandesas o sangramento desaparecer. Então agora eu os recomendo a todos, verifiquei por minha própria experiência. Não tive momentos negativos depois das massas tailandesas.
Eu uso macarrão tailandês com bambu. No começo eu gostei muito, uso por cerca de 3 meses, mas há um mês minhas gengivas começaram a sangrar, fiquei muito surpreso, porque essa pasta, pelo contrário, ajuda a reduzir o sangramento. Então eu li as instruções de uso na Internet, você pode usar 1-2 vezes por semana! Agora eu aconselho todos a serem cuidadosos.
Nós usamos massas tailandesas há muitos anos. Alveja perfeitamente, muito econômico! Na Tailândia, eles dizem que todos os cosméticos, incluindo pasta de dente, são naturais, é caro usar a química. Então use sua saúde!
Eu uso macarrão tailandês por 2 anos. Não posso dizer nada de ruim sobre massas. Ele limpa, atualiza, gengivas parou de sangrar. Mas eu não estou escovando constantemente, 3-4 vezes por semana, usaria com mais frequência, mas meus dentes são muito sensíveis, então alterno com creme dental regular. Eu recomendo a todos.
Pessoal, eu também descansei em Thay e comprei jarros rosa da mesma pasta.No começo, fiquei encantado, os dentes estavam realmente refrescados, mas após 1 semana de uso pela manhã e à noite, fiquei simplesmente aterrorizado com o fato de os dentes ficarem amarelos e parecerem manchas transparentes dentro deles, principalmente nos dentes da frente. Antes disso, quando eu estava escovando os dentes com esta pasta, tudo estava bem e, em algum momento, meus dentes começaram a quebrar, ficaram muito sensíveis e minhas gengivas começaram a sangrar. O fato de os dentes ficarem amarelos, meus parentes perceberam. Em resumo, irei ao dentista amanhã. Agora muito preocupado. E não o use com frequência. Bem, três vezes por mês, só isso. E eu vi o efeito e vamos limpar a semana! Agora às lágrimas!
Só hoje eu consegui essa pasta, porque foi procurado precisamente para clareamento dos dentes. A vendedora avisou que eu precisava levá-la. Comentários em tyrnet não são encorajadores. Um é um bot, o segundo é negativo. Mas desde a primeira aplicação da pasta, um efeito foi visível. Não sinto nenhum inconveniente, embora os dentes sejam muito sensíveis desde o nascimento. Vou usá-lo diariamente, de manhã - tailandês, à noite - uma linha limpa. Se não esquecer, em uma semana comentarei o resultado.
Mas tenho uma dupla impressão da pasta ... usei-a por um longo tempo e constantemente - o efeito é excelente (frescor da respiração e brancura dos dentes), mas com o tempo comecei a notar a aparência da placa, literalmente durante a primeira refeição após a escovação pela manhã (depois de ler este artigo, percebi que a pasta realmente apaga o esmalte). Teremos que voltar para massas regulares e usá-lo duas vezes por semana. Uma pena, a pasta realmente tem para si)
Pastas xamanísticas ... E os dentistas são loucos, eles precisam se esforçar. Quanto mais pacientes, maior o salário. Embora seja com você. Deseja apagar o esmalte - compre-o em lojas online.
Fui presenteado com essa pasta em uma caixa rosa redonda. No começo eu gostei, ele limpa meus dentes muito bem, mas então meus dentes começam a responder a frio e calor, e o pior é que há sangramento nas gengivas. Joguei-o imediatamente e não aconselho ninguém a colar!
Minha irmã trouxe com um cravo (um pote redondo verde). Um ano depois, eu o encontrei no lixo, decidi tentar. Limpo. Amanhã eu decidi comer uma barra de chocolate - antes de comer doces me foi dada através da dor de todos os meus dentes ao mesmo tempo. Em geral, os sensíveis são assustadores. Então, eu comi metade do ladrilho e percebi que estava comendo, e meus dentes não doeram nada, fiquei feliz em comer o ladrilho)) Até agora, o resultado após o primeiro uso é o seguinte, continuarei a observá-lo. A propósito, não há resultado no clareamento pela primeira vez.
Comprei macarrão em uma jarra rosa e verde. Não gostava de rosa, mas uso verde (coco), não notei nenhuma deterioração, limpa bem perto das gengivas. Mas, depois de ler o artigo, usarei com menos frequência - algumas vezes por semana.
Tenha cuidado com os postos dentários tailandeses. Após a primeira aplicação, apareceu inchaço, pernas cobertas de manchas! Horror
Você engoliu
Usei isso, comprei o último pacote de nós. O departamento foi fechado, não sei mais onde você pode comprar ((
Existem massas tailandesas no Aliexpress. Basta digitar "pasta de dente".
Eu sofro de doença periodontal. Não posso dizer nada sobre o fato de o esmalte ser apagado com esta pasta, mas ajuda muito com sangramentos e doenças gengivais, ao contrário dos orgulhosos lacalitos. Uso somente de manhã e à noite com pasta comum.
Após essa pasta de dentes, os dentes ficaram muito sensíveis - tanto ao frio quanto ao calor. Parei de usar esta pasta e os dentes voltaram ao normal. Não vou mais usá-lo!
Nunca sofri de alergias, depois de aplicar espirrei.Durante a limpeza, a espuma da boca acabou de derramar, como de um líquido para lavar louça, embora nenhum laureth sulfate esteja indicado na embalagem! Não experimente, então os ataques ao dentista se transformarão em dezenas de milhares. O divórcio está completo.
Eu uso creme dental tailandês há quase um ano! E meu dentista disse que tenho atendimento perfeito e excelente saúde bucal. Embora eu sofra de sensibilidade dentária, mas no primeiro ano não houve cárie e tratamento. Limpei-o com pasta de uma jarra, primeiro para dentes sensíveis, depois com carvão preto em um tubo.
Uso macarrão há dois anos pela manhã e à noite. Agora tenho um vício)) Não consigo usar uma pasta simples, é fácil vomitar e queima tudo na minha boca, e uma placa aparece em algumas horas. E com massas tailandesas está tudo bem. Anteriormente, as gengivas sangram muito, depois de tailandês, eu esqueci esse problema. Cada um na sua. Provavelmente, eu era perfeita, fiquei viciada nela))
Pasta é simplesmente super
Eu pedi macarrão em um alibaba, um pote de 25 gramas, rosado. Ele pegou um pouco com uma espátula (com uma ervilha), começou a limpá-la - espumou como um louco. E os dentes depois da primeira vez pareciam brancos. Hoje eu limpei novamente. Uma pasta única, não sinto nenhum desgaste do esmalte, mas vou limpá-lo em um dia, se houver abrasivo. O suficiente para clarear. E economicamente, o suficiente para três meses.
Compramos algumas massas na Tailândia. Como eles escreveram aqui, todas as pastas realmente têm um cheiro, lembra um asterisco. E suas pomadas têm o mesmo cheiro.
No começo, gostei muito da pasta de dente - ela limpa os dentes perfeitamente, eles se tornaram muito mais brancos. E então eu notei que enquanto comia, ou seja, quando mastiga comida, quebra todos os dentes. Mesmo quando a massa acabou e eu usei a de sempre, aconteceu. Vou usar massas tailandesas, mas não frequentemente, para purificação adicional. Boa sorte a todos.
O macarrão tailandês com ervas é bom, mas você precisa usá-lo 1-2 vezes por semana, é muito forte em composição. Alveja bem, mas com uso frequente quebra dentes e gengivas. Agora eu combino com nossas massas.
Tudo é verdade no artigo diz exótico, barato, mas não é totalmente útil! Eu escovo os dentes com pasta tailandesa uma vez por semana ou duas. O suficiente para clarear e você não vai estragar os dentes)) Os produtos promocionais devem ser usados com sabedoria.
Olá E aqui me deparei com este artigo, já tendo comprado esta pasta. Fiquei interessado na composição. Limpei-o uma vez, fiquei satisfeito, meus dentes pareceram polidos e frescos por um longo tempo. E ela pensou: o que há na composição? Mas acontece que. Tome cuidado, é melhor alternar e sempre estudar o que você usa!
Dois potes dessa pasta me foram trazidos de presente da Tailândia. O suficiente por um ano. O efeito é incrível. Usado todos os dias. Ao mesmo tempo, basta absorver um volume menor que uma ervilha. Eu nem me lembrava da sensibilidade dos dentes, as gengivas pararam de sangrar, a limpeza foi excelente, a frescura foi sentida por muito mais tempo do que após as pastas habituais. Eu recomendo!
A massa é super, o hálito é fresco e, por um longo tempo, você realmente se senta nela! Mas a sensibilidade dos dentes apareceu e, infelizmente, permaneceu mesmo depois que a pasta terminou 🙁 É uma pena que o artigo tenha me chamou a atenção tarde, era necessário limpar com menos frequência e não como eu - três vezes ao dia ...
Comprei creme dental com ervas tailandesas a carvão vegetal em um supermercado local. Eles prometeram no pacote branqueamento de dentes delicados! Uso-o há quase um mês, mas não observo nenhum clareamento. E não é tão barato - 200 rublos! Na minha opinião, este é outro golpe de compradores!