Em seguida, você aprenderá:
- O que é um cisto dentário e por que, de fato, ele precisa ser removido;
- O que pode acontecer se o cisto na raiz do dente não for curado a tempo (ou se não for removido) e for perigoso para os dentes vizinhos?
- Quais são as opções para o tratamento terapêutico de cistos (isto é, conservador, sem cirurgia) e qual a eficácia dessas técnicas a longo prazo;
- Devo esperar o uso de despoforese ou laser no tratamento de cistos dentários;
- Como um ápice radicular é ressecado com um cisto (em etapas), quanto custa esta operação hoje e é uma garantia de 100% do descarte completo do cisto radicular;
- Em que casos os dentes com um cisto geralmente são removidos do pecado, mesmo sem tentativas de tratamento, e como esse procedimento é realizado;
- Um cisto pode permanecer após a extração do dente ou formar-se repentinamente no buraco e com o que isso ameaça no futuro;
- Quais complicações muito desagradáveis podem acontecer quando um dente com cisto é removido e quais recomendações no período pós-operatório podem minimizar consequências indesejáveis ...
Hoje, mesmo aqueles que não têm formação médica geralmente sabem que, sob certas condições, podem aparecer cistos no corpo humano, o que representa um risco considerável para a saúde em geral. Portanto, em relação aos dentes, esse problema é especialmente relevante - em qualquer dente, seja um dente anterior, um dente do siso ou qualquer outro, por várias razões, o chamado cisto radicular pode se formar. Além disso, vários desses cistos podem ocorrer em um dente ao mesmo tempo.
O que é um cisto dentário? O cisto radicular do dente é uma neoplasia localizada principalmente no ápice da raiz e é uma espécie de cápsula, cujo interior da concha contém líquido. Sob certas condições patológicas, o cisto é capaz de crescer com o tempo, aumentando de tamanho.
A foto abaixo mostra um exemplo de dente removido com cistos nas raízes:

Em muitos casos, é importante remover o cisto dentário a tempo de evitar o desenvolvimento de complicações graves. Aqui você precisa entender que a formação de um cisto é uma manifestação peculiar da reação protetora do corpo, que tenta isolar a infecção que penetrou no canal radicular do dente nos tecidos circundantes. Primeiro, ocorre um processo inflamatório na raiz do dente, que geralmente passa para o cisto.
Parece que há algo para se preocupar - um cisto se formou, a infecção é isolada de forma confiável. No entanto, o problema é que esse isolamento da infecção de tecidos saudáveis não é eterno: um dente cariado ou mal tratado nos canais continua a nutrir constantemente o tumor com bactérias, o que cria uma certa carga no sistema imunológico. E em algum momento, por exemplo, após a hipotermia, o sistema imunológico do corpo não é mais capaz de conter o início da infecção e, quando essa "mina de ação retardada" (ou seja, um cisto) é rompida, podemos conversar sobre consequências muito graves, incluindo com risco de vida (por exemplo, envenenamento do sangue, fleuma).
É por isso que é importante remover um cisto dentário a tempo ou curá-lo.
O que pode acontecer se você deixar um dente com cisto, é possível salvá-lo sem cirurgia (sem incisões gengivais com bisturi) e quais são os métodos gerais para salvar dentes com cistos hoje? vamos conversar mais ...
O que acontecerá se o cisto na raiz do dente não for curado a tempo?
Como observado acima, as principais causas da formação de cisto dentário são:
- Complicações de cárie (periodontite);
- Bem como tratamento não profissional de canais, passando para periodontite.
No processo de seu desenvolvimento, o cisto dentário passa por 2 estágios de periodontite, nos quais, inicialmente, ocorre uma rarefação do tecido ósseo da mandíbula próximo ao ápice da raiz com bordas nebulosas e, somente então, devido à intensa deterioração dos tecidos saudáveis, granuloma, cisto granular e (ou) um cisto com limites claros são formados.

Nenhum dentista pode dizer com antecedência exatamente quando o desenvolvimento do cisto alcançará um clímax que o corpo não poderá mais localizar a infecção na cápsula formada. Com uma exacerbação do processo crônico, o exsudato purulento se espalha muito além das fronteiras do cisto, levando muitas vezes a complicações muito perigosas.
Listados abaixo estão apenas algumas das possíveis consequências do crescimento contínuo e da "ruptura" do cisto:
- Doenças inflamatórias purulentas da região maxilofacial (periostite, osteomielite, abscesso, fleuma, sepse);
- Sinusite odontogênica;
- Germinação de tecido cisto no seio maxilar;
- "Afinamento" do osso da mandíbula (até uma possível fratura do maxilar ao mastigar alimentos sólidos);
- Capture as raízes de dentes saudáveis com um cisto.
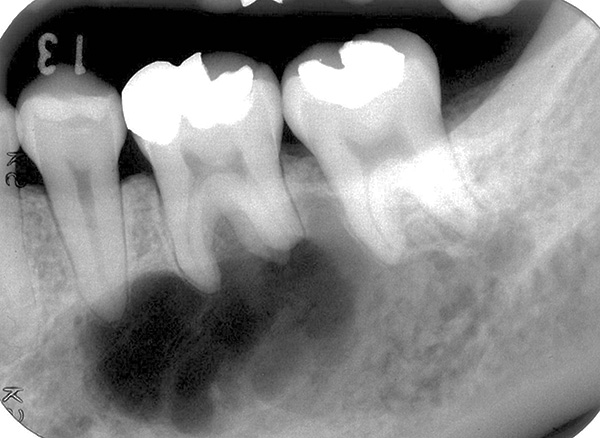
A foto abaixo mostra um exemplo de um cisto enorme, que não foi removido em tempo hábil e, tendo aumentado em volume, cresceu até as raízes de um dente adjacente:

Comentário de um dentista praticante
De fato, um cisto é uma mina de ação retardada, uma espécie de bolsa purulenta que pode fracassar, de modo que, na melhor das hipóteses, o rosto fica duas vezes mais largo e, na pior das hipóteses, toda a infecção corre ao longo da região maxilofacial até o pescoço e representa uma ameaça à respiração normal, até que pare ou a morte ocorra devido à intoxicação do corpo devido à propagação hematogênica (através do sangue) de bactérias por todo o corpo.
Quando um dente com cisto está localizado na mandíbula superior, processos purulentos que levam a uma ameaça à vida ocorrem com muito menos frequência do que no caso da mandíbula inferior. No entanto, devido à proximidade do seio maxilar ao topo de um dente doente na mandíbula superior, sinusite que não pode ser curada por métodos clássicos pode se desenvolver como uma complicação. Ou seja, um otorrinolaringologista inexperiente pode prescrever sessões de cuco por um tempo infinitamente longo para aliviar os seios maxilares de pus, antibióticos e outras drogas, mas o sucesso será alcançado apenas por um curto período de tempo, uma vez que o foco infeccioso na raiz do dente continuará a nutrir o processo inflamatório .
Hoje, cada vez mais, você pode ouvir que existe uma conexão definitiva entre a presença de um cisto no dente e o desenvolvimento de doenças cardiovasculares. Como está realmente a situação?
Cerca de 10 a 15 anos atrás, informações sobre o efeito de focos infecciosos apicais no desenvolvimento de doenças cardiovasculares foram atribuídas mais à especulação teórica do que a fatos reais. Hoje, no entanto, a comunidade médica ouve os dados de um estudo em massa de 508 pessoas com idade média de 62 anos e que sofrem de vários tipos de doenças cardíacas. A síndrome coronariana aguda foi observada no grupo com múltiplos focos infecciosos nas raízes dos dentes, e uma pequena porcentagem de indivíduos com focos únicos apresentava doença arterial coronariana não expressa. Mais da metade dos "núcleos" (cerca de 60%) teve pelo menos um processo inflamatório na raiz do dente.

Obviamente, do ponto de vista das evidências, o estudo não é ideal, pois a presença de doenças cardiovasculares também é afetada por fatores como obesidade, tabagismo, diabetes etc. Portanto, hoje os especialistas consideram a presença de cistos radiculares nos dentes apenas como outro fator de risco para a doença. saúde cardíaca e vascular.
Tratamento terapêutico (conservador) de cistos
Com base no fato de que um cisto pode apresentar tantos riscos à saúde humana, imediatamente após sua detecção (geralmente de uma foto), surge uma questão completamente lógica sobre a necessidade de removê-lo. Muitas vezes, um dente é removido junto com um cisto na raiz.

Mas não existe realmente uma maneira de permitir não apenas a extração dentária com um cisto, mas também em geral - sem qualquer intervenção cirúrgica associada, por exemplo, à excisão de um cisto? Talvez de alguma forma possa ser curada de forma conservadora?
Antes de considerar os métodos modernos de “remoção” de um cisto sem intervenção cirúrgica, vamos nos familiarizar com algumas características das neoplasias que podem estar presentes no topo das raízes dos dentes:
- O granuloma é um tecido de granulação com crescimento excessivo na região do ápice da raiz do dente, que aparece em resposta à inflamação basal. Acredita-se que o granuloma seja o estágio inicial de um cisto e que, aumentando gradualmente, o granuloma mais cedo ou mais tarde se torne um cisto completo. Na prática, às vezes há granulomas grandes (até 10-12 mm de diâmetro), embora as imagens da raiz do dente mostrem teimosamente um cisto;
- Cystogranuloma é um estágio de transição entre um granuloma e um cisto. Difere da formação anterior em algumas características dos tecidos (embora, no momento, nem todos os especialistas acreditem que os cystogranulomas devam ser distinguidos como um tipo separado de neoplasia);
- E, finalmente, um cisto - em sua estrutura, parece um ovo, que contém uma certa quantidade de líquido (pus) sob a casca.
De um modo geral, não tão importante, um granuloma ou cisto formado nas raízes de um dente. Um cisto difere de um granuloma, principalmente do ponto de vista histológico, mas na prática de um dentista não há diferença fundamental entre essas formas para obter um resultado positivo no tratamento: o tratamento é realizado pelos mesmos métodos sem a necessidade de biópsia.
Nota
É difícil determinar com uma imagem objetiva e mesmo com uma tomografia computadorizada com 100% de precisão que forma do processo inflamatório está presente na (s) raiz (s) do dente. Área de iluminação geralmente visível com contornos claros, geralmente arredondados ou ovais. Esse "círculo" pode ser localizado não apenas em uma raiz, mas também captura 2-3 raízes de um dente e até mesmo passa nas proximidades imediatas do topo das raízes dos dentes adjacentes, sugerindo ao dentista a escala da tragédia.

O ponto chave que surge na prática é a decisão: vale a pena começar o tratamento do cisto, ou você deve recorrer à remoção de parte da raiz do dente ou remover completamente o dente com o cisto?
A decisão final é influenciada pelos seguintes fatores:
- Existem protocolos que governam a capacidade de preservar um dente;
- As qualificações e a experiência do dentista afetam bastante a decisão final (um médico inexperiente pode não ter outras opções, mas simplesmente remover o dente problemático do pecado);
- Um alto nível de equipamento clínico cria os pré-requisitos para a possibilidade de tratamento conservador de cistos enquanto preserva o dente.
Quanto aos protocolos pelos quais os médicos são orientados, deve-se entender que a documentação não acompanha o progresso técnico em muitos aspectos, e as formulações (pastas) desenvolvidas hoje, colocadas no canal para "remover" o cisto, geralmente permitem o sucesso, mesmo com grandes granulomas e cistos.
Além disso, nos últimos anos, casos de tratamento conservador de cistos radiculares de grande volume sem o uso de pastas clássicas à base de hidróxido de cálcio têm sido cada vez mais descritos. Há uma opinião de que basta processar qualitativamente o sistema de canais dentários usando hipoclorito de sódio e ultra-som, após o que, graças aos canais estéreis, o cisto simplesmente deixa de ser necessário para o organismo e desaparece dentro de 4-15 meses.

O tratamento conservador de um cisto dentário (isto é, sua “remoção” sem cirurgia) é um processo demorado, mas hoje não parece necessariamente uma rotina. Uma opção de tratamento de rotina para cistos é visitar um médico quase todos os dias para injetar novas porções de hidróxido de cálcio nos canais.
Ao usar técnicas modernas, o paciente, após uma única visita ao médico, caminha com canais selados e restauração temporária, visitando periodicamente o dentista para analisar o estado atual do cisto a partir de uma imagem do dente. A frequência das consultas é escolhida pelo médico, mas geralmente a consulta é feita após 2 semanas, um mês, 3 meses, 6 meses, um ano e dois anos.
Um breve resumo: um médico experiente com o equipamento apropriado pode muito bem salvar um dente da extração, mesmo com um cisto grande. No entanto, deve-se ter em mente que também pode haver falhas - algumas vezes após inúmeras tentativas de tratamento inútil, o dente é simplesmente removido juntamente com o cisto.
O uso de despoforese e um laser para remover um cisto dentário
Um dos métodos modernos de remoção do cisto radicular com a preservação do dente é o uso de despoforese, além de um laser. Vamos ver se esses métodos realmente permitem "destruir" o cisto no topo da raiz do dente de uma vez por todas.
O uso da despoforese em odontologia tem suas raízes na Alemanha, mas na Rússia começou a ser ativamente explorada desde 1990. Durante esse período, a técnica reuniu fãs e oponentes, que até alegaram que a despoforese para tratamento endodôntico era categoricamente inaceitável.

Nota
O significado da despoforese é injetar moléculas e íons de fortes drogas anti-inflamatórias e regeneradoras de tecidos ósseos sob a influência da corrente elétrica. No caso do tratamento de um cisto dentário, um eletrodo é conectado à prega de transição da cavidade oral e o outro é colocado no canal juntamente com o hidróxido de cobre-cálcio. O tratamento envolve três visitas: na última, o cimento alcalino de atatsamite é injetado nos canais do terço superior.
Uma das áreas de aplicação da despoforese tem sido o tratamento de processos inflamatórios nas pontas das raízes dos dentes com periodontite (incluindo cistos radiculares). De fato, a despoforese com hidróxido de cobre-cálcio é um tipo de simbiose do tratamento medicamentoso e do preenchimento de canais. E esse é um tipo de sonho de qualquer dentista ruim: você não precisa desenvolver todo o canal, seguir a curvatura mais imprevisível, lutar contra os canais impenetráveis do dente de resorcinol-formalina, não necessariamente tentar introduzir material anti-inflamatório o mais próximo possível do ápice e pode até quebrar acidentalmente a ponta do instrumento ou fazer perfuração - despoforese, de acordo com os autores, "anulará tudo".
Graças a essa técnica, a restauração do tecido ósseo no foco da inflamação é lenta, mas verdadeira. Segundo alguns autores, a probabilidade de sucesso desse tratamento é de cerca de 90 a 95%, com duração média de 10 a 12 meses.
Ao mesmo tempo, muitos especialistas tendem a acreditar que a despoforese com hidróxido de cobre-cálcio deve ser usada apenas como última opção, quando outros métodos conservadores para remover cistos dentários não forem úteis. Atualmente, a despoforese atualmente não é uma técnica comum, mesmo com os resultados positivos do tratamento descritos na literatura.
Ao contrário da despoforese, o uso de um laser para remover um cisto pisca com muito mais frequência em ofertas odontológicas. No entanto, quão justificado é o seu uso?

Falando sobre o tratamento a laser de cistos, temos em mente duas áreas de seu uso, a saber:
- Tratamento anti-séptico a laser adicional de canais (esterilização);
- Bem como diálise a laser transcanal.
Quanto à primeira direção: a esterilização a laser de canais dentários tem o mesmo objetivo que no tratamento ultrassônico de canais com hipoclorito de sódio.Vários especialistas consideram que o uso de um laser para esse processamento de canal não é totalmente justificado, uma vez que o laser, diferentemente da técnica para emitir um canal com hipoclorito, não pode remover produtos orgânicos com a mesma eficácia. O laser pode trazer muito mais benefícios nos métodos cirúrgicos de remoção de cisto, que serão discutidos abaixo.
Quanto à diálise a laser transcanal, essa técnica envolve a introdução de uma fibra laser nos canais dentários, cuja radiação, de acordo com os materiais publicitários das clínicas, os micróbios morrem (literalmente evaporam) e a cavidade do cisto se torna estéril. Infelizmente, o uso de um laser no tratamento de cistos é mais uma manobra publicitária do que uma necessidade real, uma vez que, além do laser, esse método usa necessariamente todos os mesmos medicamentos para introduzir na cavidade do cisto, que também são usados sem o uso de laser.
Mas quão elegante e mais fácil justificar o aumento do custo do procedimento - este é um laser ...
O que é útil saber sobre algumas operações de preservação de dentes
Acima, falamos sobre o tratamento conservador (terapêutico) de um cisto dentário, ou seja, quando o dentista não realiza uma operação e não o corta, mas apenas cria certas condições para sua reabsorção. Normalmente, esse tratamento dura em média de 6 a 12 meses, às vezes mais, mas sem cirurgia.

A remoção de cistos no sentido literal da palavra é realizada por métodos cirúrgicos. Entre eles estão:
- Ressecção de ápice radicular com cistectomia (remoção de cisto);
- Hemisecção;
- Separação Radicular Coronal.
Os dois últimos métodos de preservação de dentes não são usados com tanta frequência na prática médica, mas a ressecção do ápice da raiz do dente juntamente com o cisto é de primordial importância.

Normalmente, esta operação é realizada da seguinte maneira:
- Na primeira etapa, é realizada uma preparação preliminar, que pode incluir a consulta de dentistas de vários perfis (terapeuta, ortopedista, periodontista) - a questão da conveniência de manter um dente com um cisto é decidida e o estado de saúde do paciente é determinado;
- O periodontista realiza higiene bucal profissional (remoção de tártaro e placa), o dentista-dentista preenche os canais (com cimento, guta-percha ou sistema Thermafil);
- No terceiro estágio, o cirurgião-dentista ou cirurgião maxilofacial inicia a operação para remover o cisto. A anestesia é realizada de acordo com as regras geralmente aceitas - na maioria das vezes as clínicas trabalham sob anestesia local quando a pessoa está consciente, mas em certas situações clínicas e de acordo com as indicações que recorrem à anestesia - introduzindo o paciente no sono artificial;
- Após a anestesia da área operada, o cirurgião-dentista passa a cortar as gengivas ao longo da dobra de transição na projeção do ápice da raiz do dente afetada pelo cisto e, com a ajuda de uma fresa, cria acesso ao cisto (corta a “janela” no tecido ósseo);
- Em seguida, a ponta da raiz do dente é cortada com uma fresa (geralmente em ângulo para ver a qualidade do preenchimento do canal com um terapeuta);
- Depois disso, o conteúdo da cavidade do cisto é raspado;

- Após a curetagem, um cisto deve ser preenchido. Para uma cura bem-sucedida, xenoenxertos ou materiais feitos de lascas de osso e sangue do paciente são adequados;
- A sutura ajuda a reduzir a depuração da área de intervenção, livrar a ferida da infecção e acelerar sua cicatrização com o máximo conforto;
- No final do procedimento, prescreve-se terapia anti-inflamatória e antibacteriana complexa, bem como exames de controle (são tiradas fotos uma vez por mês para rastrear a dinâmica da restauração óssea na área do tecido removido).
Profissionais realizam uma ressecção da raiz do dente com um cisto em cerca de 20 a 30 minutos.Hoje, esta operação é um dos métodos mais comuns e eficazes de preservar dentes cujas raízes são afetadas por um cisto (o custo da ressecção de uma raiz dentária nas clínicas é hoje de cerca de 10.000 rublos).
O sucesso do evento depende diretamente do ideal realizado em cada etapa. Se, por exemplo, você não remover completamente o cisto, preencher a área do cisto removido com materiais especiais ou não realizar antibioticoterapia após a cirurgia, isso poderá levar a uma recaída no processo de infecção. Nesses casos, logo o dente está novamente em risco de extração.
Comentários:
“Cinco anos atrás, quando caí, bati no rosto com tanta força que os dois dentes superiores da frente se moveram para dentro. Eu não fui ao médico então, apenas esperei que eles parassem de cambalear. Eu acho que esse foi o meu grande erro. Depois de alguns meses, quando os dentes não mais cambaleavam, uma pequena espinha se arrastou pela esquerda, e o pus escorreu. Corri para o dentista, havia um cisto no raio-x. Inicialmente, eles queriam remover o dente, mas depois decidiram realizar uma operação no cisto e removê-lo. Antes disso, os nervos eram removidos dos dentes da frente e colados um ao outro usando talas. Após a operação, o médico disse para vir e ter um enxerto ósseo, pois o cisto era grande. Mas eu nunca vim, porque tinha muito medo de que eles cortassem novamente. Faz 5 anos, está tudo bem com os dentes ... "
Elena, São Petersburgo
Em que casos os dentes com um cisto são removidos com mais frequência e como é realizado
Se um dente com cisto não puder ser curado, presume-se que ele deve ser removido o mais rápido possível - já foi dito acima como é arriscado continuar a "crescer" o cisto. Especialmente, o dente é removido nos casos em que uma exacerbação já ocorreu devido a um cisto com inchaço na face, febre, dificuldade em abrir a boca, dor intensa, etc.

No entanto, a decisão final entre remover o dente com um cisto ou tentar realizar o tratamento é tomada pelo dentista. Nesse caso, o médico é guiado não apenas pelos depoimentos (protocolos) oficialmente existentes, mas também conta com seus muitos anos de experiência e, muitas vezes, com as opiniões de colegas de especialidades médicas relacionadas. Não são apenas dentistas de outros perfis (dentistas, ortopedistas, cirurgiões, periodontistas, ortodontistas), mas também neurologistas, cardiologistas, otorrinolaringologia, etc.
Para uma melhor compreensão das situações abaixo, existem dois exemplos típicos.
Um paciente de 78 anos (masculino) com histórico de história foi levado ao dentista-terapeuta para o tratamento do dente da frente com um cisto. Nomeadamente, o paciente está registrado no terapeuta local para doenças cardíacas coronárias e no cirurgião para distúrbios do sistema músculo-esquelético. Simplificando, uma pessoa não é apenas difícil de se locomover, mas pode-se dizer com antecedência que ela não tolera tratamento a longo prazo.
Vale a pena remover um dente com cisto neste caso, ou é melhor preferir uma opção de tratamento conservador?

Formalmente, o cisto é pequeno (2-3 mm), o dente da frente é estacionário, de raiz única, a raiz é uniforme, mas uma pessoa gravemente enferma pode sofrer muitos meses de terapia de canal e visitas frequentes ao médico? E qual a importância deste dente no futuro para as próteses? Se você decidir remover um dente com um cisto, qual é o risco de problemas cardíacos graves em um paciente na cadeira do médico?
Hoje, existem muitos desses pacientes em dentistas, e cada caso é individual. Como resultado, o próprio médico muitas vezes não tem respostas para todas essas perguntas; portanto, o bom senso e os conselhos dos colegas vêm em auxílio.
Nota
Se um paciente com um coração fraco procura atendimento de emergência (um dente com um cisto exacerbado e leva à assimetria facial), o dentista-cirurgião deve remover urgentemente o dente sob a supervisão do médico assistente (clínico geral, cardiologista, ambulância etc.) )Muitas vezes, o risco é tão grande que a remoção é realizada em um hospital e monitorando constantemente as funções vitais do corpo.
No curso crônico da periodontite com cisto, quando os sintomas não são tão claros e não há riscos sérios à vida e à saúde, o dentista deve avaliar os prós e os contras, descobrir as opiniões dos colegas e só então decidir se deve tratar ou remover.
E agora um exemplo de outra situação clínica, que é muito mais comum (quase todos os dias). Um paciente, um homem de 45 anos, apresentou um grande número de dentes ausentes, que está prestes a ser substituído em um futuro próximo. Não houve consulta com o ortopedista, mas o paciente decidiu curar o dente do siso inferior direito com um cisto, pois é a última esperança para uma “ponte” como suporte final.
Muitas vezes, as pessoas, recorrendo ao dentista, com algum tipo de sentimento ou intuição especial, assumem a importância de um determinado dente para o futuro e, de todas as maneiras possíveis, tentam convencer o médico da necessidade de preservá-lo. Se o médico for inexperiente, ele prestará atenção apenas à imagem do dente - e, por exemplo, ele verá apenas canais largos, raízes não dobradas e um cisto pequeno (granuloma), além de facilidade de acesso aos canais, pois o paciente pode abrir bem a boca. Mas o médico pode notar o 2-3 grau de mobilidade dentária somente no meio do tratamento, quando é tão difícil dizer ao paciente: "Você sabe, mas o dente acaba sendo móvel". É o mesmo que admitir sua incompetência.

Portanto, muitas vezes acontece que um jovem médico conclui com sucesso o tratamento de um dente com um cisto (em 2 a 4 meses) e envia o paciente para próteses, e o dentista ortopédico, verificando a mobilidade do dente, declara a necessidade de sua remoção e sua absoluta inadequação como suporte para a ponte. Devido à carga pesada na "ponte" nos próximos meses, o suporte frontal, que antes era o mais confiável, teria se tornado móvel.
Ou seja, o primeiro médico que não verificou a mobilidade do dente e não consultou um colega não possui pensamento clínico, e decisões unilaterais (por inexperiência ou "por pedaço de papel") levam ao fato de que tratar um dente com cisto se torna uma perspectiva distante, para dizer o mínimo inútil.
O que mais pode impedir um médico competente de tratar um dente com um cisto:
- Anormalidades ortodônticas graves (má oclusão);
- Má higiene do paciente;
- Perda significativa da coroa do dente;
- Erros graves de médicos anteriores nos canais dentários cometidos durante o tratamento endodôntico;
- Condições prévias para sobrecarga dentária ao mastigar alimentos;
- Abrasão patológica do esmalte grave;
- O tamanho grande do cisto, quando cria sérios riscos para as raízes dos dentes adjacentes;
- O desejo do paciente de remover definitivamente o dente.
Em geral, pode-se dizer que há muitos casos em que o tratamento persistente a longo prazo do cisto não teve êxito e levou um tremendo desapontamento para o paciente (e o médico).

Nota
A propósito, sobre o desejo do paciente de remover o dente a todo custo. O dentista não tem o direito de recusar a solicitação do paciente, mas antes disso, um médico competente, avaliando a situação clínica, deve fundamentar a possibilidade de tratar o dente, se houver. Por muitas razões (inclusive psicológicas e financeiras), o paciente nem sempre pode oferecer tratamento a longo prazo de um dente com cisto, sem mencionar a cirurgia conservadora (ressecção do ápice da raiz). Portanto, seu pedido tem o direito de ser atendido depois que ele assina o documento - “Consentimento voluntário informado à intervenção médica”.
Tecnicamente, a extração dentária com um cisto quase não difere da extração dentária sem um cisto. Na maioria das vezes, o procedimento é realizado com pinças e elevadores.

Como o cisto ou granuloma é removido?
Ao remover, o cisto é quase sempre evacuado junto com a raiz do dente, mas também acontece que ele se afasta do ápice da raiz, ou mesmo o ápice da raiz se rompe. Quando o cisto é removido, o dentista-cirurgião raspa a cavidade com uma colher de curetagem ou uma espátula. No caso de quebrar a raiz, ela pode ser removida com elevadores, uma colher de cureta ou cortando com uma broca, seguida de sutura da ferida.

É possível ficar sem dor ao remover um dente com um cisto?
Antes de qualquer intervenção cirúrgica, o dentista sempre realiza anestesia. O resultado do trabalho depende em grande parte de sua qualidade, pois somente em um ambiente calmo um dente com cisto pode ser removido qualitativamente - com precisão e com um dano mínimo aos tecidos que circundam a raiz do dente. É por isso que a odontologia moderna possui um grande arsenal de ferramentas (anestésicos e componentes) que quase sempre permitem qualquer extração dentária complexa, mesmo sem dor no paciente.
Um cisto após a extração do dente pode permanecer ou se formar no buraco e com o que ele ameaça?
Suponha que tudo seja deixado para o paciente: o médico removeu com segurança as raízes do dente com um cisto, interrompeu o sangramento e fez recomendações. Mas não checou a qualidade da remoção do cisto!
É possível, em princípio, entender que todo o tecido patológico é raspado do fundo do buraco e de suas paredes, se a revisão é frequentemente fechada devido ao aumento do sangramento? E o que acontece se parte do cisto permanecer no buraco?

O cisto que o dentista deixou no orifício após a extração do dente é chamado de residual. E esse foco de infecção não é bom para o futuro. O cisto residual pode congelar por muitos anos para "disparar" na forma de edema na face (fluxo), abscesso, fleuma, sinusite ou crescerá no seio maxilar, no canal mandibular, etc. Ou, desde o início, não permitirá que o buraco se cure normalmente em condições confortáveis - surgirá uma alveolite, que será extremamente difícil de curar sem eliminar a causa raiz.
Não acontece que um cisto por si só "do nada" se formou após uma extração dentária de qualidade. Se formado, significa que nem todo o tecido patológico foi removido da cavidade ou a ponta da raiz do dente pode se romper durante o procedimento de extração. Um cisto ou granuloma abandonado tem uma tendência a crescer demais e complicações - vale a pena lembrar.

Comentários:
“Fui ao nosso hospital alguns meses atrás, onde eles removeram meu dente superior traseiro, o que me atormentou por muito tempo. Algo rachou durante a remoção, mas o médico disse que estava tudo bem. Ele me deu uma lista de remédios e rapidamente o mandou para casa, já que ele tinha um corredor completo para as pessoas. No segundo dia, percebi que estava morrendo: meu rosto estava inchado, a temperatura estava 39 e a dor não foi mais removida. Corri para este médico, e ele estava quase na minha porta: eles dizem que isso acontece, trate-se com o que você tem até agora. Cuspi e fui ao comerciante particular, e lá eles tiraram uma foto minha. Na foto, encontramos um pedaço de raiz com um cisto. Um pequeno fragmento, mas com um enorme cisto, como disse o novo médico. Ele deu uma injeção e em 15 minutos removeu esse truque sujo. A dor desapareceu completamente, a temperatura voltou ao normal e o inchaço diminuiu. Portanto, neste caso, o principal é encontrar um bom especialista e não confiar realmente em açougueiros nas clínicas ... "
Vitaly S., Stary Oskol
Possíveis complicações e métodos de prevenção
Em alguns casos, após a extração do dente com um cisto, os pacientes encontram situações incompreensíveis para eles (e muito desagradáveis), que às vezes causam quase pânico. Em particular, nenhum paciente dentista é completamente imune a:
- Sangramento prolongado do buraco;
- Alveolite;
- Perfuração do seio maxilar;
- Fratura da mandíbula (já em casa, por exemplo, com uma refeição);
- Parestesia (dormência persistente de parte da face);
etc.
Felizmente, as três últimas complicações após a extração dentária com um cisto são bastante raras.
Às vezes, a perfuração do seio maxilar ocorre devido à proximidade das raízes dos dentes da mandíbula superior (principalmente os dentes 4, 5, 6 e 7 superiores) - por exemplo, quando o cirurgião-dentista não é muito cuidadoso. Além disso, a germinação do cisto no seio maxilar é possível - nesse caso, após a extração do dente com o cisto, a mensagem do seio e da cavidade oral é exibida.

Um dentista pode testar a perfuração do seio maxilar após a extração do dente da seguinte maneira:
- O paciente aperta o nariz e tenta expirar através dele. Durante a perfuração sinusal, o ar é evacuado para a boca;
- Se as bochechas estiverem infladas, ao perfurar o seio maxilar, o ar sai imediatamente da cavidade nasal (essa técnica deve ser usada apenas em casos extremos, devido ao risco de microflora ser lançada no seio).
Nota
Às vezes, a perfuração ocorre com a técnica incorreta de extração dentária: pressão excessiva da ferramenta em sua raiz ou ápice da raiz ou diretamente na parte inferior do seio.
A parestesia das áreas faciais (dormência) é característica dos casos em que um cisto cresce no canal mandibular, onde o nervo passa. Menos comumente, com trauma excessivo da intervenção, quando uma fibra nervosa é danificada diretamente por um instrumento ou é comprimida por um hematoma.

Uma fratura da mandíbula após a extração do dente pode ocorrer devido à perda significativa de tecido ósseo, quando o cisto ocupava um volume significativo da mandíbula (mais de 1 cm de diâmetro).

Sangramento prolongado do orifício e alveolite são mais comuns na prática do que outras complicações.
As causas do sangramento incontrolável podem ser diferentes: desde danos a grandes vasos durante a extração do dente até o paciente tomando medicamentos que “diluem” o sangue ou contra a pressão alta. O risco de deterioração do estado geral do paciente é possível com a perda contínua de sangue através do poço por mais de 6 a 12 horas. Portanto, em caso de sangramento prolongado, não há motivo para esperar horas que o próprio sangue pare - é melhor tomar medidas oportunas.

Antes de visitar um médico deve:
- Meça a pressão arterial e normalize-a tomando os medicamentos prescritos pelo terapeuta;
- Pare de tomar drogas anticoagulantes;
- Coloque uma bola de gaze estéril no buraco e pressione-a por 15 a 20 minutos. O principal é a força de compressão (mas sem fanatismo), uma vez que o efeito hemostático depende desse fator;
- Se o método anterior for ineficaz, você poderá pingar um pouco de peróxido de hidrogênio a 3% no meio de uma bola de gaze estéril e também segurar firmemente o cotonete entre o orifício e o dente oposto (o peróxido de hidrogênio tem propriedades hemostáticas);
- Em casos extremos (se não houver maneira de procurar o médico), você pode comprar uma esponja hemostática em uma farmácia e colocá-la no orifício ou parcialmente no orifício, pressionando também por 10-15 minutos com um cotonete de gaze estéril.
A alveolite (inflamação do orifício após a extração do dente) pode ser o resultado de uma limpeza pobre da ferida dos restos do cisto e fragmentos do dente. Muitas vezes, o próprio paciente é o culpado pelo desenvolvimento de alveolite - se as recomendações do médico não forem seguidas. As consequências desse comportamento inadequado são diferentes: dor intensa no buraco, inchaço, febre, hálito pútrido (e ainda mais grave, até osteomielite e abscesso).
Principais recomendações após a extração dentária com um cisto
Agora vamos ver o que fazer após a extração do dente com um cisto, para que o buraco não doa e cure mais rapidamente. Se as táticas do dentista ao remover o dente estiverem corretas, a prevenção adicional de complicações depende apenas do paciente, para quem o médico deve emitir uma lista de recomendações.
Infelizmente, muitas vezes acontece que o dentista não informa o paciente sobre as ações após remover o dente com um cisto (esquece ou simplesmente não quer gastar tempo com isso).Isso acontece tanto em Moscou quanto nas regiões - em hospitais particulares, onde todos os dias um dentista-cirurgião, exausto por “quilômetros” de explosões de pacientes, remove os dentes em lotes, e o preço da pergunta pode ser ridículo (200 a 300 rublos), ou o serviço geralmente é gratuito .
Abaixo está uma lista universal de recomendações após a extração do dente (com e sem cistos), é bastante "corrente", de acordo com as críticas positivas de médicos especialistas:

- 3 horas não comem;
- Aplique uma compressa fria na área de remoção da bochecha por 15 a 20 minutos a cada 2 horas, evitando hipotermia;
- Durante 4 dias, abster-se de alimentos quentes, picantes e picantes;
- Exclua o esforço físico pesado, chuveiros quentes, banhos, saunas, banhos de vapor, etc;
- Não perturbe a ferida (não suba nela com a mão e palitos de dente, proteja-se de irritantes);
- Mantenha um nível adequado de higiene bucal (use uma escova macia, sem deixar de escovar os dentes perto do orifício).
Essas dicas são mais adaptadas para a maioria dos pacientes. No entanto, mesmo com essas recomendações, não há 100% de garantia de que, após a remoção de um dente com cisto, o poço cicatrize sem problemas.
A probabilidade de problemas ao seguir essas recomendações será minimizada no caso de extrações simples de dentes que não estejam na fase aguda. Se o cisto era grande e o pus literalmente escorria do buraco após a extração do dente, estamos falando da necessidade de o médico usar um arsenal adicional de drogas: antibióticos, anti-histamínicos, analgésicos e feridas.
Seja como for, é útil escutar seu corpo e ser guiado pelo bom senso. E se, por exemplo, o buraco dói por um longo tempo, ou fragmentos afiados incompreensíveis se destacam dele, é melhor consultar o médico mais uma vez, não sendo tímido para incomodá-lo.
Um vídeo interessante sobre a abordagem moderna do problema dos cistos dentários
Um exemplo de remoção de um cisto na mandíbula superior seguido de enxerto ósseo e sutura



Olá, estou grávida, semana 19. Foi-me dito que eu tenho um cisto dentário. Eles disseram que precisam ser removidos. Como é feito com anestesia? Receio o que acontecerá amanhã. Espero não perder o filho.
Olá Se estamos falando de ressecção do ápice do dente, na maioria das vezes é realizada sob anestesia local com um anestésico seguro para o feto (a presença de contra-indicações é sempre levada em consideração). Se estivermos falando sobre extração dentária com um cisto, esse procedimento também é mais frequentemente realizado sob anestesia local, sem anestesia (ou seja, não estamos falando sobre extração dentária "em um sonho").
Em princípio, o médico não tem o direito de iniciar qualquer manipulação sem obter seu consentimento e determinar o risco de uma operação futura. Portanto, não deixe de obter uma consulta detalhada: o que acontecerá e quais medicamentos serão usados.
Olá O filho tem 17 anos. Recomenda-se colocar chaves. Eles tiraram uma foto panorâmica e verificou-se que havia um cisto nos seis inferiores. Diante de um dilema: um médico sugeriu que o cisto fosse removido cirurgicamente.Outro médico é categoricamente contra esse método, argumentando que há um alto risco de paresia. É realmente tão arriscado fazer uma cirurgia? Obrigada
Olá Existem muitos médicos, muitas opiniões, especialmente em situações difíceis, mas aqui não é tão simples. A proximidade do canal mandibular com a área de intervenção cirúrgica pode realmente ter certos riscos de desenvolver parestesia (de 2 a 3 semanas a vários meses, há uma sensação de dormência que não passa após uma visita ao dentista). Tais problemas nos pacientes podem ser observados mesmo após o trabalho de um especialista de primeira classe.
Não vou me comprometer a comentar as opiniões desses dois médicos de que você está falando, nem que seja porque não estou ciente dos detalhes da situação clínica e não há imagens panorâmicas. No entanto, é óbvio que agora é útil obter mais informações para tomar uma decisão entrando em contato com 1-2 especialistas mais experientes que, talvez, analisem o problema de um ângulo diferente e talvez sugiram que não remova o cisto, mas tente curá-lo. sem excluir.
Obrigada
Boa tarde Diga-me, por favor, depois de remover um dente com um cisto, por quanto tempo o líquido purulento com sangue pode sair do buraco? E que medidas devem ser tomadas se houver dores e inchaço? O médico disse para tomar amoxicilina para ajudar o corpo a lidar. Está tudo certo?
Olá. Após a extração do dente, o exsudato pode ser excretado dentro de 1-2 dias. Para melhorar as condições de sua partida, o dentista-cirurgião costuma fazer uma incisão na área da prega de transição, que é uma medida obrigatória para algumas doenças purulentas do dente (com periostite, por exemplo). Se houver dores e inchaço, é importante consultar um médico para um exame para descartar algo sério.
O antibiótico prescrito para você é uma medida bastante adequada, necessária para que a infecção purulenta exclua as complicações pós-operatórias.
Olá, eles removeram o cisto, mas o nódulo na gengiva permaneceu. É assim que deve ser?
Olá Denis. Nos primeiros 3-5 dias após a operação, o edema é possível (talvez você o chame de "inchaço"), então o edema deve diminuir.
Além disso, o nódulo pode permanecer se a membrana do cisto não for completamente removida ou a ferida pós-operatória estiver inflamada. Nesse caso, isso não é normal e, se o cone persistir, as chances de autocura são extremamente pequenas. Isso exigirá uma segunda operação (revisão do leito do cisto) ou extração dentária. Portanto, se a condição das gengivas não melhorar todos os dias, você precisa consultar um médico para esclarecer a situação e escolher as táticas para tratamento adicional.
É visível um inchaço com pus na parte externa da gengiva, e a foto foi tirada no interior da gengiva; a imagem não mostrou nada. O médico disse que você precisa esperar um pouco. E se piorar? Quanto tempo devo esperar e o que devo fazer?
Olá Anna. Não precisa esperar. É possível que você tenha formado a chamada fístula com secreção purulenta. Este é um sinal da presença de um foco de infecção. Se a suposição for verdadeira, isso não funcionará - é necessário tratamento endodôntico urgente (isto é, tratamento dos canais dentários). Caso contrário, a situação pode resultar em perda de dentes. Por isso, recomendo ir a outro médico (para obter uma opinião independente adicional) e esclarecer a situação.
Boa tarde Diga-me, por favor, é realista remover um cisto dos três primeiros sem remover a ponte? Há dois anos, ela fez o implante e realmente pediu ao médico para remover todas as minhas raízes (são as raízes, já que não havia mais topos, os pinos foram inseridos e as coroas estavam neles).Meu corpo é propenso a cistos. Mas o médico decidiu manter "meus dentes". Tudo, claro, curado. E eles se saíram muito bem, mas dois anos depois de outra hipotermia - novamente um cisto! Tirei uma foto e todos os 6 dentes superiores da frente com granulomas. E no dois e três cistos. A ponte é de alta qualidade. É possível estragar tudo ?!
Olá Irina! Sim, você pode realmente remover o cisto cirurgicamente sem remover a ponte (por ressecção do ápice da raiz). No entanto, para remover um cisto, você deve primeiro avaliar seu tamanho e condição dos dentes adjacentes. Para o diagnóstico, é necessário realizar um raio-x (TC), no qual será possível examinar detalhadamente cada dente e os cistos presentes. Eu recomendo entrar em contato com um cirurgião-dentista experiente para uma consulta e avaliação da possibilidade de manter os dentes correspondentes.
Olá. Eu tenho uma história: na mandíbula superior havia uma ponte de três unidades. A gengiva sobre o dente 26 começou a doer, fez um raio-x, a imagem não mostrou nada. Lavagens apontadas. A situação piorou, enviada a um cirurgião. Ele olhou, fez uma incisão na gengiva, colocou um dreno, disse que existem granulomas, é necessário remover. Eles fizeram uma tomografia computadorizada, revelada na raiz do cisto.
Decidimos remover, a raiz do dente com cisto estava a milímetros do seio maxilar, portanto, fomos ao cirurgião competente do Instituto de Odontologia para removê-lo. A ponte foi removida, o dente foi removido. E o chiclete, enquanto isso, não parou de doer. Eles decidiram não dar um segundo tiro e, depois de curar os buracos, colocaram uma nova ponte com apoio nos dentes próximos.
Seis meses se passaram - a gengiva sobre o dente extraído novamente ficou muito inflamada. Inchado, um abscesso formado, o pus fluiu. Eles limparam as gengivas sem remover a ponte, prescreveram um antibiótico lavado com clorexidina (devo dizer que a última vez em que o antibiótico foi tomado). Depois disso, um buraco do tamanho de uma cabeça de fósforo se formou na parte externa da gengiva. Nesse buraco eles colocam marleck embebido em uma solução desinfetante. No segundo dia, a gaze foi retirada das gengivas. Dói, como cura ... O que devo fazer? Como parar esse épico bienal? Por favor, dê conselhos práticos, o que devo fazer? Talvez você precise fazer uma segunda tomografia computadorizada? Talvez houvesse um cisto?
Olá Svetlana. Sem infecção, os tecidos dentro das gengivas não se inflamavam - portanto, a infecção estava presente. Possivelmente, ao remover um dente com um cisto, foram feitos defeitos.
Eu recomendo que você entre em contato com outros 2-3 cirurgiões experientes para uma consulta e imediatamente. Provavelmente, você precisará tirar novamente a foto (melhor imediatamente, CT). Somente após um bom diagnóstico você pode descobrir a verdadeira causa do problema persistente.
Olá Diga-me, por favor: meu dente foi removido, a gengiva não cicatrizou por muito tempo. Eu fui ao médico - verificou-se que havia um cisto no buraco. Eles a removeram, mas depois de uma semana senti que havia algo mais no buraco. E o buraco não cresce demais. O que fazer
Olá, Hope. Depois de re-limpar o buraco, provavelmente, ele começou a curar por segunda intenção - isso significa que a cura levará um pouco mais de tempo, mas também será segura. Seja como for, é útil monitorar o processo com o médico, por isso recomendo que você faça uma consulta com o médico agora para avaliar a situação.
Olá Anteontem, removi um dente devido a um cisto, mas o cisto permaneceu dentro! O médico disse que ela mesma deveria sair, mas um abscesso branco apareceu em cima de mim. E o buraco não é vermelho, mas preto. O médico disse que basta lavar com clorexidina. É possível que o cisto saia por conta própria?
Olá A causa da formação de cisto é um dente danificado, após a remoção da qual a cavidade do cisto geralmente cresce com um osso saudável. No entanto, é importante entender bem o que exatamente permanece no buraco - se houvesse um fragmento de uma raiz de dente com um cisto no final (essa seria uma situação muito mais desagradável). Portanto, em caso de dúvida, eu recomendaria entrar em contato com um médico (possivelmente outro, não aquele que removeu o dente) e fazer imagens de diagnóstico de controle.
Boa noite Por favor, diga-me, eu tenho um cisto no quinto e sétimo dente da mandíbula inferior, o médico está pronto para remover os dois cistos em uma operação. Na Internet, eles escrevem que o cisto no dia 7 não é removido cirurgicamente. Como ser